垂体腺瘤是颅内常见的良性肿瘤,根据肿瘤有无功能,可分为功能型和无功能型垂体腺瘤;根据肿瘤生长方式,可分为侵袭性垂体腺瘤和非侵袭性垂体腺瘤,部分侵袭性垂体腺瘤可向鞍旁侵袭海绵窦;对于这部分累及海绵窦的垂体腺瘤,可表现为内分泌异常的症状或肿瘤占位效应所引起的症状,其对海绵窦的侵袭累及重要血管及神经是影响手术全切及治疗效果的重要因素。海绵窦内存在静脉丛、颈内动脉及Ⅲ~Ⅵ对脑神经,侵袭海绵窦垂体腺瘤的手术治疗难度大、风险高是业内学者普遍认同的。
12月3日,上海蓝十字脑科医院神经外科6B病区李士其教授团队顺利为一位侵袭性垂体大腺瘤患者进行了手术,为其解除病痛。
短暂性脑缺血发作 意外发现垂体瘤
11月18日凌晨两点,59岁的宁波王阿姨在休息时突发左侧肢体麻木,左下肢无力,无法站立,左上肢可持物,持续约2分钟,休息后自行好转,无恶心、呕吐。早上五点,上述症状再次出现,并且伴有头晕,无视物模糊,无重影,持续约2分钟后自行缓解。王阿姨有高血压病史十多年,开始她以为是血压波动导致,但眼看症状加重,不敢耽搁,遂立即到当地市医院就诊。
不查不知道,一查吓一跳。查头颅CT:鞍区占位,考虑为垂体大腺瘤侵犯右侧海绵窦;双侧额叶、左侧顶叶缺血灶,考虑短暂性大脑缺血性发作。一听说大脑里长了肿瘤,这让一家人紧张不已,为了进一步确诊治疗,王阿姨在女儿陪伴下慕名来到上海蓝十字脑科医院,求医于神经外科6B病区李士其教授团队。
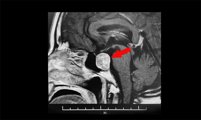
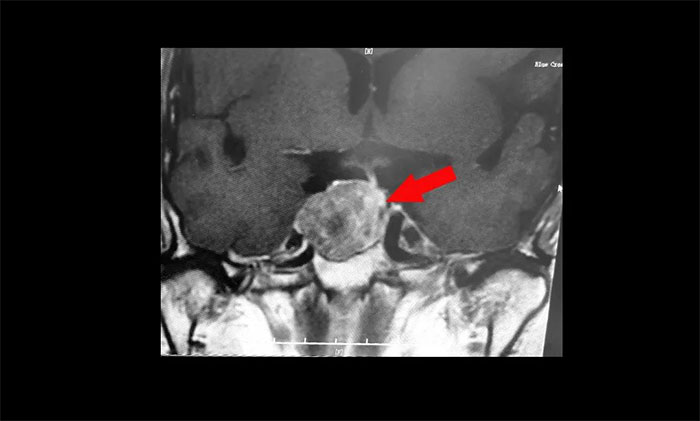
鞍区MRI平扫+增强显示:蝶鞍显著扩大,鞍区见肿块信号,大小约29*19*24mm;垂体柄明显缩短左偏;病变向鞍上生长,占据鞍上池,推移视交叉;向鞍旁生长,侵及右侧海绵窦,右侧海绵窦内颈内动脉被推压、包绕,右侧颈内动脉海绵窦段较对侧稍细。


