神经外科
垂体瘤特色诊疗
视力下降、视物异常……江苏一中年男子因垂体巨腺瘤求医于上海蓝十字脑科医院。6B病区神经外科团队在不开颅的情况下,经鼻蝶窦入路,在蔡司显微镜(双荧光)下,成功为其切除肿瘤,消除病痛,恢复视力。
小垂体 能耐大
垂体是内分泌系统的主要控制者,位于大脑底部蝶骨上马鞍形的小窝内,仅有豌豆大小,负责控制人体内总体激素的平衡。垂体附着在下丘脑上,下丘脑是大脑的功能部分,又控制着垂体。

▲垂体解剖结构
垂体负责产生许多关键激素,包括:控制正常生长的生长激素(GH);促肾上腺皮质激素(ACTH),刺激肾上腺;催乳素(PRL),可在产后刺激女性产奶;控制性和生殖的性激素,例如睾丸激素,黄体生成素(LH)和卵泡刺激素(FSH);和控制甲状腺激素水平的促甲状腺激素(TSH)。
在垂体的日常活动中,按照对其的影响,一般将腺瘤分为产生激素腺瘤和无激素的腺瘤。
产生激素的腺瘤会促使垂体分泌过量激素,破坏体内激素水平的平衡。常见的有:
分泌ACTH的腺瘤,会引起肾上腺分泌过多的皮质醇,并导致库欣综合征;
分泌GH的腺瘤,会导致分泌过多的生长激素,并可能导致成人肢端肥大症和儿童巨人症;
分泌PRL的腺瘤(也称催乳素瘤,主要影响女性),会过量产生催乳激素,关闭月经期,导致乳房增大,并产生母乳;
产生TSH的垂体瘤,是一种罕见的垂体瘤形式,可引起甲状腺功能亢进症,即体内甲状腺激素过多。
激素非活性腺瘤一般较大,直径大于10毫米,即为巨腺瘤。过大的体积,不仅可能会损伤垂体,而且因其扩张会对周围脑组织形成巨大压力。
高压迫 危害大
神经外科李士其教授谈到,激素非活性腺瘤随着其生长,会对周围的大脑结构施加压力,同时压迫垂体,可导致某种形式的垂体衰竭,并伴有以下一种或多种症状:
• 低血压
• 疲劳
• 无法应付压力
• 性功能障碍

▲ 视力下降、视野缺损要警惕垂体瘤
垂体上方与视神经、视交叉相邻,如果腺瘤从垂体向上生长将会影响视交叉,这是大脑与眼睛和视觉皮层之间通路的一部分。视觉皮层是大脑最终控制视力的部分。这种腺瘤将会导致:
•视力模糊
•周围视力丧失,称为双颞偏盲
•头痛
•失去色彩感,无法分辨颜色
出现以上情况,如不及时治疗,随着视野缺损区域的扩大和视力减退,有可能致盲。如果瘤体偏于一侧,可致单眼偏盲或失明。如果瘤体再向后生长,可压迫脑干致昏迷、瘫痪等。
乒乓大瘤体引发失明风险
今年38岁的张先生,是江苏人。去年9月份开始,自感左眼视力下降、视物不清,在当地医院眼科检查,左眼视力测不出,外侧视野缺损,查不出病因。今年2月中旬,在另一家医院检查,经头颅MRI检测,发现垂体巨大占位,考虑为垂体腺瘤。

