垂体卒中是指垂体腺瘤突发出血性梗死,肿瘤内的压力突然增加,可以造成视神经的机械性受压及海绵窦内结构的受累,垂体卒中的血肿腔一般局限在肿瘤内,有时血液会进入蛛网膜下腔。伴有明显鞍上生长的肿瘤发生卒中,可能引发梗阻性脑积水。卒中会带来腺体结构的破坏,从而造成不同程度的垂体机能低下。典型的临床表现包括急性头痛、脑膜刺激征、视力障碍、眼肌麻痹以及意识状态的变化。
垂体腺瘤伴卒中 致头痛、视物模糊
今年49岁的吴先生(化名)半个月前突然无诱因出现阵发性头痛,并伴有视力模糊,起初他并未在意,但是连续2天没有好转引起他的警觉,一种不祥的预感涌上心头。原来四年前,他曾经患垂体瘤并做过经鼻蝶手术,当时医生告诉他手术很成功。“难道是肿瘤又复发了?”这让他惴惴不安。
犹豫之后,他怀着忐忑的心情去当地医院检查,头颅CT提示:鞍区占位,考虑垂体瘤复发,医生建议转上级医院治疗。随后,他慕名来到上海蓝十字脑科医院寻求进一步治疗。

▲ 头痛伴视物模糊查出脑肿瘤
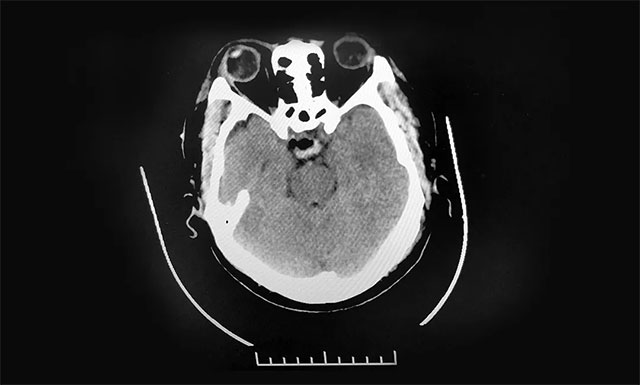
头颅鞍区MRI平扫+增强显示:鞍区见团块状异常信号影,大小约2.6*2.1*2.5cm。瘤灶向上突入鞍上池、第三脑室受压,鞍隔受压下塌,垂体上缘受压变扁。鞍底骨质略下陷,视交叉上抬、分界不清。

▲ 术前影像:垂体大腺瘤,向鞍上生长
潘仁龙主任、李士其教授、吴治群博士会诊后指出,根据患者影像学检查,考虑为垂体腺瘤伴卒中。脑垂体瘤腺瘤出血,压迫了视网膜及海绵窦内的动眼神经,导致动眼神经麻痹,视物重影。患者手术指征明确,应尽快手术。该患者颅内肿瘤向鞍上生长,只能通过开颅手术切除。李士其教授决定行经眉弓眶上锁孔手术切除垂体瘤。
鞍区病变通常采用经鼻蝶、经额下、和经翼点等入路进行手术。但是上述入路均有优缺点,如经额下入路开颅损伤较大,不必要的脑暴露和脑牵拉过多,出血量大,易损伤嗅神经,病人术后反应重;经蝶入路手术采用微创技术解决了以上问题,但对于蝶窦发育不良、肿瘤呈哑铃状向鞍旁、向中颅窝或向鞍后、鞍上生长的病例,术中处理很困难。
CT、MRI、DSA等影像学的发展,为颅内结构提供了精准的解剖关系,使神经外科“锁孔”手术在现代科技的条件下得以应运而生。它继承了微创手术的理念,很好的将骨瓣开颅和微创技术有机的结合,通过精准的术前定位,应用有效的操作空间,以最小的手术创伤来取得较佳的手术效果。
李士其教授行经眉弓眶上锁孔手术切除垂体瘤
锁孔技术是利用锁孔一样大小的骨窗来代替大切口、大骨窗,进行颅内的病变切除,能根据病灶特点,准确设计开颅部位和范围,充分利用脑组织自然间隙,使手术路径最短并精准到达病灶处,具有手术时间短、创伤小、减少住院时间等优点。同时,由于手术切口设计常常在眉弓、发髻内,手术切口短而隐蔽,很大程度满足患者需求、减轻患者的心理压力及符合美观要求,提高患者的生活质量。

