天幕区硬脑膜动静脉瘘是硬脑膜动静脉瘘中较常见的一种类型,但其血管构筑常常比较复杂,脑膜中动脉和脑膜后动脉常常参与硬脑膜动静脉瘘的供血。天幕区硬脑膜动静脉瘘常常伴有单侧横窦-乙状窦的闭塞,其静脉引流形式多样,单皮层静脉引流比较常见。天幕硬脑膜动静脉瘘患者根据静脉引流方式不同临床表现多样,常见症状为耳鸣、头晕、行走不稳、脑出血、神经功能缺损等。
近期,上海蓝十字脑科医院脑血管病病区张琪博士带领团队为一位天幕区硬脑膜动静脉瘘患者成功进行了动脉入路血管内介入栓塞手术,术后患者临床症状消除,现正在康复中。

▲ 张琪博士团队正在手术DSA准备
治疗颅内硬脑膜动静脉瘘,首选血管内介入治疗
什么是硬脑膜动静脉瘘呢?人的大脑有许多血管,包括动脉、毛细血管、静脉、静脉窦等。打个比方说,就好比电路图里面的线路、开关等。当电路中一条线路或者多条线路出现短路当然就会出现问题。所以当我们大脑中的动脉和静脉发生多处“短路”也就会出现硬脑膜动静脉瘘的情况了。
医学上讲,硬脑膜动静脉瘘是发生在硬膜及其附属结构上的动静脉异常交通,是一种复杂的脑血管畸形,轻者可导致头痛、颅内杂音、球结膜充血水肿、眼球突出、颅神经麻痹及视力减退等,严重者可造成静脉逆流、脑水肿、血管破裂脑出血等危及生命。
该病约占颅内血管畸形的 5%~15% 左右,可发生在硬脑膜的任何部位,常见于成年人。发病机制不明,也可以是外伤、医源性、肿瘤、炎症等因素导致的颈内或颈外动脉的脑膜分支破入海绵窦。
其临床表现与瘘口的大小、静脉引流的方向密切相关,瘘口越大症状越重;经碟顶窦或基底静脉向颅内引流,静脉高压,可表现为头痛头晕,严重时可出现脑出血;向眼静脉引流,可表现为眼球突出或搏动、结膜充血水肿、眼球活动受限;向岩上窦或岩下窦引流,可表现为耳鸣,听诊器可在眼部、颞部、乳突部闻及吹风样杂音。压迫健侧,表现可加重。
血管内介入治疗是颅内硬脑膜动静脉瘘治疗的首选治疗方法。随着Onyx(新型栓塞剂)时代的到来,经血管内途径治疗硬脑膜动静脉瘘获得了突飞猛进的进展。血管内治疗硬脑膜动静脉瘘,大体上可分为经动脉途径和静脉途径。不管何种途径,患者必须存在适合微导管超选的路径,使得栓塞导管可以到达瘘口,从而确保 Onyx 胶可以弥散至引流静脉端,完全闭塞引流静脉,才能彻底治疗硬脑膜动静脉瘘。
经动脉入路栓塞治疗解难题
患者男性,34岁,3个多月前无明显诱因出现左侧牙疼,3-5分钟自行缓解,同时头部伴有杂音,在当地医院查DSA示:左侧天幕区硬脑膜动静脉瘘,辗转多地求医无果。12月初,为求进一步治疗慕名来到上海蓝十字脑科医院。
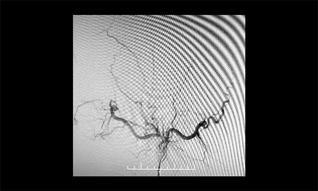
DSA 检查显示,左侧天幕区硬脑膜动静脉瘘,瘘口血流大,供血来源广泛,引流静脉有瘤样扩张。

▲ DSA检查显示,左侧天幕区硬脑膜动静脉瘘
张琪博士指出,正是该动静脉瘘的引流静脉影响到了三叉神经导致牙痛症状,已经对患者生活造成非常大的影响,每天寝食难安,精神状态不好,生活质量非常差。另外,更危险的是如果不治疗,该动静脉瘘以后可能会造成脑出血,该疾病风险非常大。患者手术指征明确。
天幕区硬脑膜动静脉瘘是神经介入治疗中最复杂的疾病之一。该动静脉瘘的供血动脉来源主要有脑膜供血,并且供血来源广泛。由于颈内动脉参与供血,栓塞时稍有不慎,胶有可能会弥散到颈内动脉,治疗难度大。术中必须严格保证颈内动脉的通畅,否则就可能给患者带来严重并发症,这使得手术更为复杂。
为此,张琪博士制定了个体化的手术方案,采用动脉入路栓塞瘘口,同时应用球囊保护颈内动脉,防止胶渗入颈内动脉,并减少颈内血流冲击,让胶弥散得更好。在手术器材的选择上,除了应用常规微导管外,还应用“pressure cooker”技术(高压锅技术),力争治疗好栓塞。
12月6日,患者于全麻下手术。手术顺利,术中完全栓塞瘘口,重要的血管保持通畅。术后,患者牙痛症状消失,无新发功能缺损。

▲ 微导管造影确认后,注入 Onyx 18胶7.5ml

▲术毕铸型

▲ 术毕左侧颈内动脉造影

▲ 术毕左侧颈外动脉造影
张琪博士介绍,硬脑膜动静脉瘘病因不明,目前研究认为是后天获得性疾病,在临床上极不易被发现。一是因其致病原因比较轻微,一次感冒、一次几乎没太在意的头部碰撞、有时甚至没什么原因就可能引起;二是其初期症状轻微,头晕、头痛、耳鸣等,多数人往往认为是由耳朵或神经性等原因引起的而未进行进 一步检查;三是因为硬脑膜静脉瘘需要做全脑血管造影 DSA 检查才能确诊。所以,如患有头晕、偏头痛、耳鸣等症状的患者,经多方面检查未查出病因的,应注意筛查硬脑膜动静脉瘘。
硬脑膜动静脉瘘病理解剖复杂,手术风险较高,需要神经介入医生对神经血管解剖有充足的、全面的、深层次的认识和理解。复杂硬脑膜动静脉瘘的栓塞治疗也仅有少数医院能开展,此次手术的成功标志着上海蓝十字脑科医院在神经介入诊治领域上到一个新台阶。
此文章仅作为临床学术研究、学术交流使用!
上一篇:DNT33分钟!蓝十字“示范防治卒中中心”成功救治80岁急性脑梗患者 下一篇:面麻疼痛:到底是三叉神经痛还是脂肪瘤造成?元凶竟是脑深处长了......
为更好地满足患者的就诊需求,2026年1月1日-3日元旦假期期间,我...【详细】