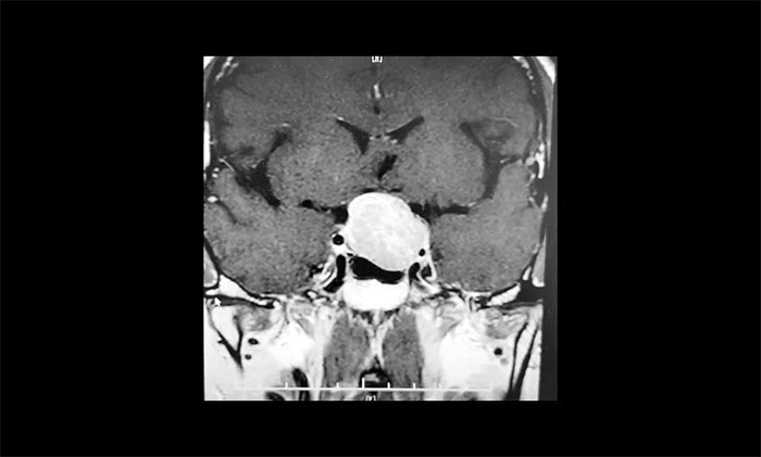
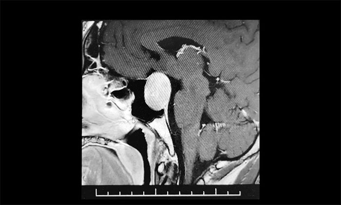
▲ 肿瘤侵袭生长,包绕左侧海绵窦
为求进一步确定病情,张先生在家人陪伴下,慕名来到上海蓝十字脑科医院。经鞍区MRI平扫+增强显示:蝶鞍显著扩大,鞍底下陷,垂体窝见类椭圆形异常信号,大小约3.1×2.7×2.1cm,病变向鞍上生长,推移视交叉上抬,与左侧海绵窦分界欠清晰,被包裹1/2。
神经外科6B病区专家李士其教授、潘仁龙主任、吴治群博士会诊后,考虑为侵袭性垂体巨腺瘤,乒乓球大小的瘤体压迫视神经,并且侵袭生长,左侧海绵窦部分受包绕,向上已突破鞍隔,压迫视神经、视交叉、下丘脑。如果肿瘤进一步生长,可能加重视力下降、甚至失明。
患者手术指征明确,应尽早手术。
高难手术保护垂体组织
任何时候,无论体积大小,垂体腺瘤对神经外科医生来说都是一种挑战。需要熟练的外科医生来定位和切除微小的瘤体组织,而不损坏任何垂体组织。
目前垂体腺瘤的手术方式,主要有开颅手术和经鼻蝶窦入路手术。
开颅手术不但切口大、创伤重,而且瘤体解剖位置非常深,在探查、分离、切除的过程中,非常容易损伤周围重要的神经、血管组织,术后可能增加相关并发症。同时,瘤体过大,也不易被完全切除。
经鼻蝶窦入路手术虽然微创,但实际可操作空间非常有限,且瘤体已经被周围的血管、神经、骨质侵袭浸润,同样非常不利于肿瘤的完全切除。
再一个,垂体是人体的内分泌中枢,术后容易出现尿崩症、垂体相关激素水平低下等并发症,手术难度不言而喻。
成功经鼻蝶窦入路切除瘤体
经过详细的手术方案论证,充分完善术前准备,并经家属签字同意。2月22日,李士其教授在吴治群博士、尤国栋医生协助下,经鼻蝶窦入路为张先生展开了手术。

▲ 李士其教授正在手术
术中,在蔡司显微镜(双荧光)下,见红色肿物,质地中等,血供较丰富。李士其教授熟练地操作手术器械,游走在错综复杂的神经血管罅隙间,既不能损伤垂体组织,还要充分保护好海绵窦、颈内动脉、视神经等组织结构。最终,沿包膜成功切除瘤体,并送检病理。
术后,张先生视力明显改观,无新发功能缺损。且由于手术创伤小,恢复迅速,已于术后一周顺利出院。出院前,李士其教授反复叮嘱他,一定要坚持定期复查。
李士其教授提醒,垂体腺瘤虽然大部分是良性肿瘤,但其危害也不容小觑。不论是导致人体内分泌紊乱,还是压迫颅内组织、神经引发的各种病变,对人体的伤害都是巨大的。如果长期出现头痛、易疲劳、视力骤降、月经不调、性功能下降等症状,最好做个头颅磁共振检查,以排除垂体腺瘤的风险。
此文章仅作为临床学术研究、学术交流使用!
上一篇:年轻女子突发脑出血致中度昏迷 经多学科联合救治成功苏醒 下一篇:中年男子突发脑出血昏迷 不规律服药引发卒中高危风险
4月10日,上海市医疗保障局基金监管处处长朱畅、行政执法处领导...【详细】


