浙江女生小雯今年24岁,即将步入婚姻殿堂的她,既开心又烦恼,还有一丝害怕。因为有一件“烦心事”——生理期异常,已困扰了她5年多。她越来越担心这件“烦心事”会影响到婚后的幸福。
5年来,小雯饱受折磨,跑了一家又一家妇科医院、一个又一个医院妇科,吃了数不清的中药、西药,虽然最终锁定了罪魁祸首——垂体瘤,但保守治疗下,依然没有任何改善。幸好她遇见了李士其教授,经过妥善的手术治疗,终于彻底甩掉了这个“烦心事”。
上海蓝十字脑科医院神经外科专家李士其教授提醒:青年女性出现不明原因的闭经、泌乳等异常现象,在进行常规妇科检查的同时,应及时进行性激素测定及颅脑影像检查,以排除垂体瘤的可能。
被泌乳素垂体瘤搅乱的生理期

▲ 生理期异常要警惕垂体瘤
五年前,小雯开始出现月经减量,有时候甚至直接没有的情况,而且周期也没有规律。一个青涩的小姑娘,遇到这种情况心理上肯定是紧张的。跑到妇科医院做完检查,开始服药调理,可就是不见效果。继续换医院,继续换药调理,还是继续没有效果。
到了一年前,直接停经了,心理上就更紧张了,毕竟“芝麻刚开花”,怎么就进“更年期”了。再次前往医院,检查女性激素发现——泌乳素指标异常,高于正常水平。接着又做了头颅磁共振,发现鞍区占位,考虑为垂体瘤。
当时,医生建议保守治疗,口服溴隐亭。从一次半片、一天三次,逐渐调整到一次一片、一天四次,一点好转的迹象都没有。如果不是男友的鼓励,小雯几乎已经丧失了希望。
为寻求进一步治疗,不让婚姻留下遗憾,在男友陪伴下,小雯慕名来到上海蓝十字脑科医院,求医于神经外科李士其教授。

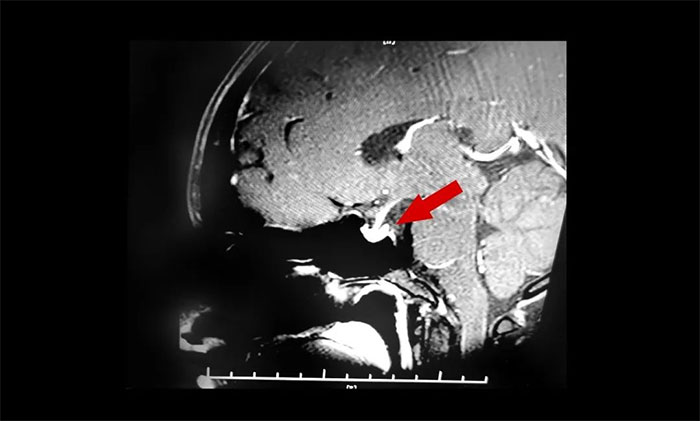
▲ 垂体腺瘤超蝶鞍生长

▲ 检查催乳素超3000μIU/mL
入院时查体,鞍区MRI平扫+增强显示:蝶鞍稍扩大,鞍底骨质下陷;垂体前叶右侧见一矢横高径约1×1×1cm异常信号灶。检查催乳素超3000μIU/mL,远超正常值。
结合患者以往影像资料和内分泌科检查结果,李士其教授、潘仁龙主任会诊后一致达成共识:泌乳素垂体瘤。
经鼻蝶入路手术 切除体内激素紊乱祸首
李士其教授介绍,这种类型的垂体瘤会分泌过多的泌乳素,造成女性月经周期不规律,甚至闭经,以及非哺乳期的异常乳汁分泌等,而男性患者最常出现性欲减退与性功能障碍。
“瘤体小可以采取口服溴隐亭治疗,但是目前瘤体比较大,且有压迫视神经的趋势,建议尽快采取手术治疗。”李士其教授分析道。首先要切除瘤体,这一步成功后,体内激素水平就能恢复正常,激素水平正常了,生理期也就能恢复如常。
经过认真研究和论证,李士其教授团队为小雯制定了一系列治疗方案。7月25日,在告知手术风险,并征得家属同意后,李士其教授在潘仁龙主任、黄秀夫医生协助下,采用“单鼻孔经蝶窦入路”顺利为小雯施行了垂体瘤切除术。

▲ 李士其教授正在为患者手术
术后结合补充激素的治疗,同时监测各项生化指标,随时调整用药、用量。不到一周,小雯的催乳素指标就开始恢复正常,月经异常、停经现象也逐渐好转。目前已经顺利康复出院,奔向幸福美满的婚姻生活。
体内激素水平激增 要警惕垂体腺瘤
长期困扰小雯的泌乳素垂体瘤,就是一种较为常见的垂体腺瘤。
李士其教授解释道,花生米大小的脑垂体,位于丘脑下部的腹侧,素有“内分泌之王”之称。能分泌多种激素,如生长激素、促性腺素、泌乳素、促肾上腺皮质激素、甲状腺激素等,这些激素对代谢、生长、发育和生殖等有重要作用。
一旦检查发现体内激素水平出现剧烈波动,就应引起高度重视,以防垂体腺瘤发生的可能。常见的垂体腺瘤有:
1、泌乳素分泌型垂体瘤
多数为女性患者,主要表现为闭经、泌乳、不育;男性患者主要表现为男性性功能低下,如性欲下降、阳痿或不育。
2、生长激素分泌型垂体瘤
儿童期生长激素型垂体瘤患者,可因过量的生长激素导致身材异常高大,即为巨人症。成年期的患主要表现为前额隆起、鼻翼宽平、下颌突出、口唇及舌头肥厚、夜间打鼾、牙缝增宽、手足增大、鞋码增大等“肢端肥大症”表现。
3、促肾上腺皮质激素分泌型垂体瘤
该类垂体瘤多见于青年女性,主要表现为向心性肥胖(头面颈部肥胖而四肢相对较为瘦小)、满月脸(脸部潮红变圆)、痤疮、水牛背(颈背部有肥厚脂肪堆积)、多毛、紫纹(身上紫红色的皮纹)等。
4、促甲状腺激素分泌型垂体瘤
该类垂体瘤比较罕见,主要表现为高代谢的症状怕热、多汗、体重下降、心慌房颤等症状。
另外,因垂体腺瘤症状无特异性,往往首诊于眼科、妇科等相关科室,极易被误诊。如首要就诊方案无效,一定要引起足够重视,可选择前往神经内、外科再次明确诊断。
版权声明:部分图片源自摄图网,如有版权纠纷,请及时联系医院。一经查实,将立即删除。
此文章仅作为临床学术研究、学术交流使用!
上一篇:脑出血昏迷赴沪千里求医 多学科联合诊疗下成功苏醒 下一篇:三叉神经痛日益年轻化 切勿错当牙痛医
4月10日,上海市医疗保障局基金监管处处长朱畅、行政执法处领导...【详细】


