提到“脑梗”,很多人第一反应是突发倒地、半身不遂的危急场景。然而,还有一类“沉默型”脑梗,像“温水煮青蛙”一样悄悄发生、缓慢进展,却同样可能带来严重的后果。它就是容易被忽视的——慢性脑动脉闭塞。

▲ 席刚明教授作慢性脑动脉闭塞相关学术讲座
什么是慢性脑动脉闭塞?
上海蓝十字脑科医院【同济大学附属脑科医院(筹)】学术副院长、4F脑血管病科主任席刚明教授介绍,通常认为,当脑血管闭塞时间超过4周,即属于慢性脑动脉闭塞。它多由脑血管狭窄性疾病缓慢发展而来,包括颈动脉、椎动脉、大脑中动脉等部位的慢性闭塞。
这种病具有隐匿性,在脑缺血较轻时,患者可能长期没有明显症状。但随着缺血持续或加重,可能出现:
· 头晕、头痛
· 手脚活动不灵、肢体麻木
· 视力下降
· 言语不清
· 严重时甚至偏瘫
数据显示,无症状患者卒中复发率较低,但有过短暂性脑缺血发作或轻型卒中的患者,年复发风险可达5%-6%;若存在血流动力学障碍,风险更高。
为什么会发生慢性脑动脉闭塞?
动脉粥样硬化是最主要的病因,约占70%,多见于老年男性。年轻患者则需警惕颈动脉夹层等因素。其他少见原因还包括肿瘤、动脉瘤、血管炎、烟雾病、外伤及颈部手术或放疗后损伤等。

▲ 动脉粥样硬化是慢性脑动脉闭塞最主要病因
治疗新选择:不开颅也能打通血管
以往,症状性慢性脑动脉闭塞以药物治疗为主,效果有限。如今,随着神经介入技术的发展,血管内再通手术为更多患者带来了新选择。
该项技术被誉为缺血性脑血管病介入治疗的“天花板”。医生在DSA等影像引导下,将导丝、导管送至闭塞处,运用球囊扩张、支架置入等技术,重新打通血管。手术难度高,需应对血管壁损伤、出血、血栓、高灌注风险等多重挑战,需要经验丰富的团队精细操作。
席刚明教授强调,并非所有患者都适合手术。通常,适合的患者往往存在明显脑血流灌注不足,或在规范药物治疗后神经症状仍持续加重。对这类人群,成功再通有助于改善脑血流,帮助恢复神经功能,提高患者生活质量。

▲ 席刚明教授、王贵平博士团队进行介入手术
真实案例:七旬老人成功打通关键“生命线”
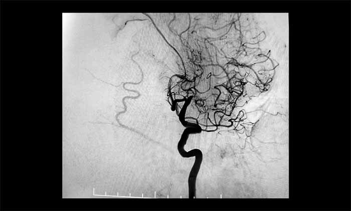
近日,一位70多岁患者因反复出现右侧肢体无力、言语含糊、口角流涎,被诊断为左侧大脑中动脉完全闭塞。他还合并颈内动脉动脉瘤、椎动脉狭窄等复杂问题,手术难度极高。其中,左侧大脑中动脉M1段的慢性完全性闭塞,是导致其神经功能缺损反复加重的主要原因。
席刚明教授、王贵平博士团队经过全面评估,最终在全麻下精细操作,利用微导丝穿过闭塞段,并以“球囊扩张+支架置入”完成血管再通,为患者打通这条关键的“生命线”。术后患者血流通畅,恢复良好。
近年来,该团队利用神经介入技术,已成功为众多患者开通闭塞的颈动脉、椎动脉和大脑中动脉,帮助他们重获健康生活。

▲ 左侧大脑中动脉完全闭塞

▲ 左侧大脑中动脉顺利开通
预防为主,守护大脑从健康生活做起
尽管治疗手段不断进步,预防仍是根本。席刚明教授建议,预防脑动脉闭塞,从以下五点做起:
• 管好“三高”:定期监测血糖、血压、血脂,延缓动脉硬化。
• 坚持运动:根据自身情况,保持规律锻炼,增强血管弹性。
• 健康饮食:少盐少油,多吃蔬菜水果,戒烟限酒。
• 关注房颤:房颤是脑卒中的重要诱因,需定期筛查并规范治疗。
• 定期体检:尤其是有中风家族史或高危因素的人群,应早筛查、早干预。
最后,席刚明教授强调,慢性脑血管闭塞虽起病隐匿,但危害不容小觑。随着血管内再通等技术的成熟,越来越多的患者有机会通过介入手术重获血流,改善预后。但归根结底,早预防、早发现、早治疗,才是守护大脑健康的关键。
版权声明:部分图片源自摄图网,如有版权纠纷,请及时联系医院。一经查实,将立即删除。注:内容仅供参考,如有不适请及时就医,以医生建议为准。
文章部分来源:环球时报健康客户端、上观新闻、福州晚报
此文章仅作为临床学术研究、学术交流使用!
上一篇:技术赋能 医疗提质 | 我院经动脉灌注化疗联合血管栓塞介入技术开辟恶性肿瘤治疗新路径 下一篇:一天内两位宝爸突发心梗 心血管专家姜朝晖博士详解冬春季急性心梗的预警与救治
4月10日,上海市医疗保障局基金监管处处长朱畅、行政执法处领导...【详细】