▲ 李士其教授正在为患者手术
11月8日,在充分准备并征得家属同意后,李士其教授在吴治群博士、黄秀夫医生协助下顺利为患者行经眉弓眶上锁孔手术切除了垂体瘤。
术中,显微镜下切开肿物,见其呈囊性,其内有淡黄色及暗红色液体,李士其教授在充分保护周围双侧视神经、颈内动脉等前提下,逐步游离并将肿物顺利切除。
术后,患者头痛、视物重影症状已消失,视力明显改善,目前正在康复中。

▲ 术后影像显示肿瘤被切除
头痛呕吐伴视力障碍、眼肌麻痹等要警惕垂体卒中
视物模糊、看东西重影……出现这些视力问题时,除了眼睛问题很多人会想到是不是脑卒中(中风)。由于中枢神经系统和视觉功能关系密切,很多脑卒中患者都会有不同类型和程度的视觉症状。如短暂性单眼视力丧失、视野缺损或眼球运动障碍等。其实除了中风,垂体卒中也会导致一系列视力问题,需要警惕。
垂体腺瘤卒中是因垂体腺瘤突然出血或梗死而导致头痛、视力下降、眼肌麻痹和意识状态改变以及垂体激素分泌不足的一种相对罕见的临床综合征。其临床表现各异,与其他颅内疾病相似,诊断较为困难,临床上容易误诊,如果延误治疗,患者将有可能出现生命危险。
垂体腺瘤出现垂体卒中的比例为1%-2%,但症状不明显的亚临床出血约占所有垂体瘤的10%左右。不少垂体卒中患者缺乏原有垂体腺瘤的症状,因此遇到原因不明的突发颅压增高,尤其伴视力障碍、眼肌麻痹等压迫症状者,应警惕垂体卒中。
垂体腺瘤卒中的临床表现可因肿瘤的扩展方向、出血速度、出血量、压迫周围神经的程度及垂体破坏多少,不同类型有不同表现,典型的临床症状有下述几个方面:
肿瘤扩大产生的压迫症状:
鞍内压力增高,引起剧烈头痛、呕吐;视神经、视交叉及视束受压,致视力急剧减退及各种类型的视野缺损;海绵窦受压引起动眼神经麻痹、滑车神经、三叉神经及外展神经损害症状;大脑中动脉、大脑前动脉受压可出现脑缺血症状;下丘脑受压则可有意识障碍、尿崩症或体温改变,严重者还可出现应激性溃疡。
脑膜刺激征:
瘤内容物或血液进入蛛网膜下腔引起发热、颈强直及其他脑膜刺激症状。
内分泌功能改变:
肿瘤内出血加重了对残留垂体组织的破坏使患者原有的垂体前叶功能减退表现进一步加重,严重时可引起垂体危象,出现意识障碍,甚至死亡。垂体后叶也常常受累出现一过性尿崩症或永久性尿崩。

▲ 体积较大、生长速度较快的垂体瘤易发生垂体卒中
体积较大、生长速度较快的垂体瘤易发生垂体卒中。肿瘤在生长过程中由于血管供应差或肿瘤血管的异常生长,在一定的诱因下,会出现肿瘤出血,瘤体组织的坏死。此外,溴隐亭治疗、抗凝治疗、糖尿病酮症酸中毒、头颅外伤、雌激素治疗、垂体放疗等也和垂体卒中有一定关系。
李士其教授指出,对于发生急性卒中的垂体腺瘤,应采取积极的治疗措施。尤其出现严重的视力减退、视野缺损以及意识障碍或症状持续加重时,应该首选手术并尽早手术。在临床观察中发现,急性垂体卒中后影响视觉功能恢复与视觉损害时间的长短、严重程度和视盘的改变有关。
上一篇:视觉异常误以为眼疾 神经外科李士其教授经鼻蝶入路微创手术巧取垂体瘤 下一篇:老伯头晕伴视物异常,原来是颅内鞍区巨大垂体瘤导致
为更好地满足患者的就诊需求,2026年1月1日-3日元旦假期期间,我...【详细】


