头痛是都市“小白领”常见的一种疾病。25岁女“白领”小萌(化名)起初头痛没太在意,想着是工作劳累所致,忍一忍就过去了,直到头痛难忍,并严重影响其工作和生活时才去就医,一查竟是少见的“蝶窦囊肿”。
什么是蝶窦囊肿?其主要临床症状有哪些?
蝶窦囊肿对于很多人来讲都是很陌生的,它是来源于鼻窦的一种罕见良性囊肿,多见于青壮年,其发病率较低。据国外相关文献报道,蝶窦囊肿占鼻窦囊肿的1%,占蝶窦病变的15%—29%,由于蝶窦位于颅底,部位较隐蔽,解剖关系复杂,其早期病变局限于蝶窦内,常无症状或症状不典型,因此蝶窦囊肿最容易被忽视和漏诊。
上海蓝十字脑科医院神经外科6B主任潘仁龙解析,蝶窦囊肿的发生与鼻腔疾病、慢性蝶窦炎、免疫等因素有关。其生长缓慢,早期并无明显症状,随着病情的不断发展,可出现头痛、视力减退、流泪、眼睑下垂、眼球突出、鼻塞、流鼻涕等临床症状。其中头痛为蝶窦囊肿最主要的临床症状,约占64%,其次为眼部症状,再次为鼻部症状,严重时可能还会引起眶内感染与颅内感染,严重危害患者身心健康。

蝶窦囊肿主要临床症状具体如下:
a、头痛症状
蝶窦囊肿引起的头痛,常位于眼球之后,以头顶、枕部为甚,夜间或饮酒后加剧;伏案低头时,因脓液压力全部施加在自然孔之上,故出现阵发性头痛或头痛加重,而在站立位时疼痛减轻或消失。
b、眼部症状
由于在蝶窦侧壁有动眼神经、滑车神经、外展神经、视神经,且蝶窦同眶尖关系密切,常可累及,并出现相应的眼部症状。当囊肿侵犯眶内可致眼球移位,蝶窦囊肿眼球突出,还可出现流泪、复视、头痛、眼痛等;当囊肿压迫视神经及眶上裂,可造成脑神经功能障碍,出现视力减退,甚至全盲,眼肌麻痹、眼部感觉障碍和疼痛等症状,即眶尖综合征。
c、鼻部症状
蝶窦囊肿较少累及鼻腔,因此鼻部症状较少,但当出现自发性间歇性鼻溢液,则为囊肿自行破溃,囊液经蝶窦口流出所致;同时,较大的囊肿可出现鼻塞,嗅觉减退等临床症状。
蝶窦囊肿严重时还可引发多种并发症,如眶内感染,表现为眼球肿胀、眼球疼痛、充血、眼球突出、视物模糊、视物重影、视力下降甚至丧失等;颅内感染,则表现为意识淡漠、剧烈头痛、肢体运动障碍、走路不稳、频繁呕吐、高热惊厥甚至意识丧失,因此一旦出现上述类似症状,应及时去医院诊治,做到早发现、早确诊、早治疗。蝶窦囊肿的预后与多方面因素有关,早期、规范治疗对患者预后至关重要。
25岁女子突然头痛难忍,一查竟是少见的蝶窦囊肿
近日,上海蓝十字脑科医院就收治了一位蝶窦囊肿患者小萌(化名),她今年25岁,主要症状是剧烈头痛,其头疼部位主要以头顶、枕部比较严重,尤其是晚上,当患者低头工作时,头痛难忍,且以阵发性头痛为主。

