“霜降”之后,早晚气温逐渐转凉,十几摄氏度的温差导致各类疾病的高发,其中不乏许多“面瘫”患者。生活中,很多患者会将“面瘫”和“面肌痉挛”混为一谈,但这其实是两种截然不同的疾病。
上海蓝十字脑科医院【同济大学附属上海蓝十字脑科医院(筹)】神经外科特需专家杨忠旭博士指出,“面瘫”是指面神经功能障碍导致其支配面部肌肉动力不足(瘫痪了),而“面肌痉挛”是指面神经过度兴奋导致其支配的面部肌肉动力亢进(抽筋了),因而又称之为“面肌抽搐”或“半面抽搐”。由于“面瘫”和“面肌痉挛”的治疗方法完全不同,因此需要正确分辨出两者之间的差别,接受正确的治疗。

▲ 杨忠旭博士在为患者手术
大叔面部抽搐,误以为是面瘫
《南方农村报》旗下“点点医讯”2022年5月14日报道,湖南高大叔(化名)从两年前开始出现眼睛抽,后来嘴巴也歪了,但没有流口水、闭不拢,也无眼睛合不拢、嘴巴漏气情况。在当地医院被诊断为面瘫,经过针灸治疗,无明显效果,并且症状加重。
后到上级医院进一步治疗。根据面诊观察及结合病史,医生诊断高大叔是原发性的面肌痉挛,而不是面瘫。医生表示,“有些地方接触面肌痉挛这个疾病较少,会误诊为面神经炎引起的面瘫,这种情况在临床也是不少见的。”
完善肌电图检查后,高大叔双侧的面神经功能是对称的,但左侧面神经侧方扩散阳性,更证实是原发性的面肌痉挛。明确诊断后,高大叔顺利接受了微血管减压手术。
面肌痉挛≠面瘫
面肌痉挛和面瘫都是面神经出现了问题,都会引起患者颜面部的症状,但是却是两种不同的疾病。
杨忠旭博士介绍,面肌痉挛是一种临床常见的缓慢进展的周围神经疾病,发病多见于40-60岁的中老年女性。面肌痉挛病因比较明确,大多数患者是由桥小脑角区血管压迫面神经根部引起,还有部分患者可能由肿瘤、炎症或面神经炎等引起。
面肌痉挛患者早期可能会有眼睑不自主的跳动,就是眼皮跳。随着时间的推移、病情的加重,会出现眼睑、面部肌肉,尤其是鼻翼、口角肌肉不自主的抽动。病情严重时,甚至会出现眼睛睁不开、嘴角歪斜,甚至无法说话。一般在劳累、紧张的时候加重,而在休息的时候缓解。这种情况常常呈现阵发性,中间可有休息缓解时期。
面瘫又叫“面神经麻痹”,好发于各种年龄段,一年四季都可发病。它的发病机理尚不明确,可能跟机体免疫力下降、病毒感染等有关。临床上接诊的面瘫患者,发病前大多有吹冷风、淋雨、受凉等诱因。面瘫一般表现为一侧额纹的消失、眼睑闭合不全、鼻唇沟的变浅,以及口角的歪斜。在吞咽的时候,可能会有食物留存于齿颊之间;在喝水的时候,出现口角漏水;在鼓起的时候出现漏气。
杨忠旭博士说:“面肌痉挛的发病时间比较长,病情迁延发展,逐渐加重;而面瘫是突然发病,急性发病。可能在一夜之间,休息起床之后,就出现症状。”

▲ 面肌痉挛和面瘫是两种不同的疾病
治疗方式不同
作为两种不同的疾病,面肌痉挛和面瘫治疗方式也大不相同。根据《面肌痉挛诊疗中国专家共识》,目前针对面肌痉挛的主要治疗措施包括:药物治疗、肉毒素注射治疗及神经显微血管减压术。
杨忠旭博士指出,大部分的面肌痉挛患者是由于血管交叉压迫,如小脑前下动脉、椎神经动脉、小脑后下动脉压迫、动静脉畸形等压迫面神经,从而使面神经传导异常,导致其所支配的肌肉发生阵发性的痉挛。所以在发病前期,采用药物、针灸治疗虽有效果,但往往容易复发。
要想规范治疗面肌痉挛疾病,须针对病因直击病灶,以达到根源性治疗的目的。目前临床上常用的为“微血管减压术”,也就是将所压迫的面神经血管分离,并解除其压迫的一种手术方式。只需在耳后做一个三到四公分的小切口,将血管和神经进行分离,不让责任血管压到神经。
《中国特发性面神经麻痹神经修复治疗临床指南(2022版)》指出,面瘫目前治疗方法有药物(脱水药、B族维生素、糖皮质激素、抗病毒药物等),针灸,理疗,面部康复训练等。
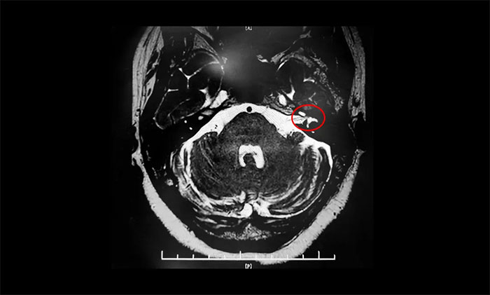
患者王阿姨左侧眼面部抽搐10余年,以眼部最为明显,偶有口角抽搐。起初,症状较轻,未引起重视,后病情加重才就医,经药物、针灸治疗,无明显效果。近两年来,症状持续加重,并影响睡眠。近日,王阿姨慕名求医上海蓝十字脑科医院。面神经MRTA检查,结果示:左侧面神经与周围小血管关系密切。确诊面肌痉挛,手术指征明确。最终,杨忠旭博士顺利为其行微血管减压手术。

▲ 左侧面神经与周围小血管关系密切
面肌痉挛患者要学会自律
杨忠旭博士提醒,面肌痉挛患者首先要保持良好的心态,学会自我调节,通过看电影、聊天、听音乐等方式来释放压力。
其次,还应注意做到以下几点:
1、面部免受风寒,冬春季注意防寒,夏季不要正对空调吹。
2、调节饮食,多吃蔬菜,如韭菜、春笋、芥菜、油菜等。多食含维生素B1、B的食品,少吃冷食冷饮,清淡饮食。
3、劳逸结合,加强锻炼,适当进行户外运动,保持足够的睡眠和休息时间,还要保持精神愉快闲适,避免情绪大幅波动。
4、禁烟限酒,禁食辛辣刺激食物,免得因为刺激引发或加重病情。
部分内容参考来源:澎湃新闻、扬州发布、杭州市卫生健康委员会等
版权声明:部分图片源自摄图网,如有版权纠纷,请及时联系医院。一经查实,将立即删除。
上一篇:帅小伙相亲总是“挤眉弄眼”遇尴尬,原来是因为这种面神经疾患! 下一篇:没有了
“闵行技术能手”荣誉的获得,不仅是对陈泥、陈婷婷、魏金星三人...【详细】


