随着二胎政策的正式实施,许多家庭都在考虑再要一个宝宝。今年30岁的刘女士(化名)一家也是其中之一,然而半年时间过去了,一心想着再要个“小棉袄”的刘女士却始终未能如愿。
一心想要二宝 却始终未能如愿
刘女士结婚六年,有了个宝贝儿子,和丈夫感情和睦,家庭生活殷实,在旁人眼中已经算是幸福的一家了。“女孩子懂事体贴,又有孝心,知道让父母省心,是妈妈的贴心小棉袄啊!”。刘女士说,每次提到谁家儿女双全,都羡慕说人家是人生赢家,一儿一女正好凑成了“好”字,确实是人生一大美事。随着二胎政策的放开,她想要二宝的想法也得到了丈夫的支持,但是她却一直未能如愿怀孕,一时间让她陷入困扰中。
原来近半年来,刘女士出现了闭经情况,为此她跑了好几家大医院、妇产医院,做了子宫、卵巢功能等一系列妇科检查,吃了很多调理的药物,但是始终不见效果。近一个月来,还偶尔出现头晕、恶心等,并伴有视物不清,视物有重影等症状。
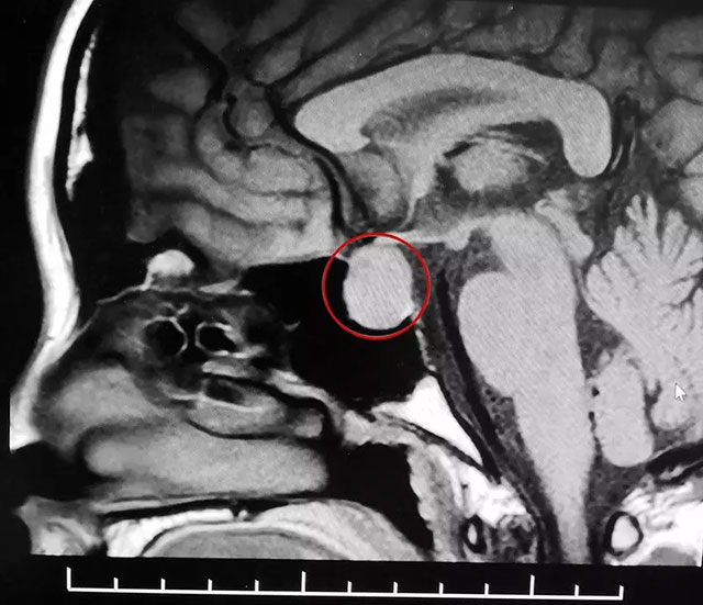
后来一位有经验的医生提醒她去检查一下头部,经头颅磁共振检查,鞍区MRI平扫+增强显示,蝶鞍显著扩大,鞍区见不规则肿块影,大小约1.4*1.7*2.2cm。刘女士被诊断为垂体大腺瘤(垂体瘤超过1厘米就是垂体大腺瘤)。

▲ MR影像检查显示:垂体大腺瘤,超蝶鞍生长
一听说头脑里长了肿瘤,刘女士一家紧张得不行,为了谨慎起见,刘女士在家人陪伴下来到上海蓝十字脑科医院,慕名求医李士其教授。
李士其教授主刀 经蝶窦手术切除肿瘤
李士其教授指出,患者颅内鞍区的肿瘤属于垂体泌乳素瘤大腺瘤。垂体泌乳素瘤是最常见的垂体瘤,多发于生育期妇女。该肿瘤虽属良性,但能高功能分泌催乳素,引起患者血清催乳素升高。高水平的催乳素可抑制下丘脑促性腺激素释放激素的合成与释放,因而促黄体生成激素与卵泡刺激素水平降低,无脉冲型分泌,卵泡发育障碍,影响卵巢甾体激素合成能力,导致雌、孕激素不足,因而患者出现月经稀少或闭经、不孕。
并且肿瘤已经严重影响到患者的垂体功能,并压迫视神经,感觉神经等功能,所以出现头晕、视力模糊。随着肿瘤体积增大,向上伸展压迫视交叉,则出现视野缺损。如果未及时治疗,视野缺损可再扩大,并且视力也有减退,以致全盲。如果肿瘤偏于一侧,可致单眼偏盲或失明。如果肿瘤向后生长,可压迫脑干致昏迷、瘫痪等。
李士其教授表示,患者手术指征明显,综合各项检查,没有手术禁忌,可考虑经蝶窦微创手术。

▲ 李士其教授(左一)与吴志群博士(右一)在显微镜下为患者手术
一切准备就绪后,刘女士被送进了手术室。李士其教授在助手吴治群博士协助下,使用德国蔡司Zeiss双荧光显微镜,经右侧鼻腔进入蝶窦,咬除颅底骨质,暴露并切开硬膜,将肿瘤完整切除。整个手术用时不到1小时,仅出血5毫升。术后患者被医护人员唤醒,被安全送到重症监护室监护。
经鼻蝶窦入路垂体瘤切除微创手术具有肿瘤暴露佳,创伤和危险性小,手术时间短、颅面外观无损伤,手术效果好等优点,已广泛应用于临床,但该手术方式对术者的技术水平也有着非常高的要求。

▲ 术后CT影像显示:肿瘤切除干净
“没什么感觉,就像打了个盹。”手术一周后,刘女士恢复得不错,饮食起居正常,月经逐渐恢复正常,各项内分泌指标也恢复正常。目前,刘女士已经出院,她将有望圆了自己的“小棉袄”心愿。
小贴士
垂体瘤是一组从垂体前叶和后叶及颅咽管上皮残余细胞发生的肿瘤,多为良性肿瘤。垂体瘤的临床表现主要有颅内神经功能障碍:比如头痛、视力视野改变、多尿、呕吐、眼球活动障碍等;内分泌功能障碍:女性主要表现为闭经、溢乳、不育,男性则表现为性欲减退、阳痿、乳腺增生、毛发稀疏等。另外,面容改变、肢端肥大、满月脸、水牛背、向心性肥胖、性情急躁、易激惹、精神萎靡、食欲缺乏、身体虚弱无力、抗病力差、反应迟钝等也是垂体瘤的症状。许多女性患者由于月经不调、闭经、不孕而辗转在妇产科治疗,她们往往做了很多检查,吃了很多药物,最后到神经外科才确诊为垂体瘤。
经鼻蝶窦入路切除垂体瘤适用于各种垂体微腺瘤和大腺瘤。它突破了传统开颅手术的弊端,运用神经内镜、鼻窦内窥镜等手段,借利用鼻腔天然通道,经蝶窦微创直达垂体切除肿瘤。这种手术方式明显降低了对脑组织、脑神经和血管的损伤,微创切除垂体瘤,对垂体柄等重要结构的保护更为可靠,效果更好。随着神经外科的发展进步,经鼻蝶窦切除垂体腺瘤已经广泛应用于临床,成为垂体瘤优先选用的治疗方法。
此文章仅作为临床学术研究、学术交流使用!
上一篇:24小时立体定向脑电图(SEEG)监测,真凶现行——“癫痫” 下一篇:惟愿孩儿愚且鲁,无灾无难到公卿——10岁男孩饱受癫痫折磨
为更好地满足患者的就诊需求,2026年1月1日-3日元旦假期期间,我...【详细】


