“颅内海绵状血管瘤”,对于很多人讲是比较陌生的,它是由众多薄壁血管组成的海绵状异常血管团,这些畸形血管紧密相贴,血管间没有或极少有脑实质组织,但它们并非真性肿瘤,而是一种缺乏动脉成分的脑血管畸形。该病可发生于任何年龄,青壮年为多,高峰年龄为30-40,由于血管造影检查时常常不能发现异常的血管团,故医学上将其归类于隐匿型血管畸形。
但随着医学影像学的发展,有关该病的报告也日渐增多,在人群中的发生率约为0.5%~0.7%,占所有脑血管畸形的8%~15%,且不同的患者,其临床症状表现各异,但通常都是当患者出现相应的症状时才被发现的。近日,上海蓝十字脑科医院6B病区就收治了一位18岁的年轻患者,他就是出现了典型的“癫痫症状”,才被发现患有“颅内海绵状血管瘤”的。
颅内海绵状血管瘤,常见症状有哪些?
上海蓝十字脑科医院神经外科6B病区主任潘仁龙介绍,颅内海绵状血管瘤,其临床症状与患者病灶的部位及大小有关,因此,不同患者其临床症状表现不同。其常见临床症状主要表现为癫痫、颅内出血、局部神经功能缺失及头痛等,最严重的并发症为颅内出血,尤其是脑干或脑深部重要结构的出血,可致残或致死,严重危害患者生命健康。其常见临床症状具体如下:

引发癫痫 :
癫痫症状为颅内海绵状血管瘤的典型表现,约占35.8%,可见于大多数幕上脑内海绵状血管瘤,其表现为各种形式的癫痫。病灶常位于颞叶、伴钙化或严重含铁血黄素沉积者,且男性患者癫痫发生率较高,一般认为癫痫发作与病灶或出血对周围脑组织的刺激,或引起神经元细胞异常放电所致。
颅内出血:
大部分该病患者均伴亚临床微出血,约占25.4%,由于供血血管细小且压力低,造成明显临床症状的出血相对较少。幕下病灶、女性尤其是孕妇、儿童和既往有出血史的患者具有相对高的出血率。
局部神经功能缺失:
约占颅内海绵状血管瘤的20.2%,急性及进行性局部神经功能缺失常继发于病灶出血,症状取决于病灶部位与体积,可表现为静止性、进行性或混合性。由于脑干内神经核及传导束密集,故位于这些部位的病变常有神经功能障碍。
导致头痛:
颅内海绵状血管瘤患者头痛常因出血而引起的,约占6.4%,发病率并不高,经影像学检查即可确诊。
有的颅内海绵状血管瘤患者,有一种以上的临床表现,但还有少部分人无症状,约占12.1%,轻微头痛可能是惟一主诉,常因此或体检做影像学检查而发现本病,约40%的无症状患者在6个月~2年内发展成为有症状的海绵状血管瘤。
突然“癫痫样发作”,警惕颅内海绵状血管瘤侵袭
据潘仁龙主任回顾,18岁的患者晨晨(化名),其首发临床症状则表现为“癫痫样发作”, 而癫痫症状是颅内海绵状血管瘤的典型症状。该病灶常位于颞叶、伴钙化或严重含铁血黄素沉积者,且男性患者癫痫发生率较高,一般认为癫痫发作与病灶或出血对周围脑组织的刺激,或引起神经元细胞异常放电所致。
回想起儿子当时癫痫发作的情形,晨晨父亲张先生(化名)至今还后怕不已:“ 今年4月29日,傍晚7点多,我和儿子正在家里看电视,没有任何征兆,他突然整个身体开始抽搐,抽搐时意识不清,怎么叫他都不应,大约持续了两三分钟,并伴有呕吐,之后他意识恢复,但对所发生的事情却一无所知,并感觉看东西都是眩晕的。随后,又同样发作了好几次”。

