近期,《柳叶刀》杂志的一份研究报告警醒世人:这份长达26年的系统分析证明,酒精会导致大量疾病、残疾和死亡,这些危害隐患远高于所谓的健康益处。研究证明安全的饮酒水平是零,而不是多数健康指南主张的每天最多可饮用两杯酒精饮料。
因酒精导致死亡人数最多的国家

▲ 全球标准每日饮酒人口平均数分布(女上男下)
因酒精导致死亡人数最多的国家是中国,没有之一。
在 2016 年全球280万酒精相关死亡人数中,中国男性共死亡65万人,女性5.9万人,而人口规模与中国相当的印度排名第二,分别是29万人和4.2万人。当然,要论饮酒最玩命的国家当属俄罗斯,死亡人数排名第三,男性18万人,女性4.3万人。

▲ 《柳叶刀》:因酒精导致死亡人数国家排行(男右女左)
“酒肉穿肠过,朋友心中留;感情深,一口闷;酒逢知己千杯少,能喝多少喝多少……”,我们经常会在各种社交场合、酒席宴会上听到这样的劝酒词,“饮酒”早已经成为人们交际与联络感情的一种常见方式。但长期大量的饮酒会给人体各器官,特别是肝胆、肠胃及心脑血管带来沉重的负担,严重危害人们身心健康。

他长期饮酒突然昏迷,为求进一步治疗慕名就诊于蓝十字
近日,上海蓝十字脑科医院神经外科6B病区,收治了一名因长期过量饮酒而突然陷入昏迷的患者……
据患者陈先生(化名)母亲介绍,今年43岁的陈先生已有20余年的饮酒史,起初是因为生意的缘故,陈先生不得不饮酒应酬,但渐渐的,饮酒竟变成了他的一种生活习惯,有事没事都喜欢喝上几口,谁知这一喝竟是20多年。
近几年他饮酒越来越多,但精神状态却越来越差,脾气也变得有些暴躁,在家人的劝导下,他也曾尝试过戒酒,但坚持了一段时间还是不行,最后戒酒也失败了。
今年,他饮酒尤为厉害,饭吃得很少,渐渐地连饭都不怎么吃了,整天就知道喝酒,整个人也因此瘦了一大圈,体重从以前140斤,瘦成现在的105斤。现在他看起来面黄肌瘦,面容憔悴,整天病恹恹的样子。
7月11日,上午10点左右,陈先生从昨晚宿醉醒来后,就突然胡言乱语起来,随后症状逐渐加重,出现意识障碍、四肢抽蓄及大小便失禁等。
他家属立即拨打120急救,将他送至当地浙江省某医院进行救治,根据患者的具体病情、病症、检查结果及其20余年饮酒史,他被诊断为:“酒精戒断综合”和“慢性酒精中毒”。
随后,该院针对患者的病情进行了对症治疗,并予以继续饮酒,逐渐减量治疗,患者病情有所缓解,但其神志仍旧模糊,言语含糊,不能对答,之后还出现了肺部感染及液气胸等病症。
为求进一步治疗,患者在家人的陪伴下,于8月18日慕名转诊于上海蓝十字脑科医院神经外科6B病区,由潘仁龙医疗团队进行救治。
潘仁龙团队精心医治,患者病情明显好转
据潘仁龙主任介绍,患者之所以会突然出现昏迷、谵妄等情况,主要是因为他长期大量饮酒所引起的慢性酒精中毒所致。
陈先生有20余年的饮酒史,长期酗酒,使他无法控制对酒的渴求,不断“借酒浇愁”,到点了就要喝酒,长此以往,患者需依赖饮酒来支撑其“虚幻世界”,来缓解其戒断症状。而一旦发生慢性酒精中毒,会严重危害患者身心健康——轻者会出现恶心、呕吐、头晕、谵语,躁动等症状;严重者还会引起昏迷,大小便失禁,呼吸抑制,甚至死亡——必须及时就医进行诊治。

