白驹过隙,日月如梭,转眼已到2022年。回想12年前噩梦开始的地方,仿如昨日,却又恍如隔世。
12年前,赵女士因为头疼伴右眼视力下降就诊于当地医院,检查出鞍结节脑膜瘤,当即就做了切除术。手术的成功全家人都松了一口气,压在所有人心上的这块“巨石”终于挪走了。
然而,12年来,在一个纪的时间里,“脑膜瘤”的巨大暗影却始终没有离开赵女士的生活,令她饱受困扰,遍经折磨,直到遇到李士其教授,这一困境才得到了根本性的改变。
12年受困复发“囚笼”
第一次手术后,赵女士很快就恢复了正常生活,日子过得恬淡而平静。直到2014年的一天,赵女士的视力再次出现模糊症状,这让她心头一惊。一番检查,果然是脑膜瘤再次复发了。

这一次,她选择了伽马刀治疗。从此以后,赵女士每天都生活得战战兢兢,心理压力巨大,生怕肿瘤再次复发。就这么一晃,8年过去了。正当赵女士以为可以安枕无忧时,2021年1月视力模糊又一次淹没了她的生活。“就像蒙了一层膜一样”,那种感觉对她来说是何等熟悉,那一刻,她觉得生活再次陷入无边的黑暗和绝望中。
当地医院鞍区MR提示鞍上及左侧额部结节,考虑脑膜瘤,建议再次进行手术切除。12年来连续的复发,让赵女士对生活完全丧失了信念和希望,只觉得噩梦已吞噬了她的整个人生。唯一能支撑她继续向前的,是丈夫的坚持与执着,是对夫妻同命的依恋。
在丈夫陪伴下,为了寻求进一步治疗,赵女士辗转求医到了上海,后又慕名转入上海蓝十字脑科医院。
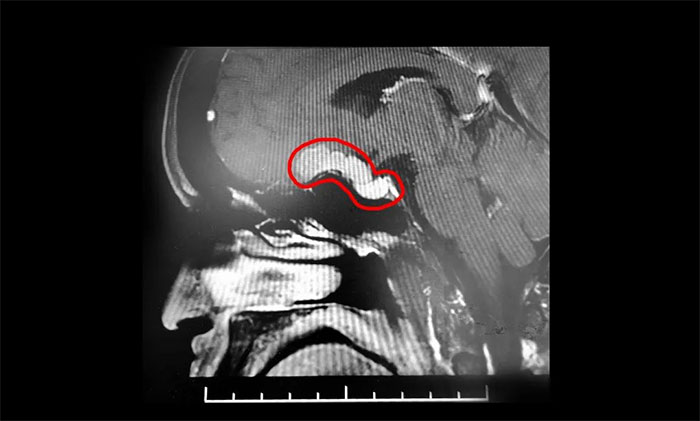
入院检查显示,左眼视力下降,外侧视野缺损。鞍区MRI平扫+增强显示,鞍上可见类椭圆形异常信号,大小约2.8cm*1.5cm,与垂体分解分界清晰,与视交叉、海绵窦分界欠清晰。

▲ 肿瘤向鞍上生长
结合实际病情和影像检查结果,潘仁龙主任、李士其教授、吴治群博士会诊后指出,赵女士视物出现异常,手术指征明显,应及早手术,否则症状还会加重,视力会越来越差,最终导致永久失明。
要警惕首发视力障碍
上海蓝十字脑科医院神经外科6B病区潘仁龙主任介绍,脑膜瘤是颅内较为常见的一种肿瘤,起源于脑膜及脑膜间隙的衍生物,其发病率占颅内肿瘤的19.2%,仅次于胶质瘤,居第二位。鞍区脑膜瘤主要位于鞍区,是颅内最常见的良性肿瘤。
鞍区脑膜瘤和视神经、视交叉、大脑前动脉以及双侧海绵窦位置比较邻近,如果体积较大,常常会累及鞍区,所以其主要症状就是引起视力视野改变,及垂体内分泌改变等。
80%以上的鞍区脑膜瘤患者,以视力障碍为首发症状,视力障碍多为缓慢、进行性减退,可持续数月或数年。早期一侧视力减退伴颞侧视野缺损,单侧视力障碍占55%,随后对侧视神经和视交叉受压表现为双眼视力下降或双侧视野缺损,双侧视力障碍者占45%,情况严重者可致失明。

