据国家癌症中心2019年全国最新癌症报告显示:肺癌位居我国恶性肿瘤发病首位。2015年我国新发肺癌病例约为78.7万例,发病率为57.26/10万,死亡病例约为63.1万例,死亡率为45.87/10万,位于恶性肿瘤死亡率第一位。
肺癌的病因至今尚不完全明确。大量研究资料表明,吸烟与肺癌的发生有非常密切的关系,长期大量吸烟者患肺癌的概率是不吸烟者的10~20倍。
在临床上,肺癌患者出现脑转移是比较常见的现象。肺癌患者出现头痛、呕吐、视物模糊等症状,应高度警惕发生了脑转移。
肺癌脑转移发生率高、预后差、自然生存时间较短(平均生存时间仅为3—6个月),严重威胁着患者的生命。
专家提醒:头痛呕吐视力下降等症应警惕脑转移发生
在临床上,一些悲观的肺癌患者认为,当病情发生脑转移后,生命的列车可能即将驶入终点站,主观消极情绪很可能影响治疗效果或进一步的治疗。
“早发现、早治疗是转移患者治疗的关键。”上海蓝十字脑科医院肿瘤科(放疗)王晓东主任介绍说,积极配合医生进行治疗,可以延长生命期。

▲ 治疗团队为患者进行放疗摆位
临床上,肺癌脑转移主要为脑实质转移和脑膜转移,两者临床表现既有共性,也各有特点,典型症状包括:
1、颅内压增高症状
肿瘤在颅内呈膨胀性生长,颅内压力持续升高,从而引起相应症状。头痛是最常见、最多见的早期症状。
起初,一般表现为病变侧局部疼痛,渐随肿瘤进行性增大可发展为弥漫性头痛,并伴随视物模糊、喷射性呕吐等症状。
2、肢体活动障碍及脑膜刺激征
约75%的患者会因为肿瘤压迫脑组织而出现偏瘫或癌性脑膜炎,根据转移瘤所在部位,其他常见症状主要包括偏身感觉障碍、失语、脑神经麻痹、共济失调等。
3、精神症状
部分患者,特别是额叶和脑膜弥漫转移者可能会出现癫痫、智力障碍、痴呆甚至攻击行为等。
肺癌术后9年出现脑转移 合理放疗病情控制平稳
近年来,随着外科手术、放射治疗和内科治疗水平的不断提高,肺癌脑转移患者的治疗方式选择越来越多,生存时间得以延长。
最近,中国医师协会肿瘤医师分会等编写的《肺癌脑转移中国治疗指南(2021年版)》(以下简称《治疗指南》)正式发布,为广大临床医师提供了国内外肺癌脑转移治疗的新进展。

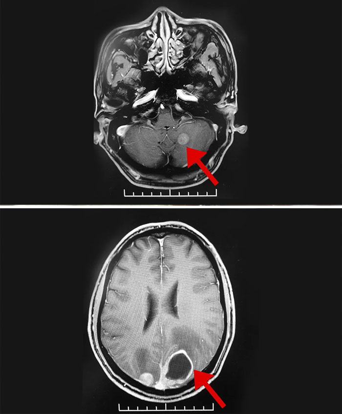
▲ 患者左侧小脑半球、双侧枕叶多发转移瘤
《治疗指南》明确,肺癌脑转移患者的治疗应在全身治疗的基础上进行针对脑转移的治疗,包括外科手术、放疗、内科治疗(包括化疗等方法)在内的多学科综合治疗,其目的是治疗转移病灶、改善患者症状和生活质量,较大程度延长患者生存时间。
王晓东主任进一步解析,肺癌脑转移不同于脑原发性肿瘤,是一种特别注重个体化治疗的疾病。治疗方式的选择要综合考虑:颅内转移灶的数目、颅外病灶状况、症状、基因突变状态等因素。
六十二岁的李老伯九年前罹患右侧肺癌,于当地医院行右肺切除,术后全身化疗六次。去年八月,复查提示左肺复发灶,再次行手术切除。
今年四月,因头痛在外院行头颅磁共振检查时发现脑内多发占位,结合李老伯既往的肺癌病史,考虑转移瘤可能性大。在亲友推荐下,李老伯来我院就诊,寻求进一步治疗。
临床磁共振检查结果显示:李老伯左侧小脑半球、双侧枕叶多发转移瘤,中度高颅压,结合其已有头痛等症状,需尽快干预治疗。
根据病情,肿瘤科(放疗)王晓东主任团队为李老伯开展了MDT多学科会诊评估,符合放射治疗适应症,并明确告知患者及家属目前病情情况、放射过程中各种临床并发症及副作用,以及整体预后情况。
在取得患者及家属签字同意后,完善了各项常规检验检查,排除了放射治疗禁忌症,王晓东主任团队为患者仔细勾画了肿瘤靶区,物理师精心设计了放射治疗方案。
瑞典Elekta Synergy全数字化医用直线加速器(以下简称数字化直线加速器),是我院引进的一台具有图像引导放射治疗(IGRT)功能及容积旋转调强(VMAT)治疗功能的高端放疗设备,专业治疗全身各种恶性肿瘤、良性肿瘤及功能性疾病。

▲ Elekta Synergy全数字化医用直线加速器
数字化直线加速器可满足现代放疗时代的技术需求及高级应用,如三维适形放疗(3DCRT)、调强放疗(IMRT)、容积旋转调强治疗(VMAT)、立体定向放疗(SRT)等。
相较于传统放疗,数字化直线加速器具有“三精”(精准定位、精准计划、精准治疗)的特征,在较大限度保护正常组织及器官(OAR)的情况下,提高对肿瘤的照射剂量,缩短治疗时间,提高治疗的安全性,达到精准放射治疗的效果。
治疗过程中,王晓东主任团队每日查房,密切关注李老伯放疗副作用及病情变化。李老伯曾出现阵发性恶心呕吐,偶伴头痛等轻度并发症,经积极对症处理后得到了明显改善。
“知道肺癌脑转移时心里十分恐惧。在治疗过程中出现不适又想放弃,幸好有王主任和夏陆涛医生的支持鼓励,才顺利完成了治疗。”李老伯表示。

▲ 李老伯出院时送上锦旗表达感激之情
为了表达对王晓东主任及团队的感谢,出院时,李老伯送上了一面印有“医德高尚暖人心,医术精湛传四方”的锦旗。近期复查,李老伯颅内转移肿瘤体积明显缩小,病程进展得到了较好控制。
王晓东主任点评
肺癌脑转移瘤固然凶险,但我们应当正确认识,切勿盲目悲观,更不应轻易放弃治疗。随着医疗技术水平和治疗手段的不断提高,部分脑转移瘤患者在接受恰当的治疗后,生存期是可以延长的。
脑转移瘤的治疗应树立“个体化、综合化治疗”的观念,通过多学科合作达到满意的治疗效果,并对患者长期跟踪、随访,了解控制病情,实现延长生命的目标。
此文章仅作为临床学术研究、学术交流使用!
上一篇:七旬老汉被误诊为牙疼白白丢了牙,杨忠旭教授找准病因施治使其笑逐颜开 下一篇:救治生命“不放假”|家中顶梁柱工地坠落昏迷病危,转至上海蓝十字脑科医院精心救治苏醒
4月10日,上海市医疗保障局基金监管处处长朱畅、行政执法处领导...【详细】


