来自北京的杜先生(化名)一年前被查出颅内长了个巨大脑膜瘤,由于该巨大脑膜瘤病灶位于脑功能区,施行切除手术的风险极大,若切除时有丝毫差错就会造成患者瘫痪、失语等严重后遗症。为此,他辗转于北京、上海等地进行口服中药保守治疗,随着时间推移,病情却不断加重,后慕名来到上海蓝十字脑科医院寻求进一步治疗。
左侧肢体麻木 查出巨大脑膜瘤
年过五旬的杜先生自去年六月开始,无明显诱因下出现左手手指麻木,并有一过性左手无力、活动不利,当时未检查治疗。两个月后又出现左侧大腿麻木,他这才意识到问题严重,前往当地医院就诊,行头颅CT,提示巨大脑膜瘤。辗转多家医院,医生都告诉他,由于肿瘤位于脑功能区,手术风险极大,术后可能会造成瘫痪、失语等后遗症。为此,杜某辗转于北京、上海等地选择口服中药进行保守治疗。期间复查头颅CT提示:肿瘤无明显缩小的迹象。

▲ 手脚麻木、活动不利原来是大脑里长了肿瘤
今年5月,杜某再复查头颅CT提示病情“加重”,他遂求诊于其他中医,继续口服中药治疗,并进行肢体康复按摩。但是随着时间的推移,他的病情越来越严重,开始出现大小便失禁,并且连说话也变得艰难起来,言语交流越发减少。今年8月,杜某发觉自己不能下床行走了,卧床不起,生活不能自理了。10月底,杜先生在家人陪伴下,慕名转入上海蓝十字脑科医院寻求进一步诊治,收治于神经外科6B病区。
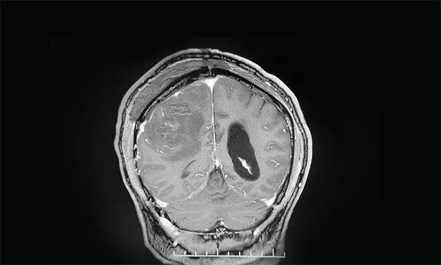
患者头颅MRI提示,右侧顶部大脑凸面可见一团块状异常信号影,边缘清晰,轮廓光整,大小约为6.1×5.7×5.1cm,体积巨大,形同鹅蛋状;毗邻额顶叶、基底节区见片状长T1、长T2水肿信号影,邻近脑组织受压移位变形,右侧侧脑室受庄变窄,中线结构向左侧偏移。

▲ 肿瘤位于右侧顶叶部
入院查体显示:语言迟缓、声音轻,提问部分对答,肢体可部分遵嘱活动。鼓腮、露齿、吹哨不能配合。右侧肢体肌力4级,左上肢肌力1级,左下肢肌力3级。
神经外科6B病区主任潘仁龙、李士其教授、吴治群博士会诊后指出,患者颅内占位明确,根据影像学表现考虑为顶叶脑膜瘤,手术指征明确,需尽快手术。
为什么肿瘤一发现就这么大?面对患者和家人的疑惑,潘仁龙主任解释到,由于脑膜瘤属于颅内良性肿瘤,生长较为缓慢。患者在早期几乎没有明显的临床症状出现,特别是生长于神经功能哑区的肿瘤。因此,只有当该类型肿瘤长到了一定的程度,对周围组织或血管产生压迫,引起大脑功能障碍才会让患者出现比较明显的症状。而一旦出现症状,就意味着肿瘤的生长已经没有空间,随时会出现脑疝、呼吸及心跳骤停的危险,必须尽快手术。
肿瘤位于右侧顶叶功能区 手术风险极大
李士其教授介绍,杜先生脑中的这颗脑膜瘤位于右侧顶叶部,大脑的运动功能区内,对肢体神经造成了压迫,这也是导致杜先生左手手指麻木、无力,左侧大腿麻木的主要原因。而且由于拖延一年没有尽早手术治疗,肿瘤已经长到鹅蛋般大小,直径约达6公分。“患者的这颗肿瘤体积很大,对周边的运动功能区神经造成严重压迫,随时都有让患者瘫痪的可能,也为手术操作带来巨大挑战。而且肿瘤与大血管粘连,血供极其丰富,手术中一旦有丝毫差错,都有可能造成术中大量出血,直接威胁到患者的生命安全。”

▲ 李士其教授(右二)正聚精会神为患者手术
术前,神经外科团队制定了详实的手术方案。11月6日,在征得家属同意后,神经外科团队为患者进行了顶叶脑膜瘤切除手术。
通过蔡司显微镜(双荧光),见硬脑膜内侧暗红色肿物,与硬脑膜粘连紧密,考虑为硬脑膜生发的脑膜瘤。肿瘤质软,血供极其丰富,由于长期受压,瘤壁与周围脑组织粘连紧密,与中央前回运动区、上矢状窦、大脑镰及侧脑室等重要结构关系密切。李士其教授在吴治群博士、黄秀夫医生及医护团队协助下,凭借精湛的手术技巧和丰富的临床经验对肿瘤进行精细剥离。经过5个多小时终于顺利切除肿瘤,上述重要神经组织结构及血管均保留完好。术后的病理确诊为脑膜瘤。

▲ 术后影像显示肿瘤被切除
术后,患者手术恢复良好,未出现偏瘫、失语等,左侧肢体麻木消失,肢体活动较之前明显改善,说话较之前流利许多。目前患者还在康复中,再过一段时间即可出院。
大多数脑膜瘤是良性,预后良好
李士其教授表示,脑膜瘤是起源于脑膜及脑膜间隙的衍生物,发病率占颅内肿瘤的19.2%,仅次于胶质瘤,居第2位。其中,50%的脑膜瘤位于矢状窦旁,另大脑凸面、大脑镰旁者多见,其次为蝶骨嵴、鞍结节、嗅沟、小脑桥脑角与小脑幕等部位。脑膜瘤虽属于良性肿瘤,生长慢病程长,但其呈膨胀性生长,病人往往以头痛和癫痫为首发症状,还可能出现视力、视野、嗅觉或听觉障碍及肢体运动障碍等。
李士其教授提醒,因脑膜瘤生长缓慢,等到发现时肿瘤往往长得很大,患者若忽视早期症状,可能会错过较佳治疗时机。若未及时治疗,患者病情将呈现进行性加重,会导致多种恶性循环因素,使病情迅速恶化甚至威胁生命。同时脑膜瘤会随着时间的推移越长越大,一旦长成巨大肿瘤,手术风险将成倍增加,一定要早发现早治疗,不能讳疾忌医。目前,手术切除脑膜瘤是首选的治疗手段;尤其随着显微手术技术的发展,手术切除脑膜瘤的成功率不断提高,使大多数患者得以康复。
此文章仅作为临床学术研究、学术交流使用!
上一篇:25岁女子阵发性剧烈头痛 缘由罕见蝶窦囊肿 下一篇:DNT33分钟!蓝十字“示范防治卒中中心”成功救治80岁急性脑梗患者
4月10日,上海市医疗保障局基金监管处处长朱畅、行政执法处领导...【详细】