▲ 约80%以上的鞍区脑膜瘤患者首发症状为视力障碍
鞍区脑膜瘤的生长速度因人而异,如不及时治疗,增长到一定程度,会严重压迫视神经,不仅可导致失明,患者还可出现颅高压、视乳头水肿、头痛、精神症状等严重病症,因此,一旦确诊应尽早采取手术治疗。
医疗与美学的和谐统一
李士其教授指出,该患者颅内肿瘤向鞍上生长,只能通过开颅手术切除。尽管开颅手术势在必行,但是当赵女士看到身边病友的“光头”和上面扎眼的疤痕时,内心感到无比焦躁和不安。毕竟,从医疗美学角度来说,在保证功能完整的前提下切除病灶,与尽可能保护好患者的外貌外观并非绝对冲突和对立。一定程度来说,患者保持愉悦的心情,能更好地促进术后的康复。
鞍区病变通常采用经鼻蝶、经额下、和经翼点等入路进行手术。但是上述入路均有优缺点。比如经额下入路开颅损伤较大,不必要的脑暴露和脑牵拉过多,出血量大,易损伤嗅神经,病人术后反应重。而经蝶入路手术采用微创技术解决了以上问题,但对于蝶窦发育不良、肿瘤呈哑铃状向鞍旁、向中颅窝或向鞍后、鞍上生长的病例,术中处理很困难。
鉴于赵女士的脑膜瘤生于颅底,经多次会诊和缜密评估,李士其教授决定为其行经眉弓眶上锁孔手术,用微创技术来切除肿瘤,尽最大可能降低损伤。
神经外科“锁孔”手术得益于现代CT、MRI、DSA等影像技术的发展,它不仅将骨瓣开颅和微创技术有机结合起来,而且凭借精确地解剖关系,为手术提供了精准的术前定位,使有效空间内以较小的手术创伤,来取得较好的手术效果成为可能。
利用锁孔一样大小的骨窗来代替大切口、大骨窗,进行颅内的深部病变切除,能根据病灶特点,准确设计开颅部位和范围,深入脑组织自然间隙,以最短路径精准到达病灶,这是锁孔技术的最大特点。同时,它还具有手术时间较短、创伤较小、住院时间较短等优点。
此外,由于锁孔切口常常设计在眉弓、发髻内,切口短而隐蔽,极大地满足了患者对于外观上美观的需求,减轻了患者的心理压力,提高了患者的生活质量。

▲ 李士其教授团队正在为患者手术
显微镜下锁孔切除脑膜瘤
为了挽救患者的生命,2月14日,经过充分完善的术前准备,并征得家属同意后,李士其教授在吴治群博士、尤国栋医生的协助下,顺利为患者进行了 “经眉弓眶上锁孔入路鞍区病损切除术”。
术中,在蔡司显微镜(双荧光)下,见肿瘤组织包绕左侧嗅神经,双侧视神经被生发于鞍结节处的肿瘤组织挤压至外下方,且与肿瘤组织关系密切。李士其教授处之泰然,在充分保护好重要血管神经的前提下,逐步将肿瘤与周围的神经、血管一点点分离开来,分块切除肿瘤,让视神经得到了充分减压。历时3个多小时,手术终于顺利完成。

▲ 术后影像显示肿瘤被切除
在这一台高难度、高风险的手术中,李士其教授凭借完善的术前计划、娴熟的显微外科手术技巧、耐心专注的手术风格,充分展示了自身在神经外科领域的深厚造诣。不仅完成了既定的医疗目标,而且实现了医疗技术和医疗美学的和谐统一,让患者的身心都得到了治疗和安抚。
术后,赵女士左眼视物模糊情况明显改善,无其他新发功能障碍。再次见到赵女士时,她的精神状态不错,更令人欣喜的是——一头秀发依旧乌黑靓丽。
此文章仅作为临床学术研究、学术交流使用!
上一篇:两岸情 | 上海蓝十字脑科医院成功救治中国台湾脑出血患者 下一篇:年轻女子突发脑出血致中度昏迷 经多学科联合救治成功苏醒
“闵行技术能手”荣誉的获得,不仅是对陈泥、陈婷婷、魏金星三人...【详细】


