鼻翼增大、颧骨突出、手脚肥大、嘴唇肥厚……本来五官端正的人越变越丑,甚至是改头换面,这是怎么回事?
上海蓝十字脑科医院神经外科专家李士其教授提醒,一般来说,成年人的面容正常情况下并不会发生巨大变化。如果出现上面这些有独特特征的面容改变,很可能是由于颅内出现了生长激素型垂体瘤。
专家提醒:相貌变得五大三粗,警惕垂体瘤,应及早诊疗
垂体位于大脑底部的中央位置,约重0.6克,虽然只有豌豆一般大小,但其拥有强大的内分泌功能,可分泌生长激素等在内的多种激素,人体的各种生命活动大多离不开它。由于外界刺激、遗传等各种各样的因素,垂体上长出肿瘤,称之为垂体瘤。垂体瘤一旦出现,人体的腺体、器官功能也就跟着乱了套。
根据分泌激素的不同,垂体瘤可以分为激素分泌性垂体瘤和无功能腺瘤。而根据激素分泌种类的不同,激素分泌性垂体瘤又可以分为泌乳素型垂体瘤、生长激素型垂体瘤、促肾上腺皮质激素型垂体瘤等等。

生长激素型垂体瘤分泌过多的生长激素,导致四肢、肌肉和内脏过度生长,而引起四肢及外貌的改变。约占垂体瘤的20%—23%,是一种比较少见的垂体瘤类型,在青春期骨骺未融合前表现为“巨人症”,成人则表现为远端肢体肥大,影响患者容貌又危害健康。生长激素型垂体瘤多发展缓慢,症状隐匿,不容易引起注意,且该病在人群中总体发病率低,相对少见,该病早期容易漏诊。
生长激素型垂体瘤之所以会引起患者远端肢体肥大和外貌的改变,主要是因为来自垂体细胞的原发缺陷。肢端肥大症患者对促甲状腺激素释放激素(TRH)兴奋或促性腺激素释放激素(GHRH),刺激有异常的生长激素(GH)升高反应。生长激素分泌瘤无论在体内还是在体外,对GHRH的反复刺激能持续分泌生长激素,使得生长激素腺瘤细胞失去了正常的自稳机制,腺瘤细胞受体及受体后功能异常,从而导致患者远端肢体肥大和外貌的很大改变。
生长激素型垂体瘤导致的远端肢体肥大患者,不仅会手脚、鼻子、嘴唇变大、头颅及面容宽大、颧骨高,还会出现声音嘶哑、睡眠打鼾等情况,患者舌头和咽喉软组织也会随之变得肥厚,尤其是晚上睡觉时,很容易引起呼吸问题。此外,还会出现高血压,糖尿病,内脏肥大,如心脏肥大,少数可发展为心力衰竭,血管壁增厚,血压增高,其他脏器也多有肥大。可以说,生长激素型垂体瘤真正损害的不是在面容的损害,而是在我们内脏器官的一些损害。因此对于垂体瘤患者,一定要早发现早治疗,否则不仅会影响患者的外貌,严重时可能还会危及患者的生命。

▲ 生长激素型垂体瘤不仅影响容貌还危害健康
七旬老伯从中年开始“改头换面” 没想到患了垂体瘤
今年73岁的江西人张老伯从中年时候就逐渐出现面容改变等情况,五官、四肢变得肥大,但当时家人都以为他人到中年发福,也没多留意。并且一直也没出现其他身体不适症状,所以一直未到医院检查治疗。家属回忆称:“他鞋子有45码-46码那么大,要买球鞋或者特大的皮鞋,只能选最大码的。”
但是张老伯从十年前患上糖尿病,一直在吃药。直到今年3月底在当地医院治疗糖尿病时,检查发现鞍区占位,检查生长激素明显升高,考虑为垂体瘤。为求进一步治疗,家人陪张老伯到上海求医,之后转入上海蓝十字脑科医院。
上海蓝十字脑科医院神经外科6B病区主任潘仁龙介绍:“在入院的时候,我们观看他的面容、身材以及手指,口鼻唇的外观,就是一个生长激素型垂体瘤,因为这类的病人十分有特点,他的额骨,头骨以及四肢有明显的变粗变大、皮肤粗糙、鼻子隆起、口唇变厚舌头变大、发音有障碍。”

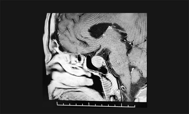
▲ 影像检查显示:垂体大腺瘤,超蝶鞍生长
鞍区MRI增强提示:蝶鞍显著扩大,鞍区(偏左侧)见一实性肿块影,超蝶鞍生长,左侧肿块矢橫高径约1.8*1.5*1.8cm。病变向鞍上生长,突入鞍上池,轻度推移视神经左侧份。鞍底受压变薄下陷,左侧鞍旁海绵窦受侵、外移,血管(颈内A)包绕约1/3以上。
结合病史、影像等,神经外科6B病区潘仁龙主任、李士其教授、吴治群博士会诊后考虑为生长激素垂体腺瘤,正是垂体瘤导致张老伯面容改变、肢端粗大等。手术指征明确,应尽快手术治疗。
在制定详细手术方案并充分完善术前准备后,5月11日,李士其教授在吴治群博士、黄秀夫医生协助下经蝶窦入路成功为患者进行了手术,将肿瘤切除。

▲ 李士其教授正在为患者手术
有这些症状要小心生长激素型垂体瘤
生长激素型垂体瘤还有哪些表现呢?李士其教授提醒,除出现前额突出,下颌突出、口唇肥厚等典型肢端肥大面容,生长激素型垂体瘤还可以引起以下表现:头痛伴视力下降、甚至失明,肿瘤增大引起脑积水,可导致昏迷、死亡;骨关节疼痛,易被误诊为风湿性关节炎等;继发糖尿病(垂体瘤释放过多生长激素导致血糖升高),容易被按一般原发性糖尿病治疗;睡觉打鼾,出现睡眠呼吸暂停综合症,可致猝死;心脏肥大,心功能衰竭,可致猝死。
李士其教授建议,糖尿病患者可考虑常规检查生长激素,排除生长激素型垂体瘤继发的糖尿病。如出现不明原因关节疼痛、打鼾明显,或成年后鞋码逐渐变大的情况,可至神经外科门诊抽血化验生长激素,明确是否是由于生长激素型垂体瘤导致。
上一篇:神经外科李士其教授提醒:青年女性生理期异常或是垂体瘤作祟 下一篇:莫名头痛、头晕或视力短期内急剧下降,神经外科李士其教授提醒应警惕垂体瘤
为更好地满足患者的就诊需求,2026年1月1日-3日元旦假期期间,我...【详细】


