“2月16日我父亲再次突发脑出血,这已是他第三次颅内出血了,当时我和母亲吓坏了,幸好遇到蓝十字脑科医院神经外科的专家团队,他们争分夺秒、全力救治,终于把我父亲从鬼门关救了回来,尤其是主刀医生吴治群,更是医术精湛。”说起蓝十字的医生,患者女儿感激之情溢于言表。

▲术后患者病情稳定
两次脑出血情况不妙,家人不离不弃
据患者李家民(化名)妻子介绍,今年1月3日,她和老伴乘坐地铁准备出去游玩,因为地铁上人山人海他们也只能站着,当地铁开出十几分钟后,她的老伴却突然晕倒了。起初人还是清醒的,但她老伴左侧肢体活动却出现了障碍,动弹不得,没过多久精神开始萎靡,当时多亏地铁上好心人的帮助,及时拨打了120,并送至最近医院进行救治。
之后患者在该院进行了头部CT 检查,影像学提示患者脑出血,前后进行了2次手术,术后给予相关对症治疗。“我父亲今年71岁,正是享清福的年纪,之前身体还算可以,就是有点高血压,谁也没想到他会突发脑出血,而且还发生两次脑出血,这对家人打击很大,但无论如何我们都会尽全力帮助父亲渡过难关,好日子还等着他呢!”李叔叔女儿红着眼睛说。
两次手术后,李叔叔的生命体征已基本稳定,但整个人依然处于昏迷的状态,家人为了寻求进一步治疗,于1月31日将患者送至蓝十字脑科医院,蓝十字神经外科6B病区主任潘仁龙接诊,并收录于神经外科6B病区,完善相关检查。
脑出血——高发病率、高致残率、高死亡率、高复发率
潘仁龙主任介绍, 脑出血,属于“脑中风”的一种,是中老年高血压患者一种常见的严重脑部并发症,是指非外伤性脑实质内血管破裂引起的出血。它具有高病发率、高致残率、高死亡率及高复发率“四高”特点,临床上脑出血发病十分迅速,主要表现为意识障碍、肢体偏瘫、失语等神经系统的损害。
引发脑出血的病因很多,常见有高血压合并小动脉硬化、微血管瘤、脑血管畸形、脑膜动静脉畸形、淀粉样脑血管病、囊性血管瘤、颅内静脉血栓形成、烟雾病和动脉解剖变异及血液病、脑肿瘤等因素都会引起脑出血。
对于患者李家民而言,潘主任说之前已经两次脑出血,发病非常迅速,当时左侧肢体就已经偏瘫,两次手术后仍处于昏迷状态,加之年龄较大,虽生命体征基本稳定,但情况不容乐观。由于之前已发生过两次颅内出血,再次复发的风险是很高的,据统计,脑出血经抢救治疗存活者中,在5年内约有20%~47%的复发率,而在1年内复发的最多,且每复发一次,脑细胞受损加重一次。因此医院安排对其进行24小时生命体征监测,以防患者再次脑出血或出现其他并发症时,能及时进行救治。
脑出血再次袭来情况危急,专家团队争分夺秒定方案
完善患者各项检查,并根根患者的病情、病症以及各项检查结果,初步诊断为:1、脑出血术后康复;2、脑动静脉畸形破裂伴蛛网膜下隙出血;3、高血压脑出血。针对患者的具体病情,潘主任制定了完善的诊疗计划,同时密切观察患者病情变化。

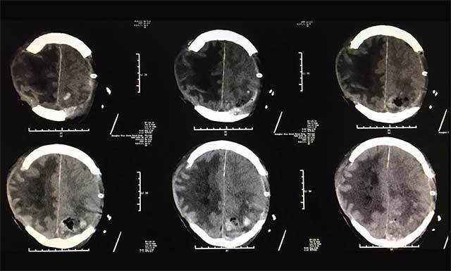
▲标记处为出血部位,患者情况危急
2月16日早上,医生查房时发现患者李家民瞳孔有散大的情况,眼睛对光反应也消失了,考虑患者有再出血的可能,建议患者立即通过脑卒中“急诊绿色通道”进行头颅CT检查。医院为了缩短脑卒中患者的抢救时间,特设立“急诊绿色通道”, 为脑梗死、脑出血患者急诊救治赢得了宝贵时间。
影像提示,患者脑出血术后改变,潘仁龙主任当机立断,立刻组织了神经外科6B病区吴治群博士进行紧急会诊,患者左侧额颞顶枕叶有一个很大的血肿,根据患者病史、病症及影像学表现,考虑患者这次脑出血为淀粉样脑血管病变或血管畸形破裂所致。并一致认为患者手术指征明显,脑出血情况紧急,出血量也比较多,已经危及生命,必须立即手术,才能挽救患者生命。
15分钟后,在得到患者家属全力支持下,决定对其进行手术,完善相关检查后,立即联系手术室,等一切手术准备就绪,即刻开始手术。
显微镜下精细操作,吴博士助其脱险
李叔叔这次手术由吴治群博士主刀的,吴博士曾多次留学深造,积累了丰富的医学临床经验和理论知识,不但精通颅脑外伤诊治,更是擅于显微神经外科手术治疗各类颅内肿瘤和脑血管疾病。“听潘主任介绍,这次我父亲的手术是由吴治群博士主刀的,我和母亲心里也就踏实多了”患者女儿讲到。

▲在显微镜下认真操作的吴博士
手术开始,吴治群博士主刀,当切开患者硬脑膜后,只见血肿涌出(深红色不健康血液),吸除部分血肿后,患者脑压下降;扩大硬脑膜切口,可见一类似畸形血肿团约3cmx4cmx4cm,血供丰富,在显微镜的助力下,吴博士顺利地切除了血管团,共清除血肿约50毫升,此时患者脑压下降明显,脑搏动良好……在大家2个多小时的齐心协力下,手术终于顺利完成,术后观察患者双侧瞳孔等大等圆,生命体征稳定,已安返重症监护室,并将肿物送检。
据吴博士介绍,术中清除患者血肿时,发现一类似畸形血肿团约3cmx4cmx4cm,之后肿物送检报告提示:患者机化血肿合并粗大血管表现,明确患者此次脑出血主要是淀粉样脑血管病变所致,考虑到患者年龄较大,日后再次脑出血的可能性依然存在。

▲术后患者出血情况较前明显好转
术后患者影像显示,颅内出血较前明显好转,看到已经度过危险期的患者,家属感慨万分,患者女儿更是感激的说:“这次幸好遇到蓝十字如此专业负责的医生团队,从发现父亲情况异常,到会诊定方案,再到手术的进行,专家争分夺秒,救治及时,我父亲才得以保住了性命。”
此文章仅作为临床学术研究、学术交流使用!
上一篇:连接大脑的生命枢纽颈动脉易堵塞,如何预防? 下一篇:阿婆肢体乏力三个月,原来是巨大脑膜瘤作祟
为更好地满足患者的就诊需求,2026年1月1日-3日元旦假期期间,我...【详细】


