颅内动脉瘤,是由颅内动脉血管壁局限性异常扩张形成的一种动脉壁囊状凸起,不是真正意义上的肿瘤。虽然“似瘤非瘤”,颅内动脉瘤对健康的危害却不容小觑,一旦发生破裂,有高致残率、高死亡率的特点,因而被称为藏在大脑中的“不定时炸弹”。
《扬子晚报》2023年12月12日报道,初三学生小雅(化名)平时学习十分刻苦,由于临近升学,小雅的学习压力很大。有段时间,小雅偶尔会感到头晕不适,但并没有引起足够重视。

10月底,小雅上课时突然晕倒,被120紧急送往当地医院救治。通过CT检查,医生诊断为颅内动脉瘤伴蛛网膜下腔出血,需要立即行急诊手术。在送往手术室途中,患者出现昏迷伴瞳孔散大等症状,情况十分危急。所幸经全力救治,最终成功挽救了年轻的生命。
上海蓝十字脑科医院【同济大学附属上海蓝十字脑科医院(筹)】神经外科学术副院长兼6A神经外一科主任于耀宇介绍,颅内动脉瘤好发于前交通动脉、颈内动脉、大脑中动脉等处,通常被认为与高血压、脑动脉硬化、感染、外伤等有关,并有家族倾向。该疾病是造成蛛网膜下腔出血(SAH)的首位病因,在脑血管意外中,仅次于脑血栓和高血压脑出血,位居第三。

于主任表示,未破裂的、体积较小的颅内动脉瘤通常不会引起症状,或症状不明显。少部分患者可因动脉瘤(往往体积较大)压迫周围血管、神经,出现单侧面部麻木、视物模糊或重影等缺血及神经压迫症状。
根据《颅内动脉瘤血管内介入治疗中国专家共识》,颅内动脉瘤一旦破裂出血,致死致残率极高,其中10%~15%的患者来不及就医直接猝死,首次出血病死率高达35%,再次出血病死率则达60%~80%,幸存者亦多有残疾。
因此,对未破裂颅内动脉瘤进行排查、破裂风险评估及采取合理的应对策略,是临床管理的重要组成部分。
患者巴某(化名),男性,68岁。患者于2023年3月曾因中度脑积水,行侧脑室腹腔内分流手术。2024年8月,患者无明显诱因突然出现短暂晕厥并摔倒,头部着地,主诉有头晕等不适症状,至上海蓝十字脑科医院寻求进一步治疗。
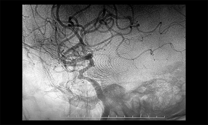
于耀宇主任为患者完善检查,CTA提示右侧颈内动脉C4段可疑小丘样隆起,不排除动脉瘤。为进一步明确诊断,于耀宇主任在导管室局麻下为患者行DSA脑血管造影以明确诊断,结果显示:右侧颈内动脉C4段可见3mmx3.5mm宽颈动脉瘤,海绵窦段可见轻度狭窄。

▲ 右侧颈内动脉C4段见动脉瘤
经评估,患者既往有高血压、糖尿病病史,近日出现头晕昏厥等症状,颅内动脉瘤破裂风险较高,需尽早行颅内动脉瘤手术治疗,拆除“不定时炸弹”。
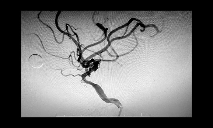
在明确告知患者家属手术风险,并取得同意后,于耀宇主任团队在麻醉科和介入手术室紧密配合下,为患者开展经导管颅内动脉瘤弹簧圈栓塞术。手术过程顺利,术后患者恢复情况良好。

▲ 动脉瘤顺利栓塞,不显影
于耀宇主任结合《中国未破裂颅内动脉瘤临床管理指南(2024版)》讲解道,未破裂颅内动脉瘤,通常是在体检或检查其他疾病时偶然发现的,尤其对于有脑血管基础疾病者来讲,即便没有明显症状,仍有必要评估是否进行干预处理。
于耀宇主任最后提醒,时下正值季节交替,气温波动较大,昼夜温差加剧,脑血管频繁收缩。由于动脉瘤血管管壁变薄膨出,当温差较大、情绪波动时,会引起脑血管内压力骤然升高,就容易导致动脉瘤突然破裂。动脉瘤在没有破裂或者体积较小时可以没有任何症状,少部分可出现视物模糊、头晕等神经血管压迫症状。而一旦破裂,则可表现为难以忍受的突发性剧烈头痛伴脑膜刺激征。因此,若出现相应症状,应尽快前往具有颅内动脉瘤规范诊疗能力的医疗机构就医,以免错失救治时机。
版权声明:部分图片源自摄图网,如有版权纠纷,请及时联系医院。一经查实,将立即删除。
此文章仅作为临床学术研究、学术交流使用!
上一篇:关节疼痛患者的新希望——富血小板血浆(PRP)治疗技术 下一篇:要闻 ︱ 蓝十字脑血管病科介入团队开展“零交换”技术,为颈动脉狭窄患者提供治疗新选择
“闵行技术能手”荣誉的获得,不仅是对陈泥、陈婷婷、魏金星三人...【详细】