▲ 肿瘤侵袭生长,包绕颈内动脉,knosp分级Ⅲ级
李士其教授、潘仁龙主任、黎军主任组成的专家组会诊后,考虑为侵袭性垂体大腺瘤(无功能型),肿瘤并不具有内分泌功能,但由于瘤体较大,已经压迫视神经,丘脑垂体,如果不手术,任其发展将可导致患者视力下降、视野缺损,甚至失明。专家组指出,患者手术指征明显,应及早手术。
李士其教授团队迎难而上 顺利切除侵袭性垂体大腺瘤
针对该患者,治疗方式就是手术切除肿瘤,减除肿瘤压迫。目前手术方式,主要有开颅手术切除肿瘤和经单鼻孔-蝶窦入路切除肿瘤。而该患者肿瘤如鸽子蛋大小,属于垂体大腺瘤,并且侵袭生长,侵及右侧海绵窦,右侧海绵窦内颈内动脉被推压、包绕,knosp分级Ⅲ级,向上已突破鞍隔压迫视神经、视交叉、下丘脑;向下侵蚀充满蝶窦。
开颅手术不但切口大、创伤重,而且由于肿瘤解剖位置非常深,在探查、分离、切除肿瘤的过程中,非常容易损伤周围重要的神经、血管组织,术后可能增加相关并发症,同时因肿瘤较大,也不易被完全切除。
而经单鼻孔入路的手术方式虽然微创,但实际可操作空间非常有限,因肿瘤较大且周围的血管、神经、骨质侵袭浸润,同样非常不利于肿瘤的完全切除。另外,由于垂体是人体的内分泌中枢,术后容易出现尿崩症、垂体相关激素水平低下等并发症。手术难度不言而喻。

▲ 李士其教授正在为患者手术
在征得家属同意后,李士其教授综合利弊分析,为患者选择“经单鼻孔-蝶窦入路切除垂体大腺瘤”的术式,即经右鼻孔入路切除该肿瘤。在制定详细手术方案并充分完善术前准备后,12月3日,李士其教授在黄秀夫医生、韩家付医生及医护团队协助下顺利为患者进行了手术。术中,在蔡司显微镜(双荧光)下,见灰白色肿物,质韧,血供丰富,其外有包膜包裹。李士其教授在充分保护好海绵窦、颈内动脉、视神经等结构前提下,在错综复杂的神经血管狭窄间隙中,逐步分块切除肿物,仔细刮除肿瘤,将鞍内可见肿瘤顺利切除,并留取肿瘤送检病理。
术后,患者无新发功能缺损,目前已康复出院。李士其教授叮嘱王阿姨,出院后要坚持定期复查。
李士其教授介绍,无功能性垂体瘤比较单纯,它不分泌激素,只是闷声长大,最后通过挤压周围的组织来刷存在感。比如压迫垂体,影响激素分泌减少,少数孩子的矮小症和这个有关,所以查出生长激素缺乏的孩子,医生会建议排查垂体瘤。
无功能性垂体瘤最常见的并发症是压迫视神经,临床上患者大多是五六十岁的中老年人,出现类似于老花眼、青光眼、白内障的症状。这种情况容易误诊、漏诊,患者到眼科做了一些了不必要的治疗,症状却没有改善。李士其教授提醒,如果出现莫名的头痛、头晕或视力短期内急剧下降,应及时就医,行鞍区头颅磁共振检查。
垂体瘤特色专病门诊
共创垂体瘤MDT新时代

垂体瘤通常发生于青壮年时期,常常会影响患者的生长发育、生育功能、学习和工作能力。垂体瘤涉及全身多个系统,表现多样,这些占位性病变的病因复杂,预后迥异。首诊的科室也会相对分散,最常见的就诊科室为内分泌科、神经外科、妇科、眼科、皮肤科、骨科、男科以及皮肤科等。
在一些基层医院,由于缺乏垂体瘤综合治疗的中心,患者往往辗转多个科室,得不到正确的诊断和治疗,以致耽误了病情,贻误了治疗,造成物质上和精神上的巨大浪费。
本着“以患者为中心”的JCI理念,上海蓝十字脑科医院以多学科联合诊疗(MDT)为依托,成立了垂体瘤特色专病门诊。由神经外科牵头,联合神经内科、影像科、检验科、放疗科等相关科室,并汇聚李士其教授、顾国山教授、周范民教授、潘仁龙教授、黎军主任等一大批知名专家,通过联合会诊、综合分析、定制治疗方案,为垂体瘤患者提供便捷式、规范化和个体化的诊疗服务,切实提高临床效果。

4月10日,上海市医疗保障局基金监管处处长朱畅、行政执法处领导...【详细】


