2019年,一次意外的感冒发烧后,“00后”小伙阿泰(化名)原本平坦的人生道路,突然变得崎岖不已。三年间,几多唏嘘,几多坎坷。(“00后”小伙“怪病”缠身难自理 神经内科团队寻踪觅迹擒“元凶”(一),点击了解更多)
当阿泰在家属的陪伴下,慕名找到上海蓝十字脑科医院神经内科李振并主任后,转机出现了……
复杂病情 让李振并主任陷入沉思
刚来到上海蓝十字脑科医院时,阿泰的健康状况令人堪忧。
查体显示,小伙体重达210斤左右,严重超重肥胖;反应迟钝,不能算术,叫不出自己和家人名字,认知功能减退;不能正常行走,只能坐轮椅,勉强支撑迈步时呈醉汉步态,为共济失调表现;双上肢肌张力高,呈“齿轮样改变”;双下肢肌张力高,抬举沉重;双手指抖动,呈“扑翼样震颤”;指鼻、轮替实验不能完成;“面具脸”表情淡漠。此外,还时而伴有精神症状,如突然出现的幻觉幻听、进行影像检查时突然性的大声说话等。

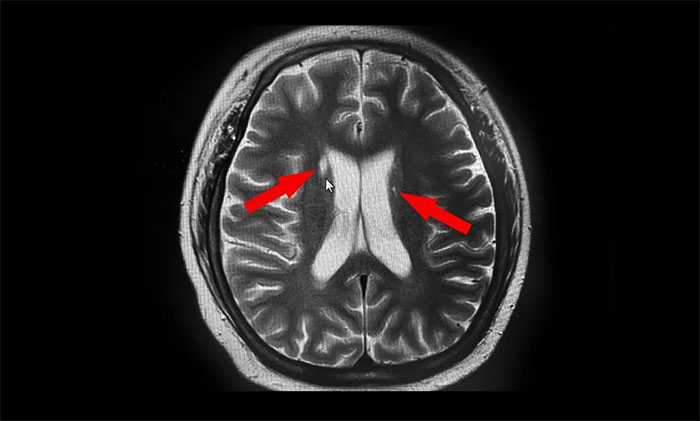
▲ 磁共振检查影像
磁共振检查示,阿泰右侧尾状核头部、左侧豆状核部都有高密度影,这两处与锥体外系各核团紧密联系,协同随意运动肌张力和姿势平衡,也参与复杂运动,因而考虑其为神经损伤后锥体外系症状表现。
回顾阿泰过往的求医经历,辗转多地,颠沛波折,其中不乏知名医院和专家。究竟是什么样的疑难病,让专家束手!让治疗效果不得彰显!!也让阿泰饱受折磨!!!这不禁让李振并主任陷入了沉思。
寻踪觅迹 排除疑点掐准病因
他仔细查阅患者过往病史,不放过任何一个疑点。凭借多年临床积累的经验,李振并主任逐渐将关注重点转移到体重和肝功能指标上,并针对性地开展了实验室检查。报告提示:患者超重、脂肪肝、肝功能指标异常。
再联系阿泰查体时表现出的“扑翼样震颤”(注:指向两侧平伸上肢的时候,腕关节突然屈曲,又突然伸直,同时伴有节律缓慢的粗大震颤,看起来就像小鸟在扇动翅膀),则多见于代谢性疾病,如肝豆状核变性以及肝性脑病等。
经与医院神经内科特需专家王玉霞教授、郭明光教授会诊,专家们一致认同李振并主任的意见,初步考虑阿泰患上了代谢性脑病、病毒性脑炎继发癫痫。

▲ 李振并主任研判分析病情
代谢性脑病是一种由代谢障碍性疾病、系统性疾病或者功能障碍引发的内环境紊乱,进而导致脑功能紊乱的一种疾病,临床上易与脑血管病、颅内感染、颅内肿瘤、脱髓鞘疾病等其他能引起意识障碍的中枢神经系统疾病混淆,因而不易轻松判别。
李振并主任表示,由于阿泰从小体重长期超重,脂肪肝、肝功能受损较为严重,致肝脏无法将有害物质代谢干净,有害物质进入大脑后可导致一系列功能紊乱受损,并由此表现为定向力障碍、精神行为异常、意识障碍等,有些则可出现惊厥、去脑强直发作等。这些症状表现与阿泰高度相符。
锦旗相赠 MDT助小伙迅速恢复自理
在李振并主任牵头下,神经内科会同中医科、高压氧科、康复科、医学影像科等科室,为阿泰展开了MDT多学科联合诊疗,并制定了个性化的综合治疗方案。
包括:逐步减少激素冲击治疗;继续予以药物控制癫痫发作;联合抗帕金森病药物改善锥体外系受损表现;营养神经,以纠正低氧血症、水电解质平衡紊乱和酸碱平衡紊乱;控制血压,使受损脑细胞得到给养,恢复神经功能等。

▲ 阿泰正在接受治疗
待病情稳定后,李振并主任又根据阿泰的身体状况,制定了每周一次、三次一疗程的血浆吸附治疗方案。“这一步治疗非常关键,由于患者代谢功能很差,血液中存在大量大分子免疫复合物堆积,这些代谢物可引起血管梗死,也可引起炎性反应损伤神经。通过血浆吸附过滤,可以将有害的代谢物快速排出体外。”李主任解析道。
▲ 阿泰按指令如常行走
经过为期三周的综合治疗,阿泰的病情很快得到控制,意识状态、肢体功能迅速恢复好转。当亲戚朋友通过手机视频通话,看到阿泰摆脱轮椅稳稳地站立行走、基本恢复生活自理能力时,不禁百感交集,惊喜之情溢于言表。

▲ 阿泰与医护团队合影
日前,阿泰已顺利办理出院手续。临行前,家属特意定制了一面锦旗,并交待阿泰一定要亲自交到李振并主任手中,借以表达对全体医护团队精心救治和贴心照护的感激之情。
一面锦旗,一声感谢,一份认可,这是对医护人员最好的褒奖,更是一种激励和鼓舞。践行“救死扶伤”的崇高使命,为广大患者提供更优质、更有温度的医疗服务,是我们不懈追求的目标。
此文章仅作为临床学术研究、学术交流使用!
上一篇:“00后”小伙“怪病”缠身难自理 神经内科团队寻踪觅迹擒“元凶”(一) 下一篇:“变脸又变身” 警惕垂体生长激素瘤
为更好地满足患者的就诊需求,2026年1月1日-3日元旦假期期间,我...【详细】


