说起黑色素瘤,电影《非诚勿扰2》中李香山(孙红雷饰)得的正是这种绝症。李香山得知自己罹患不治之症后,决定放弃治疗,选择有尊严地死去,还在生前给自己开了一场隆重的“人生告别会”。
孙红雷一句话,医院满是点痣人
■ 电影《非诚勿扰2》中孙红雷饰演的李香山在人生告别会的最后,对大家说:“以后有黑痣赶紧点了。千万别认为那象征着好运和性感”。结果电影上演后,前去医院点痣的人据医生说是“比平日多出了三倍”。
■ 痣不可以乱点,不建议点痣,而是建议行小手术切除后,做病理检查,明确痣的良性和恶性。
黑色素瘤小贴士:
每个人身上都会长有大小不等的黑痣,而其中有些黑痣竟可能与“不治之症”扯上关系,那就是黑色素瘤——虽然它不像肝癌、肺癌、乳腺癌这些肿瘤疾病那么为人熟悉,却因为其具有病情发展迅速、转移快、治疗难度大、死亡率高的特点,往往与胰腺癌并称为“癌症之王”。
黑色素瘤的发病率并不算高,中国2015年的数据是每十万人中有8例。不过,与欧美主要分布在皮肤浅表的皮肤型不同,中国有约50%的患者的黑色素瘤是分布在四肢末端皮肤的肢端型,更容易发生转移。
黑痣变硬成黑色素瘤 坚持治疗不放弃
胡女士(化名)现年45岁,她右脸颊上有一块颜色不算太深的“胎记”,左脚的脚底有一块硬币大小的“黑痣”。自打出生以来,这些身体上的“记号”便默默陪伴着她,似乎相安无事。
直到2016年的一天,胡女士在修剪脚趾甲时意外发现,足底的“黑痣”变硬了,且明显凸起。警觉性很高的她立即到江苏省南通市某医院进行治疗。左足底黑色素瘤的检验报告,就此改变了她的人生轨迹。
胡女士被确诊为黑色素瘤,她没有对此感到恐惧和绝望,而是主动去求医问诊,坚持治疗。乐观坚强的她在2016年先后进行了两次手术, 被切除清扫掉左足底的黑色素瘤和转移到左腹股沟的癌变组织。
这两次比较成功的手术,大大增加了胡女士与病魔决斗的信心和勇气。此后,她一直通过干扰素治疗来控制癌症的转移和发展。
黑色素瘤转移成脑瘤 沈教授查“癌王”
但是,2018年底,胡女士感觉自己频繁出现头晕头痛,甚至出现不由自主的肢体抖动等症状,这让她意识到,癌正对自己开始了新一波攻势。在沪上某医院做CT检查后确认,这次癌已直击“生命中枢”——大脑。
从此,胡女士寻访了多家大医院,这些医院都认为手术治疗难度高、风险大,多劝她进行保守治疗。
胡女士就是不信这个邪,经多方打听后胡女士辗转来到上海蓝十字脑科医院。在蓝十字脑科医院进行了仔细全面的体检,影像检查提示:左足跟黑色素瘤切除术后,患者颅脑右侧枕叶皮髓质交界处高密度团块伴周围脑实质水肿,考虑为转移瘤。身体其他部位未见明显转移灶。

▲MRI提示右侧顶枕叶皮髓质交界处占位
基于细致严谨的检查评估后,上海蓝十字脑科医院神经外科主任沈建康教授领衔的专家团队一致认为,手术切除患者脑部肿瘤具备条件,且可有效延长患者生存期,提高生存质量。
黑色素瘤能通过淋巴转移,也能通过血道转移,因而发展快、转移迅速。对于医生和患者来说,不仅是与疾病的殊死较量,还要与时间赛跑。时间就是生命,沈建康教授第一时间为胡女士进行了颅内肿瘤切除手术。

▲沈教授为患者手术切除肿瘤(资料图)
沈教授显微外科除脑瘤 患者重燃生的希望
黑色素瘤能通过淋巴转移,也能通过血道转移,因而发展快、转移迅速。对于医生和患者来说,不仅是与疾病的殊死较量,还要与时间赛跑。时间就是生命,沈建康教授第一时间为胡女士进行了颅内肿瘤切除手术。
手术过程中,通过显微镜可以看到,黑色的肿瘤体积为3cm*3.5cm*3cm,血供丰富,与硬脑膜粘连,和脑组织边界不甚清楚。
沈教授表示,切除这个肿瘤的难点在于:既要全力保护患者的脑组织,又要减少出血,尽可能避免癌细胞的快速扩散。
凭借高超的技术和丰富的临床经验,沈教授手中的手术刀化为利剑,沉稳而又果断地切向脑瘤,手术最终取得了成功。

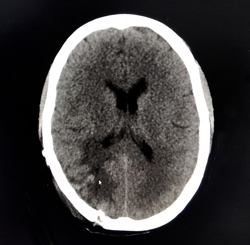
▲术后CT查片已不见肿瘤踪迹
术后,胡女士恢复情况良好。沈教授表示,脑瘤的切除让患者暂时脱离了险境,但仍存在复发的可能。后续通过积极采取化疗、放疗等多模式综合治疗,以此缓解临床症状、减轻痛苦,从而达到患者生命延长、生活质量得以显著提高,所有这些还是可以做到的。

▲医师查房,患者术后恢复良好
此文章仅作为临床学术研究、学术交流使用!
上一篇:格林-巴利综合征险夺男子性命 蓝十字脑科专家力挽狂澜助患者渡险关 下一篇:从发烧到脑炎仅5天!专家提醒:冬春流感高发,预防要注意这些!
4月10日,上海市医疗保障局基金监管处处长朱畅、行政执法处领导...【详细】


