脑卒中,又称“中风”,是一种危害严重的急性脑血管疾病,具有发病率高、复发率高、致残率高、死亡率高、经济负担高的“五高”特点。中国卒中学会发布的流行病学调查数据显示,我国现有卒中患者1494万人,每年新发卒中330万人,每年因卒中死亡154万人。临床观察,约有50~70%的患者会出现复发情况。卒中存活者中约有80%留有不同程度的残疾,其中约75%丧失劳动能力,40%是严重残疾,生活完全不能自理,是威胁生命健康的“头号杀手”。
脑梗重要病因——颈动脉粥样硬化性狭窄
脑卒中患者中,缺血性卒中,也就是医生常说的“脑梗”,约占80%。《中国脑卒中防治报告》数据显示,50%-75%的缺血性卒中与颈动脉狭窄有关,其危害不容小觑。
上海蓝十字脑科医院神经内科3A病区周君主任讲解道,颈动脉就像一条“主干道”,将血液源源不断地输送到大脑,其重要性不言而喻。颈动脉狭窄,顾名思义,是颈部大动脉血管管腔变窄的一种疾病。
引起颈动脉狭窄的最常见原因是动脉粥样硬化,在高血压、糖尿病、血脂异常、吸烟等危险因素的作用下,动脉血管内皮受损,血液中“坏”胆固醇和杂质产生局部积聚,形成动脉粥样硬化斑块。随着时间的推移,斑块像滚雪球般不断长大,动脉血管管腔逐渐变狭窄甚至阻塞,造成脑部供血明显减少。一旦斑块碎片脱落,则会顺血流方向堵塞远端脑血管,造成急性缺血性卒中。

▲ 动脉粥样硬化是引起颈动脉狭窄的最常见原因
临床上,颈动脉狭窄通常可分为无症状性和有症状性两种:
一、无症状性颈动脉狭窄
许多颈动脉狭窄患者临床上无任何神经系统的症状和体征。有时仅在体格检查、颈部超声时发现颈动脉搏动减弱或消失,颈根部或颈动脉行经处闻及血管杂音。
二、有症状性颈动脉狭窄
a.脑部缺血症状:可有耳鸣、眩晕、黑朦、视物模糊、头昏、头痛、失眠、记忆力减退、嗜睡、多梦等症状。
b.短暂性脑缺血发作(TIA):局部的神经功能一过性丧失(临床表现为一侧肢体感觉或运动功能短暂障碍),一过性单眼失明或失语(通常为短暂性、可逆性的,仅持续数分钟,一般发病后24小时内恢复)等。影像学检查无局灶性病变。
c.缺血性脑卒中:通常表现为一侧肢体感觉障碍、偏瘫、失语等脑组织损伤的症状,严重者甚至出现昏迷,危及患者生命。
七旬老伯双侧肢体乏力,只是脑梗复发吗?
79岁的韩老伯既往有长期的高血压、糖尿病病史,通过药物控制病情。2021年,他脑梗后留下了左侧肢体无力的后遗症。今年10月,他因双侧肢体乏力而被家人高度怀疑脑梗复发,送往就近医院。经检查,诊断为急性脑梗死、左侧颈内动脉重度狭窄,予左侧颈内动脉颅内段球囊扩张成形术及药物抗栓治疗,病情稳定后,患者来到上海蓝十字脑科医院接受进一步治疗。
神经内科3A病区周君主任为患者完善检查,头颅MRI示:脑干及双侧大脑半球多发陈旧梗死灶,左侧胼胝体、半卵圆中心、侧脑室旁及额叶多发梗死灶,偏亚急性期。脑动脉硬化,颅底动脉多发不同程度狭窄(左侧颈内虹吸段为著)。“显然,这不是简单的脑梗复发。”周君主任表示,从影像学上,患者左侧脑室旁散在多个新鲜梗死灶,处在左侧颈动脉供血支配范围内,符合因左侧颈内动脉狭窄而造成脑组织缺血表现。此前球囊扩张成形术一定程度上缓解了患者脑梗急性期缺血的情况,但未从根本上解决动脉血管狭窄问题,需要尽快采取进一步干预措施,避免脑梗症状进一步加重,预防后期复发。
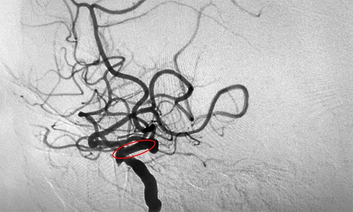
为进一步明确诊断并制定治疗方案,周君主任与医院学术副院长兼神经内科4A病区主任席刚明教授对患者病情开展了讨论评估,由席教授为患者进行DSA全脑血管造影检查,造影可见左颈内动脉岩骨水平段中度狭窄,左颈内动脉海绵窦段轻度狭窄,左颈内动脉眼动脉重度狭窄(狭窄程度约高于80%)。

▲ DSA检查影像
临床上,狭窄高于50%低于70%有明显症状,或狭窄高于70%,以及检查发现为不稳定斑块者,应通过手术治疗予以干预。在明确指征,排查手术禁忌,进一步完善手术预案并获得家属同意后,席刚明教授为患者进行了左颈内动脉球囊扩张+支架置入手术。术中,随着支架的顺利置入,造影可见左颈内动脉眼动脉段狭窄明显得到改善。

▲ 术后可见狭窄明显改善
患者术后已安返3A病区普通病房,目前病情稳定,由周君主任为其继续开展强化抗栓、调脂等药物治疗及高压氧、康复治疗。患者肢体活动能力正在逐渐恢复好转中。

▲ 周君主任为患者查体
周君主任提醒,对颈动脉狭窄务必要高度重视,正确认识其与脑梗的密切关系。即便暂时没有症状表现,也万不可掉以轻心。对有症状的颅内颈内动脉狭窄患者,即使症状再轻微,也建议及早到专业医院进行相关检查和治疗,以防脑梗发作。
在日常生活中,除了年龄因素外,包括吸烟、不健康饮食、缺乏运动,血压、血糖、血脂异常等,是动脉粥样硬化的危险因素。通过改变不良生活方式,可一定程度预防颈动脉狭窄的发生,缓解因颈动脉狭窄诱发脑血管疾病。对于颈动脉狭窄者来说,一旦出现单侧肢体乏力、偏瘫、失语等脑梗症状,一定要尽早就医诊断,及时干预治疗。
版权声明:部分图片源自摄图网,如有版权纠纷,请及时联系医院。一经查实,将立即删除。
此文章仅作为临床学术研究、学术交流使用!
上一篇:行走不稳、记忆力下降、表情淡漠,帕金森病?老年痴呆?神内张静波主任追根溯源,发现端倪...... 下一篇:六旬男子突发言语不清,肢体活动障碍 原来是烟雾病“作祟”
4月10日,上海市医疗保障局基金监管处处长朱畅、行政执法处领导...【详细】