“两个月前我女儿小萌,突然出现头痛欲裂的症状,开始都以为是她最近工作忙,经常加班熬夜所致,想着多休息休息就好了,也没太在意。但随后两个月,女儿头痛的症状不但没有缓解,反而更加严重,以至于她只能请假在家休息,这让家人非常担心。我女儿从来没有得过大病,偶尔感冒发烧,没想到这次头痛这么严重!”小萌母亲李女士(化名)回忆道。
因女儿之前头痛从来没有这么严重过,李女士便警觉起来,女儿是不是患了什么大病?会不会是脑肿瘤之类的吧?……李女士越想越后怕,遂于9月24日陪伴女儿就诊于上海蓝十字脑科医院,并慕名找到神经外科专家潘仁龙主任和李士其教授,收治于神经外科6B病区。
在蔡司显微镜(双荧光)下,李士其团队成功为患者手术
潘仁龙主任指出,患者当时来院的主诉就是头痛,但能够引起头痛的原因有很多,大致可归类为颅内病变引起的头痛、颅外头颈部病变引起的头痛、头颈部意外躯体疾病引起的头痛、神经官能症及精神病引起的头痛。因此想要确诊,除了要根据患者已出现的病症、病史及鉴别诊断,还需完善其相关检查,尤其是CT和MRI检查,对严重头痛且高度怀疑颅内器质性病变的患者来讲尤其重要,对颅内肿瘤、脓肿、寄生虫、血肿及脑血管病都能提供确切的诊断依据。

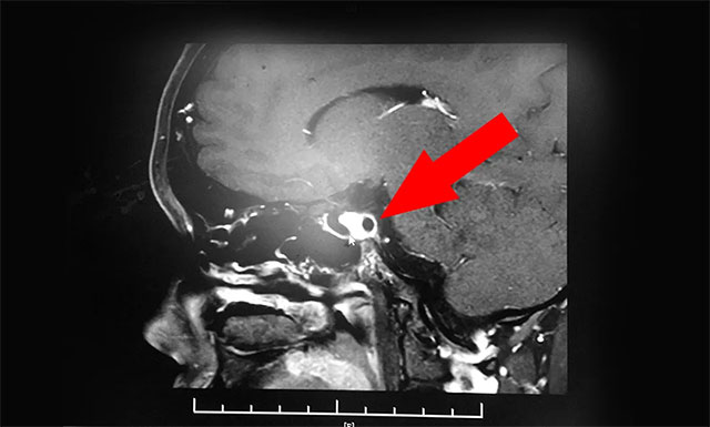
▲ 患者确诊为蝶窦囊肿
潘仁龙主任根据小萌当时所述病症,并结合其病史及鉴别诊断,判断其颅内鞍区可能存在器质性病变,随即对患者进行了鞍区MRI平扫+增强,结果显示患者腺垂体和神经垂体形态如常,腺内未见占位性病变,但在蝶窦部发现蝶窦性囊样灶、囊壁和分隔富血供,最终诊断为蝶窦囊肿。
听到潘仁龙主任说蝶窦囊肿是良性肿瘤,癌变的可能性比较小,小萌父母这才放下心来。随后,李士其教授、潘仁龙主任及吴治群博士专家团队对患者进行了会诊,评估认为:目前占位已使患者头痛难忍,且对其生活和工作造成了严重影响,手术指征明显,应及时手术。

▲ 李士其教授团队为患者手术
完善患者鞍区CT平扫+三维重建等相关检查,排除禁忌症后,告知患者家属患者目前病情、治疗方案、相关手术风险及可能预后等,9月27日,患者在全麻下行“蝶窦病损切除术”,手术由经验丰富的李士其教授主刀。
术中,在蔡司显微镜(双荧光)下,可见患者蝶窦内淡黄色肿物,质软、呈囊性,其内有淡黄色囊液,肿物大小约为3厘米×2厘米×2厘米,将肿物成功切除,肿物未见侵入鞍内,手术顺利结束,患者生命体征平稳,并转入病房进一步监护治疗,留取肿物送检病理。
潘仁龙表示,由于这位患者蝶窦囊肿比较大,约为3厘米×2厘米×2厘米,幸好手术及时,否则病情还会更加严重。在显微镜下行蝶窦病损切除术,同传统蝶窦手术相比,具有损伤小、出血少、痛苦轻、手术时间短、安全,术后愈合时间缩短等优点。
手术后,患者恢复良好,其头痛症状已缓解,在经过一周的康复治疗后顺利出院。
此文章仅作为临床学术研究、学术交流使用!
上一篇:医学前沿 | 三叉神经痛让五旬男子“痛不欲生”12年,微血管解压术使其笑逐颜开 下一篇:医学前沿 | 五旬男子顶叶功能区罹患巨大脑膜瘤,神经外科李士其教授顺利切除“化险为夷”
为更好地满足患者的就诊需求,2026年1月1日-3日元旦假期期间,我...【详细】


