近日,上海蓝十字脑科医院肿瘤科(放疗)收治了一位肺癌脑转移的患者。经肿瘤科(放疗)头部伽玛刀组陈琦主任精心治疗,患者病情得到明显控制,原本因肿瘤而偏瘫的左侧肢体,恢复了基本的活动能力,改善生活质量。
患者赵某(化名),女性,73岁。2014年因右肺肿瘤至当地医院行手术切除,术后恢复良好。2023年7月,因发现脑转移占位病变,于外院行开颅手术,病理报告为转移性神经内分泌癌。术后,左侧肢体活动障碍逐渐加重,9月复查头颅增强核磁共振提示肿瘤复发。遂来我院对颅内肿瘤病灶进行进一步治疗。

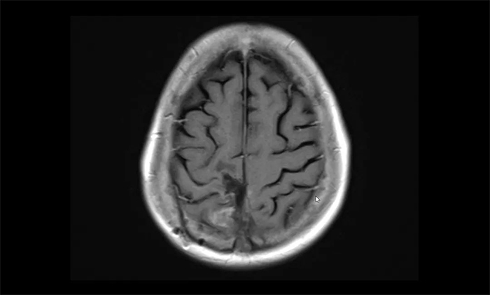
▲ 入院治疗前影像
入院时查体,受肿瘤占位效应影响,患者左侧肢体肌力0级,无法自己行走,需要借助轮椅,生活自理能力大受影响。经肿瘤科(放疗)头部伽玛刀组陈琦主任精心治疗,病情明显控制。

▲ 治疗后检查显示,病灶明显缩小
近期患者复查,肿瘤病灶较治疗前明显缩小,周围水肿明显减轻。患者原本偏瘫的左侧肢体恢复了活动能力,摆脱了轮椅,可自行走动,日常生活基本可自理。
罹患脑转移瘤为何凶险
陈琦主任介绍,脑转移瘤(brain metastases,BM)是指原发于身体其他部位的肿瘤细胞转移至颅内,从而造成颅内肿瘤生长的一种疾病,是最常见的颅内恶性肿瘤。研究表明,约20%–40%的恶性肿瘤,发展过程中会出现脑转移。
脑转移瘤与颅内原发肿瘤的临床表现有一定的相似性,主要与肿瘤累及部位有关,主要包括颅内压增高及特异的局限性症状和体征,如精神症状、癫痫发作、感觉障碍、运动障碍、失语症、视力下降、视野缺损等。

肿瘤发生脑转移后,患者的生存期即面临严峻考验。以常见的肺癌脑转移为例,就具有转移发生率高、预后差、自然生存时间较短(平均生存时间为3-6个月),严重威胁着患者的生命健康。
陈琦主任解释道,这是由于肿瘤发生脑转移时,意味着原发病灶肿瘤细胞已发生播散,可能同时转移至全身多处部位,患者很可能出现全身肿瘤并发症,包括神经系统症状。
另一方面,肿瘤在颅内呈膨胀性生长,使脑组织受压发生移位,由初期的头痛、呕吐等,进展至出现肢体活动障碍或意识障得,严重者会形成脑疝。再加上肿瘤中心坏死组织可能出现出血,脑组织受损愈发严重,可导致患者在短时间内昏迷,甚至死亡。
不必谈“癌”色变 科学抗癌治癌
在临床上,一些悲观的患者认为,当病情发生脑转移后,生命的列车可能即将驶向终点,主观上消极面对进一步治疗,还可能因消极情绪影响治疗效果。
陈琦主任表示,近年来,随着外科手术、放射治疗和药物治疗水平的不断提高,脑转移肿瘤患者的治疗方式和选择趋于多样化。针对不同患者个体情况,通过多学科综合治疗,其目的是治疗转移病灶、改善患者症状和生活质量,较大程度延长患者生存时间。

▲ 放射治疗是脑转移瘤重要治疗手段之一
“早发现、早治疗是脑转移肿瘤治疗的关键。”陈琦主任提醒,脑转移瘤是癌症患者主要的致残及死亡原因之一。那么,当恶性肿瘤发生脑转移时,会有哪些症状表现呢?首先,以头痛为代表的颅内压增高表现是最常见的早期症状,可伴随喷射状呕吐。当肿瘤生长压迫脑组织,可导致患者出现偏身感觉障碍、偏瘫、失语及脑膜刺激征表现。还有部分患者可出现癫痫、情感淡漠、痴呆等精神损害表现。对于恶性肿瘤患者来说,出现上述一种或多种症状表现时,要格外警惕发生脑转移的可能性,及早就医检查治疗。
虽然脑转移瘤的发生意味着肿瘤已经发生远端转移,患者还是应当调整心态,积极配合相应的治疗措施。尤其是单发脑转移灶的患者,通过手术切除配合放疗、化疗、靶向治疗等综合治疗,患者仍可获益。即使对多发脑转移灶、失去手术机会的患者,积极采取治疗措施如放疗、化疗等,亦可一定程度上缓解痛苦,延长生存时间。
版权声明:部分图片源自摄图网,如有版权纠纷,请及时联系医院。一经查实,将立即删除。
此文章仅作为临床学术研究、学术交流使用!
上一篇:女子走路摔倒意外发现多发夹层动脉瘤 席刚明教授团队成功应用血流导向装置化险为夷 下一篇:眩晕不一定是颈椎病,还有可能是耳石症!
4月10日,上海市医疗保障局基金监管处处长朱畅、行政执法处领导...【详细】