▲ 患者多次癫痫样发作,已严重影响其生活与健康
当时张先生和家人都被吓坏了,心想儿子该不会是患了羊癫疯(癫痫的俗称)吧,如果真是得了癫痫,那就麻烦了,在张先生认知里,“癫痫”就是一种顽症,一旦谁得了这种病,那么他这一辈子就毁了。紧接着,张先生紧急拨打120急救,并就诊于当地江苏省某医院。入院后,患者又多次肢体抽搐,癫痫样发作,当时予以镇静处理;并进行了头部MRI检查,影像检查结果提示:患者左侧颞叶异常信号,结合其临床症状,考虑患者为海绵状血管瘤可能性很大,且医生告诉他们,患者已出现癫痫症状,需及早手术。
张先生庆幸儿子没有得羊癫疯,但该疾病如果做手术,也是有一定的风险的,为了儿子能够得到更好的治疗,张先生和妻子决定到上海寻求进一步治疗。5月8日,晨晨在父母的陪伴下,慕名就诊于上海蓝十字脑科医院,潘仁龙主任接诊。
李士其团队在蔡司显微镜下,成功切除海绵状血管瘤
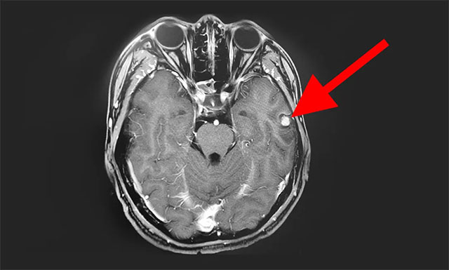
入院后,完善其各项检查,为了更好的手术,并进一步确定病灶位置,增强扫描,进行了头部MRI平扫+增强+MRS+MRSI,影像结果显示:患者左侧颞叶可见一团块状异常信号, T1WI 低信号为主,其内见结节状高信号,T2WI高信号为主,边缘低信号,FLAIR与DWI低信号为主、低混杂信号;MRS示体素位于左侧颞叶病灶,波谱基线不稳。

▲ 患者病灶位于左侧颞叶,其波谱图显示异常
潘仁龙主任表示,鉴于患者诊断明确,并已经出现了严重的临床症状,应及早手术。在得到患者家属同意后,手术准备就绪,患者于5月11日进行了左颞叶海绵状血管瘤切除手术,手术由临床经验丰富的李士其教授、潘仁龙主任及吴治群博士领衔的专家团队进行。
术中,在蔡司显微镜(双荧光)下,可见患者左颞叶下方表面呈黑灰色半透明样,将其打开,内呈囊性,将囊性结构逐步游离,并见其内有黑灰色结节质较韧,大小约为0.8厘米X0.8厘米,在显微镜下,李士其教授团队将结节及囊性结构顺利切除,并留取肿物送病理。手术顺利结束,晨晨回病房观察,生命体征平稳。

▲ 正为患者手术的李士其教授团队
术后,患者病理标本检验结果为:海绵状血管瘤。经过一周多时间的康复治疗,患者恢复良好,其癫痫症状未再发作,家人总算放心了,再过几天后晨晨就可以出院了,但因晨晨体质较瘦弱,张先生想让儿子在医院多康复治疗一段时间再出院。

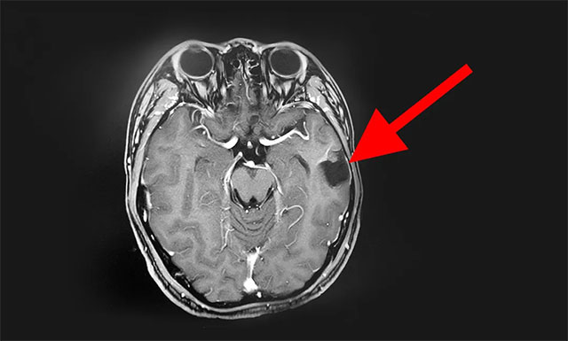
▲ 术后影像结果显示:患者海绵状血管瘤已切除
潘仁龙主任表示,随着影像学技术的飞速发展,海绵状血管瘤的诊断也愈发快速准确,目前,头部核磁是检查海绵状血管瘤的首选方法,其定性、定位诊断率非常高,使很多患者免于做创伤性检查,即可明确诊断。因此,如果大家出现文中所述相关一种或多种症状,及有相关家族病史的患者,都应及早去医院就诊,做到早发现,早治疗。
此文章仅作为临床学术研究、学术交流使用!
上一篇:6旬男子阵发性头晕、头痛三年多,原来是脑膜瘤在作怪! 下一篇:预防致死性肺栓塞有方法——张琪博士团队为患者顺利开展下腔静脉滤器植入术
4月10日,上海市医疗保障局基金监管处处长朱畅、行政执法处领导...【详细】


