患者张某,女性,11岁(入院时年龄)
患者出生70天时无明显诱因下出现一次肢体抽搐,身体倾倒,头偏一侧,伴意识丧失,持续约2-3分钟后自行缓解。3天后出现双眼上视,愣神,持续约1分钟,缓解,未于抗癫痫治疗。1岁时,一次高热后,出现与第一次相同的发作。至6岁时,开始出现每月1次的发作,发作形式同第一次。7岁以后,开始服用丙戊酸钠,发作减为1-2次/年。1年多以来,患者因发作增多,并且间断出现双眼上视,愣神,意识丧失,持续约1分钟,发作3-4次/月,调整丙戊酸钠剂量,发作无减少。
智力发育迟滞,智商低于60,计算力差,近记忆力差。视野在右眼中心及鼻侧下方有暗点。左上肢远端肌力Ⅳ级,左拇指肌力Ⅲ级,活动差,肌肉萎缩。右侧肢体肌力Ⅴ级,双侧Babinski’s征(-)。
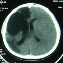
CT检查:右额部见边缘清晰的脑脊液密度区,大小约82mm×52mm,与侧脑室相沟通,内侧达中线,其内可见带状分隔;右侧颞顶叶及部分枕叶脑组织呈低密度改变,左侧侧脑室形态、大小正常,中线结构尚居中(图1)。

图1 CT(①②)显示右额部边缘清晰的脑脊液密度区与侧脑室相沟通,其内可见带状分隔;右侧颞顶叶及部分枕叶脑组织呈低密度改变
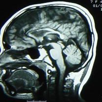
核磁检查:右侧大脑半球皮层大部分呈长T1、长T2信号,其中右额部为与脑脊液信号相同的囊性病变,与右侧脑室相沟通,右侧脑室扩大,左侧脑室大小正常,中线结构居中。MRI诊断:右侧额颞顶枕叶脑软化,右侧脑室穿通畸形(图2)。

图2 MRI显示右侧大脑半球大部分呈长T1、长T2信号,右额部为与脑脊液信号相同的囊性病变,与右侧脑室相沟通,右侧脑室扩大,左侧脑室大小正常,中线结构居中。
脑电图检查:以8-9Hz、20-70uV α波为背景,调幅调节欠佳。各导联均有散在的4-7Hz、10-40uV θ波活动,左右基本对称。在双额颞导联有频繁出现的高幅阴性同步及非同步棘波、棘慢波。全导可见阵发性长程高幅3-7Hz慢波。脑电图诊断:双额颞非同步棘波、棘慢波、慢波;全导棘波。
诊断:1、顽固性癫痫(药物难治性癫痫)
2、一侧大脑半球脑软化
开颅手术治疗:根据病情制定针对性的个体化癫痫手术方案
术后病理报告:大脑半球脑组织结构紊乱,神经元变性脱失,胶质细胞增生,见多量局灶性含铁血黄素沉着,局部皮层变薄,蛛网膜充血,纤维增生玻璃样变性,白质疏松水肿。海马神经细胞排列紊乱、变性、脱失,局灶出血,白质疏松水肿,蛛网膜充血,胶原纤维增生(图4)。

图4 病理显示大脑半球脑组织结构紊乱,神经元变性脱失,胶质细胞增生,见多量局灶性含铁血黄素沉着
结果及随访:术后出现一过性一侧肢体肌力下降,三天后恢复,余恢复顺利。随访3年,患者无癫痫发作,智力发育明显改善,学习成绩进步。已经回归社会,正常上学生活。
此文章仅作为临床学术研究、学术交流使用!
上一篇:生长性颅骨骨折继发癫痫手术案例 下一篇:患者家属由衷感叹:这里的病房充满家的温情! 小记上海蓝十字脑科医院神经内科两位护士长
为更好地满足患者的就诊需求,2026年1月1日-3日元旦假期期间,我...【详细】


