基底动脉是人脑血管中最重要的主干血管,它为“生命中枢”脑干及小脑、部分大脑组织供血,一旦闭塞,死亡率超过90%。因该血管分支多、管径窄、路径长、弹性差、缺血耐受差,被视为脑血管支架置入的“禁区”。
近日,上海蓝十字脑科医院【同济大学附属上海蓝十字脑科医院(筹)】学术副院长、4A脑血管病一科主任席刚明教授带领团队顺利为一位基底动脉重度狭窄患者行球囊扩张成形术+支架置入术,成功开通几近闭塞血管,打通“生命通道”。
男子肢体麻木加重,最终确诊脑干梗死
患者为老年男性。半年前,无明显诱因开始出现右侧肢体麻木,急诊至当地医院,诊断为“脑梗死”,予以对症治疗后,症状有所缓解。今年七月中旬,患者肢体麻木症状较之前加重,无口角流涎,无言语不清,无肢体活动障碍。为进一步治疗,慕名辗转至上海蓝十字脑科医院。
入院后,神经系统查体:神志清,言语流利,对答切题,高级智能检查合作;双侧瞳孔等大等圆,直径约2.5mm,对光反应灵敏;双侧鼻唇沟对称,口角无歪斜,伸舌居中;四肢肌力5级,四肢肌张力正常。既往高血压病史10余年,血压最高达170/100毫米汞柱,口服降压药治疗。
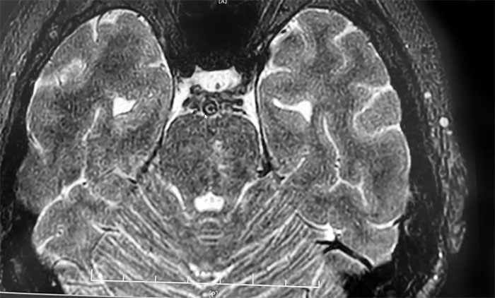
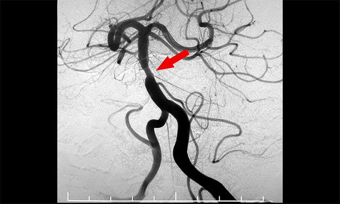
头颅MRI+SWI+DTI提示脑干梗塞,双侧桥臂变性;双侧放射冠区、额顶叶散在腔梗、缺血灶。基底动脉HRMR平扫+增强提示基底动脉管壁增厚伴重度狭窄。头颅CTP显示,右侧顶枕颞叶局部脑组织灌注较对侧稍减低。DSA提示基底动脉中段重度狭窄。
4A脑血管病一科主任席刚明教授,4A脑血管病一科副主任王贵平博士会诊指出,该患者为基底动脉主干病变,呈现为“一线天”样狭窄,考虑基底动脉重度狭窄为患者右侧肢体麻木并加重的根源。并且,狭窄处随时可能形成血栓引发血管急性闭塞,一旦闭塞,患者将可能出现深昏迷、四肢瘫痪,甚至危及生命,可以说“命悬一线”,即使侥幸保住性命,大概率也会成为植物状态或遗留其他严重残障。

▲ 脑干梗塞

▲ 头颅CTP显示右侧顶枕颞叶局部脑组织灌注较对侧稍减低
勇闯“禁区”,为患者打通“生命通道”
基底动脉位于颅内,且紧贴脑干,外科手术治疗基底动脉狭窄几乎没有可能,而对于重度狭窄的病人来说,单纯药物治疗收效甚微,神经介入治疗是唯一选择。但是基底动脉手术难度大、风险高,由于基底动脉穿支多,稍有闪失将会导致患者严重的手术相关脑卒中,对于手术操作技术的要求极高。席刚明教授团队决定迎难而上,在充分做好手术预案后,决定在全麻下行经皮基底动脉球囊扩张成形术+支架置入术,及时开通血管,挽救患者生命。
7月29日,经过充分的准备工作,席刚明教授、王贵平博士在介入团队协助下顺利为患者实施了手术。术中凶险的就是球囊扩张狭窄,如果掌握不好扩张球囊的位置和扩张速度,势必造成更复杂的血管夹层甚至出血。历时两个多小时奋战,席刚明教授、王贵平博士凭借丰富的经验及精准的手法顺利地于基底动脉狭窄处进行了球囊扩张,并顺利置入支架,造影可见左侧椎动脉、基底动脉、双侧大脑后动脉、双侧小脑上动脉、左侧小脑前下动脉显影可,基底动脉狭窄明显改善。最终,患者基底动脉得以顺利开通,手术获得圆满成功,打开了患者的“生命通道”。
术后,患者顺利苏醒,无新发神经功能缺损,肢体麻木症状消失,目前正在进一步康复中。

▲ 席刚明教授、王贵平博士在为患者手术

▲ 基底动脉重度狭窄

▲ 基底动脉顺利开通
警惕大脑后循环脑梗死
流行病学调查显示,除了“年轻化”外,脑梗死还呈现出椎基底动脉硬化的趋势,发病以后循环供血的部位为主,小脑、脑干、枕叶和部分丘脑发生梗死的患者越来越多。
席刚明教授说,提起脑梗死,不少人会想到突然昏厥、口角歪斜、半身不遂、言语障碍、智力障碍等症状,由于病变血管不同,大脑后循环脑梗死的常见症状与上述症状不同,易出现突然发作性眩晕、恶心呕吐、喝水呛咳、吞咽困难、声音嘶哑、面舌瘫、眼肌麻痹引起的复视、眼球震颤、躯干共济失调、单侧肢体无力、走路歪斜等症状。
席刚明教授提醒,由于大脑后循环脑梗死的起病症状不典型,容易与其他有相似症状的疾病混淆,如急性周围前庭功能障碍、急性脑出血、蛛网膜下腔出血、脑肿瘤、慢性感染疾病等,在临床上诊断起来较困难,辗转数家医院、跑错科室的现象时有发生。有的反复就诊于眼科、耳鼻喉科,甚至还去看心理医生,将其作为焦虑症治疗。
这样一来,就会耽误诊治时间,导致病情加重,错过最佳的治疗时机,影响患者病情的恢复。殊不知,对于脑血管疾病来说,时间就是生命,时间就是大脑。
此文章仅作为临床学术研究、学术交流使用!
上一篇:反复头痛头晕,警惕脑肿瘤! 下一篇:脊髓神经电刺激手术(SCS),为植物人苏醒带来新希望!
4月10日,上海市医疗保障局基金监管处处长朱畅、行政执法处领导...【详细】


