颅咽管瘤是生长于鞍区或鞍旁区的一种中枢神经系统肿瘤,流行病学统计其发病率约占所有颅内肿瘤的1.2%~4.6%,较为常见。典型的颅咽管瘤属于组织学上低级别肿瘤(WHO Ⅰ级),生长也相对缓慢,通常被认为是良性肿瘤。
虽为“良性” 却“恶名昭彰”
虽为良性肿瘤,但长期以来,颅咽管瘤却“恶名昭著”。原来,它具有侵袭性特点,随着肿瘤生长,可因占位效应严重损害包括视力在内的重要神经功能,甚至造成不可逆的残疾。
尤其是在儿童群体中,根据《颅咽管瘤治疗专家共识》,约占儿童颅内肿瘤的5.6%~15%,占儿童鞍区肿瘤的54%,位居儿童颅内肿瘤的第2位。5至15周岁是颅咽管瘤发病高峰,可严重影响患儿发育,会给个体和家庭带来沉重的负担,甚至造成终生遗憾。

▲ 视觉障碍是颅咽管瘤常见症状
上海蓝十字脑科医院肿瘤科(放疗)头部伽玛刀组陈琦主任介绍,颅咽管瘤的常见症状表现主要包括视觉障碍、内分泌功能障碍和颅高压。
1、视觉障碍
当肿瘤压迫相邻的视神经时,表现为无明显诱因出现视力下降、视野改变甚至失明。尤其要注意的是,儿童对早期视野缺损多不引起注意,直至视力严重障碍时才被发觉。
2、内分泌功能障碍
垂体损害症状:儿童病人垂体功能不足的早期表现为体格发育迟缓、身体矮小、瘦弱、易乏力怠倦、活动减少等,成人垂体功能损害症状相对不明显。
下丘脑损害症状:体温偏低、尿崩、嗜睡、肥胖或极度消瘦。尿崩者每日尿量可达数千至数万毫升,小儿夜间易尿床。
3、颅高压
随着肿瘤不断生长,患者可出现不同程度的头痛,伴有呕吐、耳鸣、眩晕、畏光、也可有发热、颜面潮红、出汗等。婴幼儿可见头围增大,严重者可出现嗜睡或者昏迷。
在颅咽管瘤常见症状中,儿童首发症状以颅内高压表现多见,而成人以视神经受压引起视觉障碍,进一步就医检查而发现居多。
“手术+放疗”对防止复发意义重大
根据《颅咽管瘤治疗专家共识》,手术切除是治疗颅咽管瘤的主要手段,但由于其位置深在,毗邻重要神经血管结构,手术难度较高。而国际知名肿瘤学术期刊《Current Oncology》2022年3月4日刊载的一项关于当前成人颅咽管瘤治疗进展的研究指出,颅咽管瘤(CPs)是一种生长缓慢、组织学上为良性的颅内肿瘤,其位置和与邻近神经结构的关系,导致患者有显著的神经、内分泌和视觉合并症表现。其侵袭性特点使单纯依靠外科手术完整切除肿瘤成为一种挑战,为保护重要结构,手术时可能导致部分肿瘤残存,复发在所难免。
该项研究进一步指出,包括伽玛刀在内的放射治疗,是目前颅咽管瘤治疗的重要组成部分。手术与放疗相结合的治疗方法,比单纯手术治疗更能改善肿瘤的控制,相应提高无复发生存率。
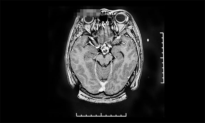
上海蓝十字脑科医院肿瘤科(放疗)头部伽玛刀组陈琦主任团队前期收治了一位颅咽管瘤术后复发患者。该患者为54岁,女性,1996年因双眼视力下降检查发现鞍区占位,于1996年底及2005年两次在外院开颅手术,病理证实为颅咽管瘤。

▲ 肿瘤复发后,来我院行伽玛刀治疗前影像
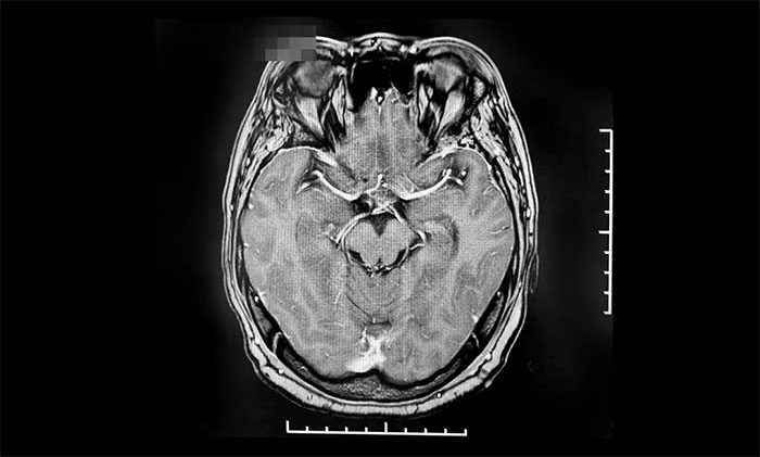
2022年8月,因视力下降就医,复查提示肿瘤复发,遂来上海蓝十字脑科医院进行伽玛刀治疗,后顺利出院。今年10月,患者来院复查,影像学检查提示肿瘤体积较治疗前明显缩小,患者视力较前改善,控制良好,陈琦主任叮嘱其继续随访观察。

▲ 出院14个月后复查影像
陈琦主任提醒,颅咽管瘤通常生长缓慢,起病隐匿,往往在生长1~2年,甚至更久才因出现相应症状而被诊断。在接受手术及放化疗综合治疗后,该病仍有复发可能,故而患者应遵医嘱定期复查。平日里出现内分泌功能障碍,视力下降等情况时,要高度警惕肿瘤是否复发,务必尽快到专业医院就医检查,及早干预治疗,以免因神经长期受压而造成永久失明等不可逆的功能损害。
版权声明:部分图片源自摄图网,如有版权纠纷,请及时联系医院。一经查实,将立即删除。
上一篇:30岁女子颅内动脉瘤突发破裂出血危在旦夕,多学科密切合作救治,助其转危为安 下一篇:男子巨大脑瘤卒中昏迷不醒千里赴沪求医,李士其教授迎难而上顺利切除8公分胶质瘤挽救生命
4月10日,上海市医疗保障局基金监管处处长朱畅、行政执法处领导...【详细】


