在日常生活中,头晕、耳鸣等症状常常被误认为是疲劳或压力所致。然而,这些看似普通的身体信号,有时也可能是颅内一种“沉默”的肿瘤发出的早期警报。

▲ 脑膜瘤患者在早期几乎没有明显的临床症状出现
在神经外科领域,生长在颅底的脑膜瘤因其隐匿性强、早期症状不明显,常被称为“沉默的刺客”。它生长缓慢,初期可能仅表现为偶发的头晕、耳鸣,极易被忽视。但随着肿瘤逐渐增大,压迫脑干、颅神经及重要血管,便可能成为危及生命的“颅底炸弹”。
什么是脑膜瘤?
脑膜瘤是一类起源于颅内硬脑膜或蛛网膜组织的肿瘤,常见于20-40岁的成年人,发病率随年龄增长而增加,男女比例约为1:2。该肿瘤多为良性,生长缓慢,可发生在颅内各处,常为单发。
为什么容易被忽视?
上海蓝十字脑科医院【同济大学附属脑科医院(筹)】神经外二科6B病区副主任卢云鹤博士介绍,脑膜瘤多位于颅内“哑区”——即不直接控制感觉或运动的区域,因此早期很难被察觉。只有当肿瘤增大到一定程度,开始压迫周围组织时,才会出现明显症状。

▲ 卢云鹤博士作学术报告
“临床上,不少患者是在体检或因其他疾病进行头部核磁共振检查时,意外发现脑膜瘤,而此前完全没有任何症状。”卢云鹤博士指出,脑膜瘤属于颅内良性肿瘤,生长较为缓慢,早期往往无明显临床症状,尤其是位于神经功能“哑区”的肿瘤。
因此,只有当肿瘤生长到一定程度,对周围组织或血管产生压迫,引起大脑功能障碍时,患者才会出现比较明显的症状。
如何及早发现?
卢云鹤博士建议,定期进行脑部健康筛查,如头部CT或磁共振,是发现早期脑膜瘤的有效手段。若出现以下情况,应尽早就医:
·颅内压升高表现:头痛、恶心、呕吐等。任何部位的脑膜瘤都可能因占位效应或颅内压增高引起头痛。
·癫痫发作:位于运动皮层等功能区的脑膜瘤可刺激周围神经细胞,引发全身性或部分性癫痫。
·脑功能障碍:肿瘤体积巨大时可能出现头晕、记忆力减退、反应迟钝、行走不稳、手足震颤等。
·颅神经功能障碍:复视、面部麻木、饮水呛咳、吞咽困难等是颅底脑膜瘤的典型表现。
·运动、感觉异常及失语:可能由位于相应功能区的脑膜瘤引起。
·听力下降、记忆力丧失、嗅觉丧失:可能是肿瘤压迫听神经、嗅神经等所致。
警惕脑膜瘤,及早就医/手术
目前,手术切除是脑膜瘤的临床治疗手段之一。若未及时治疗,患者病情将呈进行性加重,可能导致多种恶性循环,使病情迅速恶化甚至威胁生命。同时,脑膜瘤会随时间推移不断长大,一旦形成巨大肿瘤,手术风险将成倍增加。肿瘤增大不仅会导致颅内压增高,引发脑疝,还会给治疗带来极大困难,术后也容易造成神经功能损害,导致肢体活动障碍、昏迷、视力视野缺损等后遗症。
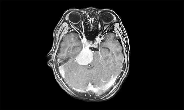
日前,卢云鹤博士团队成功为一位右侧桥小脑角-岩斜区脑膜瘤患者实施手术。该区域解剖结构复杂,邻近脑干和多条关键神经、血管,被称为神经外科的“手术禁区”。

▲ 右侧桥小脑角-岩斜区脑膜瘤
患者因“头晕、乏力伴耳鸣四月余”就诊,检查发现肿瘤大小约4cm。更棘手的是,患者长期服用活血补品,导致肿瘤血供异常丰富,增加了手术难度。
在周范民教授的指导下,卢云鹤博士团队制定了周密详尽的手术方案。术中采用显微镜下精细操作,顺利切除肿瘤,保护了脑干和重要神经结构。术后患者恢复良好,原有症状缓解,无其他新发神经功能缺损。
卢云鹤博士特别提醒:脑膜瘤虽然多为良性,但并非“无害”。一旦发现,应在专业医生指导下评估是否需要手术或定期随访。日常生活中,若出现反复头晕、耳鸣等不适,尤其是伴随其他神经系统症状时,切勿掉以轻心,及时就医是稳妥的选择。
文章部分来源:上官新闻、湖南日报
注:内容仅供参考,如有不适请及时就医,以医生建议为准。
版权声明:部分图片源自摄图网,如有版权纠纷,请及时联系医院。一经查实,将立即删除。
此文章仅作为临床学术研究、学术交流使用!
上一篇:一天内两位宝爸突发心梗 心血管专家姜朝晖博士详解冬春季急性心梗的预警与救治 下一篇:当心“头晕”背后的健康危机——警惕后循环缺血
4月10日,上海市医疗保障局基金监管处处长朱畅、行政执法处领导...【详细】


