近日,上海蓝十字脑科医院神经外科团队成功实施一例高难联合血运重建手术,为一名中年“烟雾病”患者解除了病痛困扰。
颅底异常血管网危害健康

▲异常血管网形似烟雾
烟雾病,是一种病因不明的、以双侧颈内动脉末端及大脑前动脉、大脑中动脉起始部慢性进行性狭窄或闭塞为特征,并继发颅底异常血管网形成的一种脑血管疾病,因其在脑血管造影图像上形似“烟雾”而得名。
上海蓝十字脑科医院神经外科学术副院长兼6A病区主任于耀宇介绍道,烟雾病的危害还是比较大的,轻症往往表现为短暂性(一过性)脑缺血、头疼、癫痫、肢体无力、感觉异常及视力视野改变等,而重症则以脑梗死或脑出血起病,导致患者偏瘫、失语,昏迷甚至危及生命。所以烟雾病患者要及时治疗,必要时可以接受手术治疗,联合血运重建手术是治疗烟雾病不错的方法。
联合血运重建手术 改善大脑供血

▲手术重建血运,改善脑供血
目前,“烟雾病”的手术治疗方法,主要包括直接和间接两类血运重建术。直接血运重建术主要是指颅内外血管搭桥,将头皮血管(如颞浅动脉、枕动脉等)直接吻合到脑内动脉(如大脑中动脉等)的分支,相当于重建一条“高速公路”,可以快速、直接地改善脑部供血;间接血运重建术包括多种术式,主要通过建立来自头皮、颞肌、硬膜的侧支循环来改善供血,这些重建后的“网状小路”,对于改善脑部供血具有良好的远期效果,且具有创伤小等优点,只是这一重建过程需要一定的时间周期。
联合血运重建术,是指将直接和间接两种手术方式有机结合,取长补短,“双管齐下”。通常采用头皮血管(如颞浅动脉)的一支与脑皮层血管进行搭桥,同时将另一支头皮血管贴敷于脑表面,逐渐建立新的侧支循环。
联合血运重建术兼容了直接、间接两种手术方式的优点,既能达到快速改善血运的作用,又可以产生良好的远期效果,对“烟雾病”患者可起到改善脑供血,预防脑缺血和出血事件发生的作用。
肢体乏力 竟惹出意外脑梗
5月下旬,赵先生起床不久突感左侧肢体乏力,尤其是左腿“吃不上劲儿”,难以平稳站立行走。作为一名“70后”,既没有高血压、糖尿病、冠心病等病史,平时更是注重养身,不沾烟酒,赵先生实在想不明白身体哪出毛病了。

▲颅内动脉多处狭窄
到医院检查才发现,右侧基底节区及颞叶小片状亚急性脑梗。赵先生住院后,进一步行脑动脉MRA检查发现,双侧大脑前、中动脉多节段狭窄,有明显烟雾状血管生成,符合“烟雾病”的特征表现。
“不查不知道,一查吓一跳。”正值壮年的赵先生,始终不敢相信自己居然脑梗了,而造成这一切的“罪魁祸首”就是“烟雾病”——一种病因不明的脑血管疾病。
之后,在亲友的极力推荐下,赵先生转到上海蓝十字脑科医院,收治于神经外科6A病区,以寻求进一步治疗。
“拨开迷雾” 科学评估 定制方案
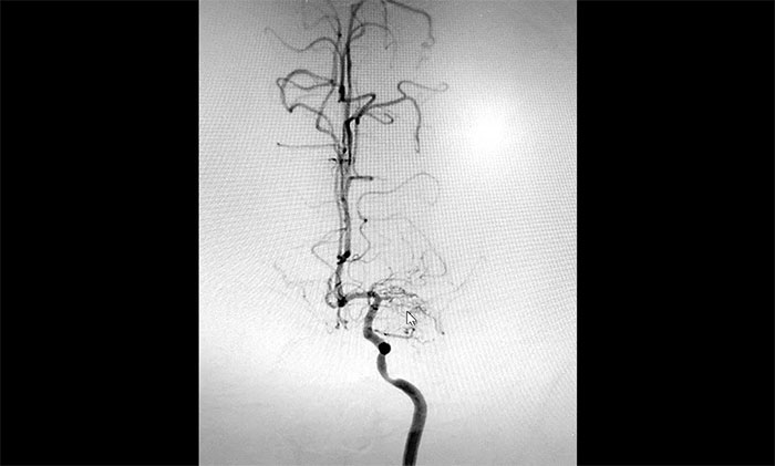
入院后,赵先生的DSA(脑血管造影)检查再次明确“烟雾病”表现:双侧大脑中动脉主干管腔纤细、分支细小;周围代偿性小血管网建立;右侧颈内动脉C3-4段纤细,显影毛糙;两侧颈内动脉C4-6段钙化形成伴管腔轻—中度狭窄。

▲DSA异常血管造影图
神经外科团队综合DSA检查结果和患者症状表现,进行了科学、审慎的评估。于耀宇主任谈到,患者双侧颈内动脉虹吸部和大脑中、前动脉主干近段明显狭窄、近乎闭塞,异常血管网形成。双侧大脑半球多发供血区灌注不足,尤以右侧缺血较为明显。
因此,团队最终决定先改善右侧供血,待情况稳定后,再进行另一侧的治疗,以避免脑部血流恢复以后,灌注过度而引发脑出血。
高难手术 顺利重建“血运通道”
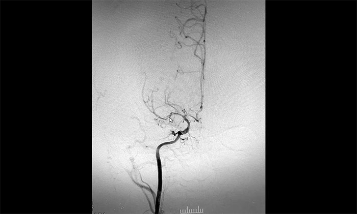
通过进一步完善手术方案,排除手术禁忌,并明确告知家属手术风险,获得签字同意后,神经外科团队在全麻下为赵先生开展了右侧颞浅动脉-大脑中动脉搭桥术联合颞肌贴敷手术的血运重建手术。

▲神经外科团队手术场景
借助高精度的蔡司显微镜(双荧光),主刀医生探寻到合适的受体血管后,用肉眼几乎看不到的10-0吻合线,细密缝合薄如蝉翼的血管壁,进行“搭桥”。这种高难手术,缝合过程中医生连眼皮都不能眨一下,只要稍有不慎,都有可能引发严重后果。
成功完成“搭桥”后,还需将颞肌肌瓣贴敷于缺血区脑组织表面。至此,整台联合血运重建手术才算顺利完成,共历时2小时45分钟。麻醉清醒后的赵先生安返监护病房。
目前,赵先生身体状况平稳,恢复良好。一段时间后,他还将接受左侧脑血运重建手术,以逐步摆脱对烟雾状血管的依赖,降低再次发生脑缺血和脑出血的风险,改善预后。
版权声明:部分图片源自摄图网,如有版权纠纷,请及时联系医院。一经查实,将立即删除。
此文章仅作为临床学术研究、学术交流使用!
上一篇:25岁右眼失明、左眼0.1,被垂体瘤“封印”的心灵之窗 下一篇:是“谁”偷走了老张的记忆?——罕见病甲基丙二酸血症
为更好地满足患者的就诊需求,2026年1月1日-3日元旦假期期间,我...【详细】


