冬春之交,气温变化起伏加大,是急性心梗的高发期。健康中国数据显示,冬季心梗发生率比夏季高出30%~50%,气温每降低 1℃,心梗风险就增加2%。
杭州发布2026年1月31日报道,近日,杭州同一天连续收治了两位年仅38岁的年轻爸爸。他们都在陪伴孩子运动后突发急性心肌梗死——一位刚打完羽毛球,一位刚爬完山。两人并无严重的高血压、高血脂、高血糖病史,却因剧烈运动触发了心脏血管的急性闭塞,所幸抢救及时,转危为安。
上海蓝十字脑科医院【同济大学附属脑科医院(筹)】5B心内科、神经内二科主任姜朝晖博士指出,心肌梗死就是大家常说的“心梗”,其本质是冠状动脉(心肌的供血血管)供血急剧减少或中断,导致相应部分心肌因缺血而发生坏死,是冠心病的急性加重表现,通常是由于冠状动脉粥样硬化,血管内形成血栓、粥样硬化斑块破裂导致冠脉血管严重闭塞引起。若不及时打通,可能引发心脏骤停,危及生命。

▲ 心梗发作时胸口常有有压榨性疼痛
为什么冬春季容易诱发心梗?
“冬春之交,气温仍处于较低水平,且温差起伏加剧。寒冷天气加上剧烈运动,对于已有潜在心脏问题或高危因素的人群,能引起一系列‘链式反应’,最终成为心梗‘导火索’。” 姜朝晖博士解释道,血管遇到气温骤降时易发生痉挛,人体为维持核心体温会收缩外周血管,导致全身血管阻力骤增、血压升高。已有粥样硬化斑块的血管在剧烈收缩时易破裂,形成急性血栓堵塞冠脉,这也是冬季剧烈运动后容易突发心梗的关键原因。
此外,这一时期往往出汗少、饮水量不足,加上脂质代谢变慢,血液黏稠度显著升高,血栓形成风险大幅增加。而诸如不良饮食习惯、抽烟酗酒及情绪低落等,也容易加大罹患心梗的概率。
及时介入手术,打通生命通道
就在不久前,姜朝晖博士为一位77岁的急性心梗患者成功实施了介入手术。患者因“胸闷气喘3天,加重1天”入院,此前无明显诱因出现活动后胸闷不适,抖动被子后喘憋,呼吸急促,伴有头晕和昏沉感。经检查确诊为急性前壁心肌梗死,情况危急。

▲ 姜朝晖博士为患者手术

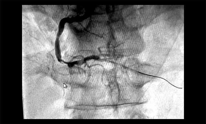
▲ 术前,RCA中段严重狭窄(约95%)伴血栓

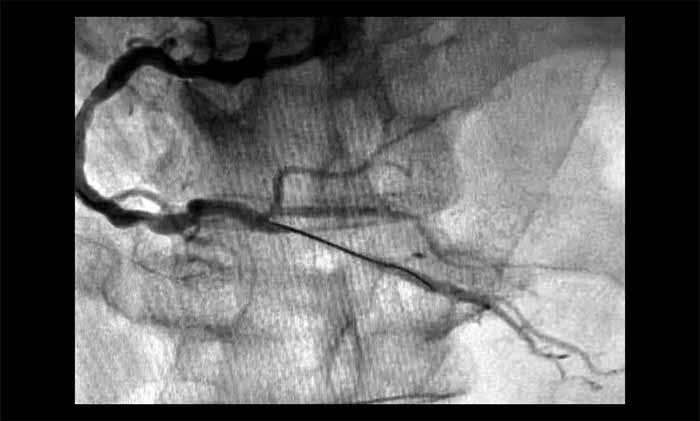
▲ 术后,血管顺利开通
1月28日,姜朝晖博士团队为患者行冠状动脉球囊扩张及支架植入。术中,行多角度造影提示RCA中段严重狭窄近95%,并伴有血栓。通过及时介入,开通闭塞血管,恢复了心肌供血。
这些信号,可能是心脏在“求救”
姜朝晖博士提醒,心梗并非毫无预兆。最典型的症状是剧烈胸痛,多位于胸骨后或心前区,表现为压榨性、紧缩性或烧灼样痛,常持续超过15~30分钟,休息或含服硝酸甘油无法缓解,多伴有大汗、恶心、呕吐、呼吸困难或濒死感。
但有时心脏缺血时疼痛可能“蔓延”至其他部位,如头痛、后背痛、颈痛、牙痛,甚至恶心呕吐等类似胃肠炎的症状。尤其是有高血压、糖尿病等基础疾病者,若出现不明原因的上半身不适,伴随头晕、冷汗,需高度警惕心脏问题。
此外,若原有心绞痛发作频率增加、持续时间延长、疼痛加剧,含服硝酸甘油效果变差;无心脏病史者突然出现胸闷、心悸、气短,活动后加重,这些都可能是心梗来临的“前兆”。
把握“黄金120分钟”救治时间
国家将每年11月20日设立为“心梗救治日”,寓意有两个“120”:一是出现胸痛要立刻拨打120,二是救治的黄金时间为发病后120分钟。
姜朝晖博士解释,从血管阻塞到心肌开始坏死,仅约30分钟。再灌注治疗(开通血管)的黄金时间窗为发病后120分钟内,每延迟一分钟,心肌坏死增多,死亡风险大幅上升。
如果身边有人疑似心梗,请立即采取以下措施:
1.立即拨打120,就近送往具备急诊心脏手术能力的医院;
2. 让患者静卧休息;
3. 保持其呼吸道通畅;
4. 谨慎用药:如患者清醒且无低血压等禁忌,可在医务人员指导下舌下含服硝酸甘油(最多3片,每5分钟1片);如无阿司匹林过敏或无活动性出血,可嚼服300mg阿司匹林;
5. 尽量安抚患者情绪;
6. 做好心肺复苏准备(CPR)。
高危人群更需“防患于未然”
姜博士特别提醒,以下几类人群在冬春交替时节要格外留心:
·有冠心病家族史者
·有冠状动脉粥样硬化斑块或心梗病史者
·作息不规律者
·患有高血压、高血脂、糖尿病等基础疾病的人
防寒保暖是第一道防线;其次要控制好血压、血糖、血脂;养成良好生活习惯,戒烟限酒,适量运动,做好“一级预防”。对于已有心血管病史的人,更要遵医嘱规范服药,做好“二级预防”。
别让心脏在寒冷的季节里“无声抗议”。读懂身体的信号,或许就是挽救生命的关键一步。
部分内容来源:国家卫健委、健康中国、杭州发布等。
注:内容仅供参考,如有不适请及时就医,以医生建议为准。
版权声明:部分图片源自摄图网,如有版权纠纷,请及时联系医院。一经查实,将立即删除。
此文章仅作为临床学术研究、学术交流使用!
上一篇:警惕“沉默的脑梗”——慢性脑动脉闭塞,你了解吗? 下一篇:头晕、耳鸣别大意,这种“沉默”的脑肿瘤需警惕
4月10日,上海市医疗保障局基金监管处处长朱畅、行政执法处领导...【详细】


