经过大半年的折腾后,在听到自己可能患了颅内海绵状血管瘤,着实让张先生(化名)心中“咯噔”一下,他以为患了绝症,一下子面如土色。
“实际上,海绵状血管瘤不是真正的肿瘤,而是一种缺乏动脉成分的血管畸形……”,在听到潘仁龙主任的解释后,他才稍微松了口气,一时间内心仿佛坐了过山车。所幸,最终经过李士其教授手术,为他切除“肿瘤”,转危为安。
反复头痛8个月 原来是海绵状血管瘤
今年48岁的张先生在工厂从事包装工作,去年9月份开始出现头痛,在当地医院检查后,开始吃药、挂盐水,但是经过两个星期治疗头痛仍不见好转。后转入另一家医院,行头颅CT,提示右颞叶血肿,行CTA检查未见明显血管异常,医院予以激素抗过敏及抗炎、补液等对症治疗后出院。出院后,张先生仍然偶有头痛发作。之后,他频繁问诊于当地各医院,始终无果,这一过程就是8个月。
今年4月中旬,张先生在家人陪同下,慕名来到上海蓝十字脑科医院就诊。
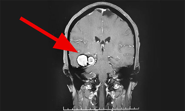
入院后,行MR头颅MRI平扫+增强+DWI+MRA显示,右侧颞叶见一团块状异常信号影,大小为 2.2cm×3.6cm×3.5cm, T1WI 呈高信号为主、边缘低信号环绕,T2WI、FLAIR及DWI高、低混杂信号、周边环状低信号,病周未见明显水肿带;增强后病灶未见明显强化征象。考虑患者有反复出血表现,为鉴别诊断,行全脑血管造影术示大动脉硬化,内膜毛糙,余血管未见明显异常。

▲ MR显示“血管瘤”位于右侧颞叶
综合患者症状、相关检查,由潘仁龙主任、李士其教授、吴治群博士组成的专家团队会诊后考虑,可能性较大的是颅内海绵状血管瘤。患者已经明确有反复出血史,手术指征明显,需行手术切除治疗,预防再次出血引起神经功能及癫痫等症状。
李士其教授叮嘱充分完善术前准备,做好应急预案。
李士其教授指出,MRI 诊断海绵状血管瘤具有较高的诊断特异性与敏感性,均优于 CT。如果病灶不伴有出血或钙化,CT对海绵状血管瘤的诊断敏感性不强,其特异性也较低。由于海绵状血管瘤供血动脉太细或已有栓塞,病灶内血管太大、血流缓慢使造影剂被稀释,采用数字减影技术也很难发现。
海绵状血管瘤属血管畸形 并非肿瘤
海绵状血管瘤是指由众多薄壁血管组成的海绵状异常血管团,形似桑葚,由于血管造影检查时常无异常血管团的发现,故将其归类于隐匿型血管畸形。实际海绵状血管瘤并非真性肿瘤,而是属于脑血管畸形。之所以名字中带“瘤”,仅因为其形态像瘤而已。同样,“海绵状”也是依据其形态命名,因其“剖面呈海绵状或蜂窝状”。
随着医学影像学的发展,有关该病的报告也日渐增多。在人群中的发生率估计为0.5%~0.7%,占所有脑血管畸形的8%~15%。因部分患者无症状,故确诊病例人群发生率仍无法确知。海绵状血管瘤好发于30~40岁,无明显性别差异。
颅内海绵状血管瘤可发生在中枢神经系统的任何部位,如脑皮层、基底节和脑干等部位(脑内病灶),以及中颅窝底、视网膜和头盖骨等部位(脑外病灶)。
而且,约 19% 的病例为多发病灶,多发海绵状血管瘤的病人常合并有身体其他脏器的血管瘤病灶。
颅内海绵状血管瘤主要临床表现依次为癫痫(35.8%)、颅内出血(25.4%)、神经功能障碍(20.2%)和头痛(6.4%)。无临床症状者占12.1%,有的患者有一种以上的临床表现。如病变发生出血,则引起相应临床症状。有的海绵状血管瘤逐渐增大,产生占位效应而导致神经功能障碍逐渐加重。临床病程变异较大,可以有急性或慢性神经功能障碍,可出现缓解期或进行性加重。

▲ 海绵状血管瘤形似桑葚,属于血管畸形,并非肿瘤
历时5个多小时 李士其教授团队成功切除“血管瘤”
在征得家属同意后,4月17日上午,6B病区神经外科团队为该患者进行了“幕上深部海绵状血管瘤切除术”。
由于“血管瘤”位于右侧颞叶深部,极为接近脑干,稍有损伤后可导致患者出现严重神经功能障碍,手术存在一定风险和难度。
为此神经外科团队进行了严密的术前设计,术前行头颅CT定位确定手术入路,术中超声精准定位病灶,结合术前头颅核磁共振的磁敏感和弥散张量成像,明确病灶边界并避开重要神经纤维束。确保顺利切除海绵状血管畸形,同时避免术后出现相关的神经功能障碍。

▲ 李士其教授团队正在手术中
术中,在蔡司显微镜(双荧光)下见右颞叶局部脑组织颜色较周围略黄,自此处切开脑组织,见脑组织内有黑灰色“肿物”,与周围脑组织边界清楚,切开肿物,见其内有暗红色血性液体,部分肿物机化样。李士其教授在吴治群博士、黄秀夫医生协助下,严格沿瘤脑边界分离肿瘤,最终利用娴熟的解剖和显微技术将“血管瘤”顺利切除,留取肿物送病理,并清除血肿。术前脑血管造影提示与病灶关联的深部粗大静脉获得完整保留,有效避免了术后再出血,手术顺利完成。
病理标本检测,确诊为右颞叶海绵状血管瘤。

▲ 术后MR显示,“肿瘤”被切除
李士其教授提醒,由于海绵状血管瘤的血管结构不同于正常血管,没有内皮组织,非常脆弱,容易破裂出血。但其发病又比较隐匿,早期往往没有症状,多在成年后发病。有家族史的人群要提高警惕,进行必要的筛查。
手术切除病变是治疗海绵状血管瘤的根本治疗方法。病灶反复小量出血、癫痫和重要功能区的占位效应,是海绵状血管瘤手术适应证的主要考虑因素。对于很小的病灶,也无症状的病例可以随访观察。对于一部分病例病灶部位不宜进行切除、无法耐受切除性手术的可以采用伽玛刀治疗。
此文章仅作为临床学术研究、学术交流使用!
上一篇:男子误拔半口牙 沈建康教授微创手术解除元凶 “天下第一痛” 下一篇:69岁男子二次脑出血偏瘫,他是如何站起来……
为更好地满足患者的就诊需求,2026年1月1日-3日元旦假期期间,我...【详细】


