近期,上海蓝十字脑科医院因及时有效诊治一位静脉窦血栓患者,收到其致谢锦旗。
据了解,该患者因突发头痛头晕,辗转多家医院,治疗未果。医院神经重症监护8A病区张庆成主任仔细分析患者病情后,立即为其安排行磁共振检查。综合影像和患者症状,以及进一步行DSA检查。最终,该患者确诊为脑静脉窦血栓,合并蛛网膜下腔出血。

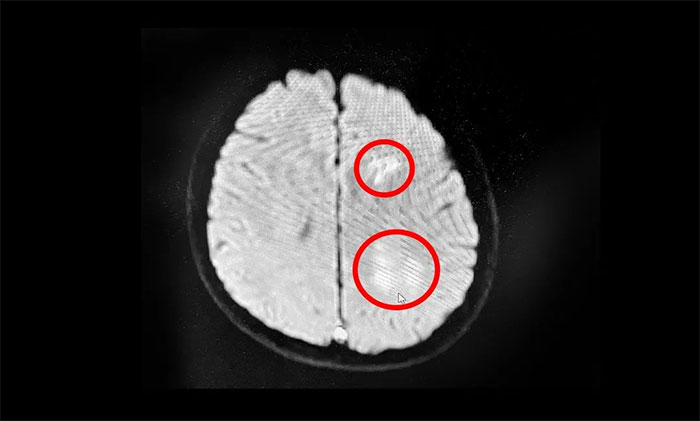
▲MR提示:左侧额顶叶多发(静脉性)脑梗塞
静脉窦是颅内的静脉系统,由海绵窦、上矢状窦、下矢状窦、直窦、横窦和乙状窦等组成。颅内静脉窦血栓患者往往存在静脉窦先天发育不良,后天致病因素包括中耳炎,妊娠,颅内感染,口服避孕药、激素类药物诱发等。脑静脉窦血栓常表现为不明原因的头痛、呕吐、偏瘫等。
虽然患者疾病确诊了,但是治疗上十分棘手,一边要抗凝一边要控制出血。张庆成主任通过反复分析病情,依据患者病情及颅内静脉窦血栓治疗指南,制定了个体化治疗方案。经过精心治疗,患者病情逐渐好转,头痛、头晕症状消失,视物不清逐渐好转,肢体活动正常,无神经功能障碍。

▲ 为表示感谢,患者送来锦旗
为表示感谢,患者特地制作了一面锦旗送到张庆成主任团队手上。张庆成主任感慨道:“收到患者的感谢,对于我们来说,既是一种肯定和鼓励,也是一种鞭策和希望,我们将继续用真心、爱心、细心和耐心,为更多患者解除疾苦,为患者的健康保驾护航!”
公开资料显示,脑静脉窦血栓的发病率虽然只占脑卒中的0.5%~1%,但重症患者死亡率却很高,一般脑血管病患者以中老年人居多,但脑静脉窦血栓却“偏爱”年轻人,患者绝大部分都是50岁以下,尤其以20~35岁长期口服避孕药或妊娠女性多见。
静脉窦血栓,很容易漏诊、误诊。一旦怀疑患者患有脑静脉窦血栓,则应当进行静脉造影检查,全脑血管造影是诊断的金标准。
上一篇:服务有温度 细节暖人心——七旬患者书信致谢医院这两个科室 下一篇:优质服务|锦旗背后的故事,为神经内科4A病区点赞
4月10日,上海市医疗保障局基金监管处处长朱畅、行政执法处领导...【详细】