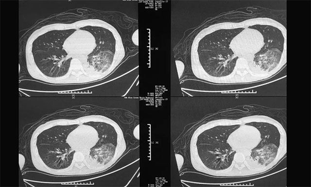
▲ 患者出现多种并发症:肺部感染严重
入院后,潘仁龙团队对陈先生进行了全面仔细的检查,根据其各项检查结果、目前出现的症状,并结合其20余年的饮酒和吸烟史以及外院诊治情况,陈先生最终被确诊为:1、使用酒精引起的戒断状态伴有谵妄;2、慢性酒精中毒;3、肺部感染;4、液气胸;5、大疱性肺气肿。
随即,潘仁龙团队针对患者的具体病情,制定了完善的治疗方案,对其“使用酒精引起的戒断状态伴有谵妄”与“慢性酒精中毒”情况,戒酒治疗是最为有效和关键的方法。
首先,对陈先生酒精依赖的严重程度及在外院进行的递减戒断治疗情况,进行了严格的评估,并根据其评估结果予以酒精依赖的强化治疗与药物治疗戒断。同时,密切观察其病情变化,及时处理可能发生的戒断反应;且针对其肺部感染、液气胸等情况予以积极抗感染、抗真菌、护肝、护胃、营养支持等对症治疗,并根据其后续治疗情况,及时调整治疗方案。

▲ 潘仁龙主任查房:患者病情明显好转并已苏醒
在蓝十字医护人员一个月的精心治疗和细心护理下,陈先生病情明显好转,其对酒的依赖程度明显降低。到目前为止,已经戒酒成功,可以不饮酒;在治疗一周多的时候患者就已清醒,意识现已完全恢复,言语正常,可以与家人和医生进行正常沟通交流;其四肢肢体机能也已恢复正常,但由于其之前以酒当饭,营养跟不上,身体还是有些虚弱,仍需要一段时间恢复。
经历了这次大病,患者陈先生现在想想还后怕不已,连连说道:“不喝酒了,以后再也不喝酒了”。
对这次治疗效果,他母亲也非常满意,并连连称赞道:“这次我儿子之所以能够完全清醒,多亏了潘仁龙主任,他具有多年丰富的临床治疗经验,其带领的专家团队更是专业和细心,这里不仅环境好,医生的技术、人品更好”。
专家提醒:饮酒需谨慎,长期大量饮酒严重危害健康
潘仁龙主任指出,酒的有效成份是酒精,其化学名为乙醇,当乙醇进入人体,可对人体产生多方面的破坏作用。当人体血液中的乙醇浓度达到0.05%时,酒精的作用开始显露,出现兴奋和欣快感;而血液中乙醇浓度达到0.1%时,人就会失去自制能力;如达到0.2%时,人已到了酩酊大醉的地步;要是达到0.4%时,人就可失去知觉,昏迷不醒,甚至有生命危险。

饮酒有害健康,常见危害具体如下:
a、引发肝肾疾病
长期饮酒会导致脂肪肝,当酒精伤害到肝脏的时候,它还会延伸到肾脏的损害。主要是因为饮酒很容易使人排尿,而肾脏没有办法正常的调节体液流动,使得体内电解质出现紊乱,长时间的过度饮酒,就会导致肾衰竭。
b、引发肠胃疾病
长期酗酒容易导致慢性胃炎,尤其是空腹饮酒,严重时会导致胃出血等严重情况,还会引起消化不良,造成免疫力下降,容易感染其他疾病,如肺炎等。
c、引发心脑血管病
长时间的饮酒,会让心脏肌肉力非常衰弱,使得血液循环不规则。其实,很多酗酒的人都会患上心机病,引起心脏肌肉松弛、下垂,使患者出现呼吸急促、心律失常、疲劳等症状,另外,长时间饮酒还会提高心脏病发作、脑中风、高血压、糖尿病的可能性。
d、引起生殖系统的破坏
有研究发现,饮酒过多,男性精子的质量就会越差,并且酒精会打破体内的激素水平,精子质量也会随之下降,长期饮酒还可能会导致不育。如果是孕妇饮酒生的宝宝,很容易患上“胎儿酒精综合征”,严重还会导致胎儿流产、早产,或出现畸形等情况。
e、引发酒精中毒
长期过量饮酒,很容易造成酒精中毒,轻者会出现恶性、呕吐、头晕、谵语、躁动的症状;严重者还会引起昏迷,大小便失禁,呼吸抑制,甚至死亡,严重危害人们身体健康。
饮酒对人体的危害是多方面的,除此之外,长期饮酒还会损害人的大脑,使人反应迟钝,而经常酗酒的人还会产生对酒的依赖性,脾气变得暴躁、不安,严重危害人们身心健康,因此大家必须正确对待饮酒这件事,为了身体健康要做到少喝酒,尽量不饮酒。


为更好地满足患者的就诊需求,2026年1月1日-3日元旦假期期间,我...【详细】


