第一次为人父母的宝爸宝妈,总会遇到宝宝的各种健康问题,诸如发烧、感冒、咳嗽、拉肚子、呕吐等,其中宝宝突然出现的惊厥症状,则是众多症状中很紧急、很严重、甚至会危及生命的一种症状。
惊厥是小儿常见的急症,尤多见于婴幼儿,由于多种原因使脑神经功能紊乱所致。表现为突然的全身或局部肌群呈强直性和阵挛性抽搐,常伴有意识障碍。小儿惊厥的发病率很高,5%~6%的小儿曾有过一次或多次惊厥。
惊厥中最常见的是高热惊厥。不少宝宝都出现过高热惊厥的现象,有些宝宝甚至一发烧就抽搐,家长十分担心。在临床上,很多小儿癫痫患者的过往病史中都有高热发烧这一病史,因此很多家长都会产生疑惑,小儿高热惊厥是否会诱发癫痫。
高热惊厥与癫痫关系密切 有转为癫痫可能
上海蓝十字脑科医院功能神经外科主任杨忠旭教授指出,因为高热惊厥的症状反应和癫痫发作表现症状类似,但并非癫痫,而且一般预后良好。值得注意的是高热惊厥虽然不等于癫痫但与癫痫关系密切,临床上高热惊厥有转为癫痫的可能。
对于有高热惊厥症状史的小孩,家长一定要懂得以下相关疾病知识,以防小症成大病。
1、一次发热过程中只发生一次惊厥是单纯性高热惊厥,二次以上就是复杂性高热惊厥;惊厥发生在发热开始的24小时内 (通常是6-8小时),抽搐时间在5分钟左右,不超过10分钟为单纯性高热惊厥;惊厥后精神状态良好,一般是单纯性惊厥。如精神萎靡,则可能是脑炎。如果嗜睡,则往往易发展为癫痫。
2、宝宝发烧时,口腔温度达38.5℃、肛表温度39℃以上,发生单纯性高热惊厥的较多。口腔温度38.5℃、肛表温度39℃以下发生的就属于复杂性高热惊厥。
3、2个月-6岁以内的宝宝高热容易引发惊厥,1-2岁是好发年龄,这个年龄段初次发生高热惊厥的,往往是单纯性居多。而3岁后开始第一次发病的,复杂性的更多,转变为癫痫的可能性较大。宝宝6岁以后,如是单纯性惊厥会自然消失,依然有惊厥的话,则肯定是复杂性惊厥。
高热惊厥是否诱发癫痫,主要看是否存在这些危险因素:
1.是否有癫痫家族史;
2.宝宝热性惊厥前是否有神经系统异常
3.在38℃以下就发生高热惊厥;
4.多次复发或严重的高热惊厥;
5.1岁前就出现高热惊厥。
若具备其中2—3个危险因素的宝宝,7岁时癫痫发生率高于9%左右。

