31岁的赵秋华躺在病床上,怎么也不相信自己会得脑梗塞!在她的记忆里,只有父亲爷爷辈上了年纪的人才会患这种病。直到看到医生的诊断报告,她才相信原来年轻人也会患脑梗塞。
所幸遇到国际卒中组织成员、中国卒中学会脑血流与代谢分会委员、现任上海蓝十字脑科医院神经内科7A病区主任张静波,经过核磁共振等检查再结合临床,她才最终被确诊为脑梗塞,经过精心治疗护理,得以恢复健康。
一觉起来 她左半身突然瘫了
赵秋华是浙江德清人,性情豪爽,办事雷厉风行,风风火火,是个急性子人。她和丈夫阿强两人一起经营几家化妆品店,夫妻齐心,生意倒也红火。生意场上难免应酬,加上压力比较大,赵秋华渐渐养成抽烟、喝酒的习惯。妻子玩心比较大,总是喜欢和一群姐妹聚餐、唱K,经常要嗨到深夜才回家。丈夫阿强虽然劝过几次,但想到妻子为了生意起早贪黑很辛苦,吃饭唱歌放松放松也很正常,就没有再说什么。
10月26日深夜,赵秋华像往常一样回来倒头就睡,阿强迷迷糊糊并未在意。直到早上醒来,他才发现妻子不在床上。正在纳闷的阿强走到卫生间,才看到妻子倒在地上,口角歪斜,话也说不清楚,左腿左手动弹不得,像瘫了一样。见状,阿强赶紧把妻子抱到床上,打120送往医院。
辗转多家医院无果 蓝十字专家一眼看出端倪
在当地医院行头颅CT显示,右侧颞叶占位,医院无法确诊,建议转到杭州上级医院确诊治疗。家人考虑与其去杭州,不如直接去上海大医院,于是直奔上海一知名三甲医院。
经医院影像检查显示,患者右颞叶等混杂密度影伴周围水肿,病变占位效应明显,医生考虑不能除外占位,还要进一步检查。眼看着妻子病情不断加重,已经辗转两家医院还没能确诊,丈夫阿强看在眼里急在心里。后来经过多方打听,阿强了解到上海蓝十字脑科医院是国际JCI认证的专业脑科医院,汇集了众多知名脑科专家,遂赶来医院。
正准备下班的张静波主任,听说接收了一位31岁的患者,半侧肢体瘫痪,口角歪斜,言语含糊不清,家属焦急万分。她立即意识到患者病情的严重性,耽误不得,直奔病房。经检查,患者双眼右侧凝视障碍,左侧鼻唇沟变浅,口角向左歪斜,伸舌左偏;左上肢肌力Ⅰ+级,左下肢肌力Ⅱ级,右侧肢体肌力Ⅴ级,左侧肢体肌张力低。
在看过患者之前做的CT影像后,有着多年临床经验的张静波主任一眼就发现了其中的端倪。张静波主任介绍,一般脑梗CT影像显示是等密度的,而该患者影像密度不均匀,有占位效应,伴有水肿,所以一般人会认为脑占位。但是影像学检查显示病灶在一条血管区域支配区,再结合患者临床,她判断为脑血管病,只是显示有占位效应。

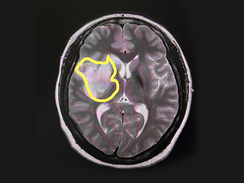
▲患者脑梗病灶区
核磁共振MRA检查印证了她的判断。头颅MRI平扫+增强+DWI+MRA显示患者右侧大脑半球病变;MRA显示右侧颈内动脉、大脑中动脉、大脑前动脉闭塞;颈部血管彩超显示右侧颈内动脉未见血流信号,双侧颈内动脉内膜欠光滑、右侧椎动脉血流流速减低;生化检验报告显示:同型半胱氨酸血24.30μmol/L,而一般人正常含量一般为5–15 μmol/L。
综合多项检查结合患者临床,赵秋华被确诊为:右侧颈内动脉闭塞引发的急性脑梗死,并伴有高同型半胱氨酸血症。
确诊后,张静波主任为赵秋华专门制定了治疗方案,给予预防应激性消化道溃疡、抗栓治疗、抗血小板促进侧肢循环、稳斑调脂、减轻细胞水肿,并结合高压氧、针灸等多方治疗和医院专业护理。入院治疗半月后,赵秋华说话利索,已经可以正常沟通,左腿伸缩自如,左半身基本痊愈,基本可以自主下床行走。
赵秋华说:“这次真是的多亏了张主任,多亏了蓝十字脑科医院,不然就差点瘫痪了。”临出院时,张静波主任再三叮嘱她,不能情绪激动,不能老发脾气,要戒烟戒酒,同时要注意休息,健康饮食,保持良好的生活习惯。

▲经过半个月治疗,赵秋华左腿按照医生的指示可以活动自如
脑卒中不再是老年人的“专利”
张静波主任介绍,脑卒中又称“中风”,包括脑出血和脑梗死两种类型。脑出血是指非外伤性脑实质内血管破裂引起的出血。脑梗死旧称脑梗塞,又称缺血性脑卒中(cerebral ischemic stroke),是指因脑部血液供应障碍,缺血、缺氧所导致的局限性脑组织的缺血性坏死或软化。脑梗死占全部脑卒中的60%~70%。
2015年《中国脑卒中防治报告》的调查结果表明,影响脑卒中发病主要危险因素:吸烟占33%,血脂异常占29%,高血压占25%,超重占21.5%,糖尿病占6.7%等。
40岁以上人群中约有15%的人群处于高风险。我国是全球“中风”发病率最高的国家,全球3000万“中风”患者有1/3在中国。每年新发脑卒中患者200余万人,全国每年死于脑卒中的患者达180万,已成为严重的医学和公共卫生问题。
随着年龄的增长,卒中的患病率逐渐增高,高危率逐渐增高。但“中风”已不再是老年人的“专利”。由于工作压力大、高热量饮食、吸烟、大量饮酒、夜生活过度、精神压力大等导致肥胖、糖尿病、亚健康等各种问题,近年来中青年人群的发病率不断上升。该报告显示,中国大概有10%到15%的人在45岁之前就发病了,40岁一过就要关注自己的脑卒中风险。
张静波主任表示,年轻人要保持健康的生活方式,合理释放工作压力;戒掉烟酒,戒掉不良生活习惯,健康饮食,保持锻炼;控制体重,避免肥胖,定期体检,以有效预防和控制脑卒中的发生。
对于脑卒中的高危人群来说,要做到四个注意:一是控制高血压,坚持服用降压药;二是注意控制高脂血症,坚持服用降血脂药物;三是积极防治糖尿病;四是心房纤维性颤动或有其他心脏疾病者,应控制心脏病等危险因素。
如突发一侧或双侧颜面部、上肢或下肢的无力或麻木等;突发意识模糊或昏迷、口角歪斜、言语障碍或语言理解困难;突发复视、单侧或双侧视物模糊、行走困难或不能平衡;突发眩晕、呕吐,突发不明原因的剧烈头痛的时候,都有可能是脑卒中急性发作。简单说就是牢记“中风120”口诀,千万不要因持续时间短或观望态度而延误了病情,要及时送医,抢占脑卒中病发后4.5小时黄金抢救时间。

此文章仅作为临床学术研究、学术交流使用!
上一篇:头痛不一定是颈椎问题,要是这个病就有点麻烦…… 下一篇:偏头痛让少妇“刻骨铭心”10余年 蓝十字个性化治疗“降服”顽症.....
4月10日,上海市医疗保障局基金监管处处长朱畅、行政执法处领导...【详细】


