颈动脉是一个血液流向大脑的通道,对大脑正常功能的维护有着重要意义。因各种原因造成该通道内部管径变小时,就被称作颈动脉狭窄。在引发卒中的危险因素中,颈动脉狭窄最不容忽视。临床统计显示,60%以上的缺血性卒中由颈动脉狭窄造成,可导致患者残疾甚至死亡。
颈动脉狭窄——导致脑卒中的高危因素
随着年龄的增长,颈动脉出现狭窄的几率会越来越高,患有高血压、高脂血症、高血糖、高血脂以及吸烟人群,动脉粥样硬化是颈动脉狭窄的主要病因,约占90%以上。其他的疾病,如夹层动脉瘤、纤维肌发育不良、动脉炎等也可以导致颈动脉狭窄。目前,中国有1/3的成人存在着颈动脉粥样硬化斑块。而在70~89岁人群之中,存在颈动脉斑块的人更是高达63%。
上海蓝十字脑科医院【同济大学附属上海蓝十字脑科医院(筹)】学术副院长、4A脑血管病一科主任席刚明教授介绍,颈动脉狭窄患者在早期大多无症状,偶尔有突然出现的头晕、头痛、四肢麻木,一过性的黑懵等。后期可有缺血性脑卒中相关症状:记忆力减退、肢体感觉障碍、偏瘫、失语、脑神经损伤、昏迷等。根据有无临床表现可分为无症状性和有症状性:
无症状性颈动脉狭窄:既往6个月内无短暂性脑缺血发作(TIA)、卒中或其他相关神经症状,只有头晕或轻度头痛的临床表现。
有症状性颈动脉狭窄:既往6个月内有TIA、一过性黑矇、轻度或非致残性卒中等临床症状中一项或多项。
根据血管狭窄程度可分为以下4级别:
①轻度狭窄:<50%;
②中度狭窄:50%~69%;
③重度狭窄:70%~99%;
④完全闭塞:闭塞前状态测量狭窄度>99%。
席刚明教授指出,颈动脉狭窄程度在中、重度的无症状患者,每年发生脑卒中风险为1.0~3.4%。重度颈动脉狭窄患者,即便采用有效的药物治疗控制,2年内脑缺血事件发生率也会高达26%以上。因此,对狭窄小于50%的患者,药物治疗。对于颈动脉狭窄>70%或伴有症状的颈动脉狭窄>50%的患者应尽早地手术。对于存在血流动力学障碍及药物治疗无效的患者来说,血管内介入治疗颈动脉狭窄是目前主要的治疗方式。

▲ 动脉粥样硬化是颈动脉狭窄的主要病因
复杂颈动脉狭窄,病情棘手
近日,4A脑血管病一科主任席刚明教授、4A脑血管病一科副主任王贵平博士顺利为一位多处颈动脉重度狭窄、闭塞、串联病变患者,分期实施了介入手术。
患者为老年男性,因言语不利,伴右侧肢体活动不利入院。外院行头颅CT检查:双侧脑室旁及基底节区腔隙灶。入院后,头颅MRI平扫+DWI+MRA提示,脑干、双侧小脑及双侧大脑半球多发腔梗、缺血灶;MRA:脑动脉硬化,左侧颈内动脉不完全闭塞,右侧颈内动脉C3-C6段、右侧大脑中动脉M2段多发狭窄。“主动脉弓+全脑动脉造影”提示:右颈内动脉起始段重度狭窄,左颈内动脉起始段重度狭窄,串联左颈内动脉岩骨段中度狭窄,左颈内动脉眼动脉段闭塞。

▲ 右颈内动脉起始段重度狭窄


▲ 左颈内动脉起始段重度狭窄,并串联多处狭窄、闭塞
双侧颈内动脉起始段狭窄90%,并且左侧颈动脉属于串联病变。根据患者临床症状及造影结果,席刚明教授、王贵平博士考虑患者双侧大脑半球血流明显灌注不足,属于卒中高危病人,如不开通颈内动脉,反复脑梗死风险极高。但是,如果同时处理两侧颈动脉发生高灌注综合症风险高。
而颈动脉串联狭窄,定义为累及颈内动脉和同侧颈总动脉或头臂干的多节段动脉粥样硬化性狭窄,且狭窄程度>50%。此种情况极少发生,在所有需干预的颈动脉狭窄患者中,其比例<5%。该类手术难度较单处狭窄病变明显增加,术中每一处的问题处理不好,对病人都是致命的。
席刚明教授、王贵平博士针对患者病情进行综合研判,决定采取分期手术方式,有利于颈动脉闭塞远端血管逐渐恢复,相应颅内血流也逐步开放,降低手术并发症风险,从根本上解除患者因颈内动脉重度狭窄引起的脑缺血症状,预防缺血性脑卒中的发生和复发。

