静脉血栓栓塞症(VTE),是包括下肢深静脉血栓形成(DVT)、肺栓塞(PE)和血栓后综合症在内的一组血栓栓塞性疾病。下肢深静脉血栓形成和肺栓塞具有相同的易患因素,深静脉中的血栓脱落可引起肺动脉栓塞,是同种疾病在不同阶段的表现形式。
静脉血栓栓塞症被称为“沉默的杀手”,约70%患者无典型征兆,一旦出现症状,则提示已经发生下肢深静脉血栓形成或者肺栓塞。60%的静脉血栓栓塞症发生在住院期间或者出院之后,且常并发于其它疾病,是医院内患者非预期死亡的重要原因,也是全球主要的致死、致残病因之一。
静脉血栓栓塞症发病率、病死率以及漏诊率居高不下,为此,2021年和2022年连续两年,国家卫生健康委员会制定并发布国家医疗质量安全改进目标,均把“提高静脉血栓栓塞症规范预防率”作为目标之一。
为积极响应国家政策,2023年上海蓝十字脑科医院正式成立了深静脉血栓栓塞症防治管理委员会,科室深静脉血栓栓塞症防治管理小组,院内深静脉血栓栓塞症临床救治专家组,进一步健全静脉血栓栓塞症防治体系。通过静脉血栓栓塞症防治体系,对每位门诊及住院患者进行常规而全面的静脉血栓栓塞症风险评估,及时筛选出高危患者,及时预防、治疗,守护患者健康。

▲ 席刚明教授、王贵平博士团队在为患者手术
近日,在VTE评估筛查中及时发现一位下肢深静脉血栓形成患者,经过详细评估后,医院深静脉血栓栓塞症临床救治专家组组长、神经内科4A病区主任席刚明教授带领团队及时行下腔静脉滤器置入术+下肢深静脉血栓抽吸术+导管接触性溶栓,为患者撑起“生命保护伞”,并顺利开通下肢静脉血管。
患者为一名年轻男子,因车祸被收入神经外科重症监护病房。入院时呈中度昏迷状,四肢无自主活动,不能配合体检,并伴有左侧下肢肿胀,行床旁四肢血管彩超诊断为下肢深静脉血栓形成(混合型)。遂邀请席刚明教授团队会诊。
席刚明教授、神经内科4A病区副主任王贵平博士分析指出,深静脉血栓多发于下肢,且一旦血栓栓子脱落,可随着血流进入右心房,再通过右心室泵入肺动脉,继而栓塞于肺动脉的不同部位,形成肺栓塞(PE),严重者可危及生命。患者血栓形成时间长,抗凝效果不佳,经全面考虑,决定实施介入治疗,与家属沟通并同意手术后,制订了详细的手术方案。
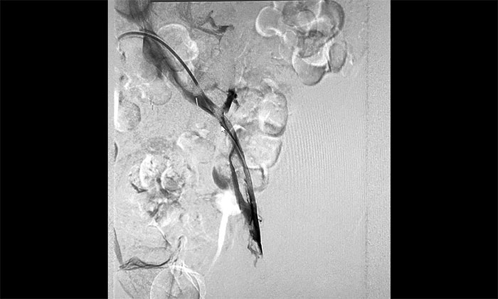
12月15日,席刚明教授在王贵平博士及介入团队协助下顺利行将一个形似伞状的人工滤器经患者右侧股静脉穿刺迅速置入肾静脉下方,“网”住了通往心血管和肺部的致命栓子,阻挡血液栓子进入肺动脉,及时挽救了患者生命。之后对病变血管进行了血栓抽吸术,及接触性溶栓,抽出了大量血栓,复查下肢造影示血栓基本消失,下肢静脉血管再通,整个手术顺利完成。术后,患者下肢肿胀好转。

▲ 下腔静脉滤器顺利置入

▲ 下肢深静脉血栓形式

▲ 下肢静脉血管顺利再通
席刚明教授指出,下肢深静脉血栓形成是一种比较常见的周围血管疾病,并呈逐年增高的趋势。下肢深静脉血栓是人体血液在下肢深静脉内发生异常凝固而形成血栓,这种情况通常会引起下肢肿胀、疼痛等症状,位于深静脉内的血栓如果脱落就会发生肺栓塞,患者在未安装过滤器的情况下接受手术或者溶栓治疗,容易出现栓子脱落发生肺栓塞,严重时可能导致患者猝死,临床治疗风险较大。
下腔静脉滤器置入是为了预防下腔静脉系统栓子脱落引起肺栓塞而设计的一种装置,分为永久性和可回收两种。可回收滤器可经健侧股静脉、亦可经颈内静脉置入。该手术通过滤器输送器,将滤器在X线透视下送入,确定位置无误后,后撤输送器直至滤器弹开、释放。
下腔静脉滤器置入术创伤小,可回收性好,既能截获栓子,又能保持下腔静脉的通畅不影响静脉回流。有效防止了肺栓塞的发生,并大大的降低了并发症的发生,被誉为“生命的保护伞”,为长期卧床患者因深静脉血栓导致的肺栓塞带来新的解决方案。置入下腔静脉滤器可使肺栓塞发生率从60%-70%下降为0.9%-5%,该项技术为下一步手术取栓、药物溶栓提供了强有力的支持,使深静脉血栓得到更有效的治疗。
席刚明教授提醒,即便置入了下腔静脉滤器,仍需要行正规抗凝治疗,既减少血栓形成,又降低深静脉血栓脱落的机会。
此文章仅作为临床学术研究、学术交流使用!
上一篇:血压居高不下竟是肾动脉狭窄“惹祸” 医院成功开展肾动脉狭窄支架置入手术 下一篇:警惕!老年人头部磕碰后可能出现慢性硬膜下血肿,上海蓝十字脑科医院微创介入新方法巧解病痛
4月10日,上海市医疗保障局基金监管处处长朱畅、行政执法处领导...【详细】