▲ 部分高热惊厥有转为癫痫可能
高热惊厥后要做以下检查
杨忠旭教授指出,热性惊厥(高热惊厥)是排除性诊断,应与中枢神经系统感染、癫痫、中毒性脑病、代谢紊乱、急性中毒或遗传代谢病等其他病因所致的惊厥发作相鉴别。因此临床常需要检查:血常规、血生化(电解质、肝肾功能、血氨)等,腹泻者尤其夏秋季突发频繁惊厥者应检查粪常规,以鉴别中毒性细菌性痢疾等。
以下情况推荐脑脊液检查:
(1)有原因未明的嗜睡、呕吐或脑膜刺激征或病理征阳性;
(2)6-12月龄未接种流感疫苗、肺炎链球菌疫苗或预防接种史不详者;
(3)已使用抗生素治疗,特别是<18月龄者,因这个年龄段患儿脑膜炎、脑炎症状和体征不典型,且抗生素治疗可掩盖脑膜炎、脑炎症状;
(4)对于复杂性FS患儿应密切观察,必要时进行脑脊液检查,以除外中枢神经系统感染。
这些情况需做脑电图头颅CT或者核磁共振检查
局灶性发作、神经系统发育异常、一级亲属有特发性癫病病史、复杂性FS、惊厥发作次数多,这些特征均为继发癫病的危险因素,推荐进行脑电图检查与随访。
鉴于发热及惊厥发作后均可影响脑电图背景电活动,并可能出现非特异性慢波或异常放电,推荐在热退至少1周后检查。
以下情况推荐行头颅影像学检查寻找病因:头围异常、皮肤异常色素斑、局灶性神经体征、神经系统发育缺陷或惊厥发作后神经系统异常待续数小时。对于惊厥相关脑部病变的检出,通常磁共振成像( MRI) 较CT更敏感,但检查时间相对较长,对镇静要求高。
儿时高烧埋下癫痫隐患 手术治疗带来希望
小卞(化名)今年18岁,刚上大学,患癫痫已五年。五年前,在上课期间小卞突然自觉精神恍惚,头晕不适,后意识丧失倒地,四肢屈曲-痉挛,口吐白沫,持续约2分钟,自行缓解,送当地医院行头颅CT检查未见异常。后上述症状再次发作,缓解后在家属陪同下,赴上海求医确诊为癫痫,建议药物治疗,未采纳。
回乡之后,小卞的癫痫症状频繁发作,表现为:突觉头晕不适大喊一声,脸色青紫,双眼上翻,喉咙发声,四肢屈曲-痉挛,头部痉挛,身体缓慢倒地,持续约2-3分钟左右,发作后自行缓解,缓解后自觉肌肉酸痛、劳累。后接受药物治疗,但效果不佳,未能有效得到控制。今年上半年,癫痫症状愈发严重,一周内发作两到三次,一般玩游戏后易发。随后,在父母陪同下,小卞慕名来到上海蓝十字脑科医院寻求进一步治疗。

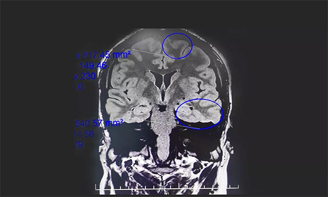
▲ 通过系列检查最终明确患者致癫灶
脑电监测崔丽华主任根据脑电图监测分析指出,患者双侧有癫痫波,左侧较为严重。磁共振检查,患者颞叶、额叶、海马结构异常。既往史显示,患者1岁时有多次高热病史,并伴抽搐。
杨忠旭教授指出,一般幼时突发高热惊厥,尤其伴有抽筋的症状,会导致大脑缺血、缺氧,而海马对这种情况的耐受性较差,极易造成其内的神经细胞受损,时间长了就会发展成海马硬化,成年后,有近一半以上的病人会因此患上顽固性癫痫。
患者经系统内科药物治疗不佳,确诊为药物难治性癫痫,经过系列检查最终明确患者致癫灶位于左侧颞叶、左侧额叶、左侧海马。手术指征明确,未见明显手术禁忌症。

▲ 杨忠旭教授正在为患者手术
在征得家属同意后,杨忠旭教授在助手杜立功医生协助下在崔丽华主任脑电监测辅助下为患者进行了手术。切除相关病变区域后,再次脑电监测显示暴露脑区无异常放电,手术成功。目前,小卞已康复出院。
杨忠旭教授表示,小儿比成人更易发生惊厥,年龄越小越容易惊厥。这是由于幼儿的神经系统发育尚未成熟,脑神经细胞分化不全,抑制能力差,而高热会使中枢神经系统过度兴奋,导致丘脑强烈脉冲放电,产生强大的电压并波及边缘系统和大脑半球,导致惊厥。
发现孩子高热惊厥后,要将患儿侧卧或头偏向一侧,保持呼吸道畅通用,控制惊厥,给患儿降温,并及时送医检查治疗。
上一篇:40岁男子发热、头痛20余天,以为是呼吸道病毒感染,其实是大病前兆...... 下一篇:悲!吃口饭竟痛到“要撞南墙” 喜!显微镜手术后她又能“笑逐颜开”
4月10日,上海市医疗保障局基金监管处处长朱畅、行政执法处领导...【详细】