▲ 席刚明教授、王贵平博士在为患者手术
迎难而上,顺利打通血管
排除手术禁忌,充分完善手术预案并获得家属同意后,9月4日,席刚明教授、王贵平博士顺利为患者进行了脑保护伞下右侧颈动脉支架置入手术,经皮右侧颈动脉球囊扩张成形术。
术后一个月,经过综合治疗,患者病情稳定。10月11日,再次行经皮左侧颈动脉慢性闭塞开通术,脑保护伞下左侧颈动脉支架置入手术,经皮左侧颈动脉球囊扩张成形术。术中造影显示,左颈内动脉起始段多发重度狭窄,左颈内动脉前向血流慢,左颈内动脉岩骨段中度狭窄,左颈内动脉眼动脉段、后交通段多发重度狭窄伴次全闭塞。
对于长节段颈动脉慢性闭塞再通,血栓逃逸是一个很重要的问题。由于患者左侧颈内动脉多处串联病变,闭塞段血栓负荷量大,保护伞无合适着陆位置,手术风险极大,难度极高。
术中,席刚明教授、王贵平博士采用COSIS技术,在保护伞无法到位的情况下,利用Syphonet®取栓支架作为颅内的远端保护装置,减少栓子逃逸,同时利用Syphonet®取栓支架的输送导丝完成微导管交换、球囊扩张、支架置入等操作,减少器械交换,降低并发症的发生。
经微导丝成功进入狭窄、闭塞颈内动脉,在支架保护下,进行球囊逐段扩张,支架置入……,经多次球囊扩张,置入支架后,造影显示左颈内动脉起始段狭窄明显改善,左颈内动脉颅内段顺利再通,左颈内动脉眼动脉段、后交通段狭窄明显改善。造影及3D造影见左颈总动脉、左颈内动脉、左大脑中动脉显影可,行支架CT见颅内支架成形可,手术取得成功!
术后,患者生命体征平稳,无新发神经功能障碍。术后,患者言语不利、肢体活动不利等症状明显好转。

▲ 术后,右颈内动脉起始段狭窄明显改善


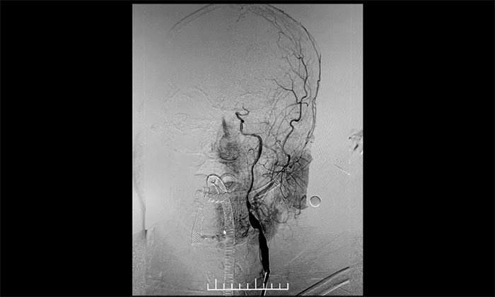
▲术后,左颈内动脉起始段狭窄明显改善,左颈内动脉颅内段顺利再通,左颈内动脉眼动脉段、后交通段狭窄明显改善
“高血压、糖尿病、长期吸烟等都是颈动脉闭塞的高危因素。”席刚明教授表示,这些高危因素会引起血液粘度增加、动脉血管病变,导致血流缓慢,造成动脉狭窄甚至堵塞。因此,想要预防颈动脉狭窄及闭塞,大家一定要注意良好生活习惯的养成,戒烟戒酒、清淡饮食,减少油脂类食物的摄入,避免劳累、熬夜等。
对于既往有高血压、高血脂、高血糖等疾病的患者,要遵医嘱服药,将血压控制在正常范围内;一旦出现反复发作的头晕头痛、肢体麻木无力、吞咽功能障碍等情况,尽早到有卒中中心的医院进行检查治疗。
部分内容参考来源:卒中视界、人民网、北京积水潭医院、浦东疾控等。
版权声明:部分图片源自摄图网,如有版权纠纷,请及时联系医院。一经查实,将立即删除。
此文章仅作为临床学术研究、学术交流使用!
上一篇:要闻 ︱ 蓝十字脑血管病科介入团队开展“零交换”技术,为颈动脉狭窄患者提供治疗新选择 下一篇:老人跌倒莫大意 警惕中枢神经系统常见疾病——慢性硬膜下血肿
为更好地满足患者的就诊需求,2026年1月1日-3日元旦假期期间,我...【详细】


