很多人都有过“眼皮跳”这种生理现象。俗话说“左眼跳财,右眼跳灾”,这有科学根据吗?
“眼皮跳”的真相在这里
在我们的眼睛周围,分布着一圈肌肉,名叫“眼轮匝肌”。眼轮匝肌主要有两个功能:一个是闭眼,一个是让我们的表情更生动。想象一下,没有眼轮匝肌参与的笑容,是“皮笑肉不笑”,看起来很假。
我们面部的神经支配着整个面部以及眼皮肌肉的运动,因此如果当面部神经受到刺激时,就会引起其支配肌肉的抽动。控制眼轮匝肌的,是一条面神经。当这条面神经“闹情绪”时,眼轮匝肌就无法收放自如,甚至可能出现“胡蹦乱跳”。
单纯的眼皮跳动被称为眼睑震颤或眼睑痉挛。造成眼皮跳的原因很多,因植物神经紊乱、眼睑眼轮匝肌的纤维部分“失控”而导致的,可分为生理性和病理性两种。一般以前者为主,通常在用眼过度、压力过大、烟酒过度等情况下容易出现。
病理性的眼皮跳动可由眼睛屈光不正(近视、远视、散光等)、眼内异物、倒睫、结膜炎、角膜炎等导致,发作较频繁、持续时间较长、跳动幅度大。一旦眼睑震颤持续时间很长、病情呈进展式加重、并扩大到口角也有抽动的,则很有可能是由面肌痉挛引起的。
这样来看,眼皮跳“主吉凶”目前没有科学依据,民间说法是站不住脚的,我们还是要做到破除迷信,崇尚科学。
面肌痉挛祸害的不只是“颜值”
面肌痉挛(Facial Spasm,FS),主要以一侧面部肌肉阵发性的不自主的抽搐为特点,多局限于单侧,故又称为半侧面肌痉挛(HemiFacial Spasm,HFS),是一种临床常见的缓慢进展的周围神经疾病,发病多见于40-60岁的中老年女性。
面肌痉挛病因比较明确,大多数患者是由桥小脑角区血管压迫面神经根部引起,还有部分患者可能由肿瘤、炎症或面神经炎等引起。
从症状来看,面肌痉挛发病初期,多表现为眼轮匝肌间歇性抽搐,即“眼皮跳动”。随病情进展,可逐渐缓慢扩散至一侧面部的其他面肌抽搐。严重者可出现睁眼困难、口角歪斜以及耳内搏动样杂音。少数患者在病程晚期可伴有患侧面肌轻度瘫痪。
需要注意的是,面肌痉挛不仅严重影响患者的容貌,还会影响患者的正常生活和工作。长期被疾病困扰,会使患者心烦、焦虑,久而久之可能产生一系列心理障碍,影响到患者正常的社会交往及家庭和谐。患者若不及时接受治疗,面肌痉挛可伴随终身,病情还会慢慢加重。
显微外科手术为面神经“减压”
目前,面肌痉挛的治疗方法包括药物、中医针灸、肉毒素注射以及外科手术等。根据发表于《中国微侵袭神经外科杂志》(2014年11月20日第19卷第11期)的《面肌痉挛诊疗中国专家共识》,微血管减压手术是目前有望治疗好面肌痉挛的方法,也是目前国际上外科手术治疗面肌痉挛的首选方式。
近日,上海蓝十字脑科医院收治了一位年近六旬的女性面肌痉挛患者。该患者5年前无明显诱因突然出现右侧颞部及耳后肌肉紧绷感,伴右侧眼部、面部不自主阵挛性抽搐。抽搐无法自我控制,尚不影响睡眠。

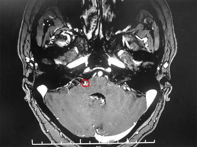
▲ 患者右侧面神经与周围小血管关系密切
入院后,经面神经MRTA平扫+增强检查显示,患者右侧面神经与周围小血管关系密切。在对患者病情及影像学资料进行评估,并告知患者及家属手术风险后,上海蓝十字脑科医院神经外科主任沈建康教授团队为患者实施了面神经微血管减压手术。

▲ 崔丽华主任为患者进行神经电生理监测

▲ 通过蔡司显微镜(双荧光),沈建康教授实施手术
术中,面肌肌电图检测到患者眼轮匝肌有自发性电活动。在显微镜下可见,患者的小脑前下动脉和小脑后下动脉与面神经接触密切。沈建康教授小心翼翼地将面神经与责任血管分离,并填入特殊材质的垫片。在神经电生理监测的“保驾护航”下,避免过重牵拉损伤患者的面神经。随着垫片成功填入,患者面肌肌电图的自发性电活动消失了。
沈建康教授指出,微血管减压手术治疗面肌痉挛的技术目前十分成熟,但在手术过程中,较大的难点就是避免损伤神经和血管,一不留神就可能导致面瘫、听力障碍甚至危及患者生命。因此,对医师的技巧和经验是极大的考验。通过成功的手术,在治疗患者疾病的同时,患者的面神经功能可以得到保留,无后遗症,预后效果良好。
上一篇:重拾自信: 他原来天灵盖上有个大洞,现用PEEK修复如前 下一篇:弘扬高尚师德 潜心立德树人 | 献礼第35个教师节
为更好地满足患者的就诊需求,2026年1月1日-3日元旦假期期间,我...【详细】


