脑膜瘤是一种源于脑膜组织的脑肿瘤,是中枢神经系统最常见的原发性肿瘤之一。多数脑膜瘤起病隐匿,生长缓慢。患者病程长,往往无明显症状,很多是在颅脑影像学检查中偶然发现的。当瘤体增大压迫周围脑组织时,才引起相应的症状和体征。需要注意的是,脑膜瘤虽多为良性肿瘤,但也有一定的复发风险,需要高度警惕。
荔枝新闻2022年9月19日报道,2013年,吉大爷(化名)因为右眼视力下降去医院检查,却被告知得了脑膜瘤。做了开颅手术切除肿瘤后,大爷悬在心里的大石头终于被“搬走”了。然而,2022年,吉大爷觉得视力越来越模糊,右侧面部也觉得麻木和疼痛,深感不妙的他去医院检查,结果显示脑膜瘤术后复发,且复发位置比之前还要复杂,体积还要大。
对此,上海蓝十字脑科医院【同济大学附属蓝十字脑科医院(筹)】6A神经外一科负责人李志强主任指出,根据世界卫生组织(WHO)病理分类标准,90%以上的脑膜瘤属于良性肿瘤,复发概率很小,但仍然存在复发可能。
造成脑膜瘤复发的原因很多,如非典型脑膜瘤的侵袭性很强,即使全切也可能复发;手术切除不彻底,可能导致肿瘤细胞残留,增加复发风险。此外,对于年龄较大、免疫力低下者,复发风险相对较高。而未按医嘱进行放疗等辅助治疗,或生活习惯不良(如过度劳累、免疫力下降),也可能影响预后。
与胶质瘤等恶性肿瘤不同的是,脑膜瘤(包括复发的脑膜瘤)往往起病隐匿,进展缓慢,早期不易被察觉,偶有头痛等症状也容易被忽视。“不少患者是在体检,或者因为其他疾病做头部核磁检查时,意外发现脑膜瘤,患者本人并没感到明显症状。”李志强主任指出。

那么,临床上脑膜瘤有哪些主要症状呢?这主要取决于肿瘤的位置及大小。当瘤体增大压迫周围脑组织时,则会引起相应的症状和体征。
一、高颅压表现:头痛、恶心、呕吐等,任何部位的脑膜瘤都可能引起头痛,这是由于肿瘤增大压迫或侵蚀周围脑组织或引起颅内压增高导致。头痛也是最常见的首发症状。
二、依据肿瘤部位,可引起局灶性神经功能缺损,产生相应的症状体征。
(1)抽搐和进行性偏瘫:这是大脑半球凸面脑膜瘤的首要表现;.
(2)颅神经功能障碍:表现为复视、面部麻木、饮水或进食呛咳、吞咽困难,这是颅底脑膜瘤的典型表现。
(3)脑功能障碍:表现为头晕、记忆力减退、神态呆钝、反应迟缓、行走不稳、手足震颤等,这是当肿瘤体积巨大时可能出现的临床表现。
此外,影响不同功能区的脑膜瘤还可引起癫痫,人格改变,运动、感觉异常及失语症,听力下降、嗅觉丧失等症状。
出现上述症状时,需要尽快就医,以免疾病继续进展,引发更严重的后果。李志强主任结合《中国肿瘤整合诊治指南》中关于脑胶质瘤的治疗策略讲解道,目前,手术切除脑膜瘤是优先选择的治疗手段,尤其随着显微手术技术和神经内镜技术进展,手术切除脑膜瘤的成功率不断提高,使大多数患者得以康复。脑膜瘤手术治疗基本原则为最大限度安全切除肿瘤、降低复发率,同时尽量保留神经功能,改善术后生存质量。
若未及时治疗,患者病情将呈现进行性加重。一旦长成巨大肿瘤,不仅会加剧颅内压增高,甚至引发脑疝,造成脑组织位移,进而威胁生命。同时,巨大脑膜瘤的手术风险和难度将大幅增加,手术过程中容易造成神经功能损害,导致肢体活动障碍、昏迷、视力视野缺损等。
近期6A神经外一科负责人李志强主任收治了一位75岁的脑膜瘤复发患者。


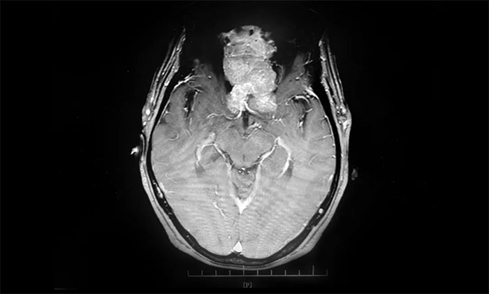
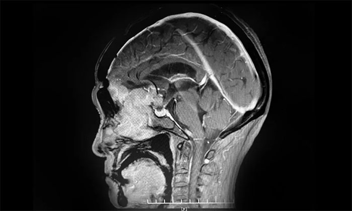
▲ 通过增强磁共振影像,可见前颅底嗅沟脑膜瘤,体积巨大
头部增强磁共振影像显示,患者前颅底嗅沟脑膜瘤体积约6.7*6.4*5.1公分,大如鸭蛋,属巨大脑膜瘤,瘤体一小部分已经延伸侵犯到筛窦内。经评估并充分告知手术风险后,7月9上午,李志强主任为患者实施巨大脑膜瘤切除手术。
李志强主任提醒,对于年龄在40岁以上人群,体检时注意头部CT检查实属必要。CT扫描可显示肿瘤是否存在钙化、有无颅骨增生或破坏。通过MRI(磁共振成像)检查,脑膜瘤通常表现为边界清楚、强化均匀,伴有脑膜尾征的硬脑膜病变,可为后续治疗的开展提供重要依据。通过早期规范化治疗,大多数患者可以获得较好的预后。
对于脑膜瘤术后患者,应注意定期复查,平日里保持良好的生活习惯和心理健康管理,多关注健康状况,出现头痛、肢体无力、视力下降等情况时,应及早就医。
文章部分来源:《中国肿瘤整合诊治指南》、荔枝新闻。
版权声明:部分图片源自摄图网,如有版权纠纷,请及时联系医院。一经查实,将立即删除。
专业指导:李志强 6A神经外一科副主任
此文章仅作为临床学术研究、学术交流使用!
上一篇:颈动脉:大脑的“生命线”为何易堵?席刚明教授解析斑块形成与脑梗死的紧密关联 下一篇:健康科普 | 视力骤降、头痛不止?警惕巨大垂体瘤!李士其教授详解手术禁区攻坚策略
4月10日,上海市医疗保障局基金监管处处长朱畅、行政执法处领导...【详细】


