说起肿瘤,尤其是生长在脑部的肿瘤,人们往往闻之色变。有一种脑部“肿瘤”,大家对其知之甚少,但其发病率却不低——这就是颅内海绵状血管瘤。
形似桑葚 并非真“肿瘤”
我们熟悉的肿瘤,是机体在各种致瘤因子作用下,局部组织细胞增生所形成的新生物。海绵状血管瘤(Cavernoma)则是指由众多薄壁血管组成的海绵状异常血管团,这些畸形血管紧密相贴,血管间没有或极少有实质组织。因此,该病并非真正的肿瘤,而是一种血管畸形,因而也常被称作海绵状血管畸形(Cavernous Malformation)。
文献资料显示,颅内海绵状血管瘤(Cavernous Cerebral Malformations,CCM)属脑血管畸形的一种,影像学检查资料统计数据表明,颅内海绵状血管瘤在普通人群中的发病率大约在0.4%~0.8%,占脑血管畸形的10%~25%。[1]也就是说,每200个人中,就可能有1人患上此病。
颅内海绵状血管瘤通常分为脑内型和脑外型。脑内型海绵状血管瘤位于脑实质内,又称为脑实质内海绵状血管瘤,较多见;脑外型海绵状血管瘤可发生于凸面硬膜、前后颅窝底、小脑幕、硬脑膜静脉窦等处,发病率较低。[2]

▲ 颅内海绵状血管瘤往往形似桑葚
上海蓝十字脑科医院神经外科主任沈建康教授指出,顾名思义,颅内海绵状血管瘤在影像学检查和手术过程中,看上去呈现为肿瘤样的团块,颜色为紫红色或褐色,表面往往像桑葚或爆米花,剖面呈海绵状或蜂窝状,质地有一定的弹性。
虽为“良性” 亦会致命
虽然颅内海绵状血管瘤是一种常见的良性血管病变,但它的危害却不容小视,容易反复破裂出血是其重要特征。
沈建康教授指出,颅内海绵状血管瘤虽然不是真的肿瘤,但也会“长大”。它并不是像肿瘤一样由细胞分裂导致体积增大,而是由于畸形的薄壁血管容易反复破裂出血,而每次出血都有血块没有完全吸收,这就形成了新的纤维化组织,就象泥沙一样反复沉积,导致包绕畸形血管团的肿块越来越大。

▲ 海绵状血管瘤可引起神经功能障碍
统计显示,海绵状血管瘤主要临床表现依次为癫痫(35.8%)、颅内出血(25.4%)、神经功能障碍(20.2%)和头痛(6.4%)等。无临床症状者占12.1%,还有的患者有一种以上的临床表现。有的海绵状血管瘤逐渐增大,产生占位效应而导致神经功能障碍逐渐加重。[3]虽然颅内海绵状血管瘤因破裂大量出血的风险相对较低,但位于脑干、延髓等部位的海绵状血管瘤,随着其体积不断增大及反复出血,可造成严重的神经功能障碍,甚至威胁患者生命。
显微外科手术可“排险”
颅内海绵状血管瘤的治疗,取决于存在的部位,大小和症状,主要包括保守、手术和放射治疗。一旦患者出现明显症状,如神经功能缺失、反复出血、难治性癫痫、病灶增大或有高颅内压者,应考虑选择手术治疗。
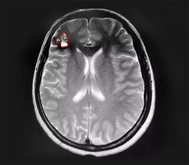
患者钱女士(化名)年届五旬,6年前出现不明原因的头晕症状,在当地医院做磁共振检查提示右侧额叶斑状异常信号,考虑为海绵状血管瘤。今年7月下旬,钱女士出现头晕症状加重,她慕名来到上海蓝十字脑科医院寻求治疗。

▲ 患者右侧额叶可见桑葚样团块
患者的头晕症状持续数年且于近期加重,已影响正常生活,结合病情进展和影像学资料,沈建康教授和神经外科6A病区侯增欣主任等专家开展了严谨的评估和讨论,认为患者具有手术指征。在告知手术风险并取得家属同意后,由沈建康教授主刀,为钱女士行血管瘤切除手术。

▲ 沈建康教授手术中
在电生理监测的保驾护航下,沈教授利用神经导航技术成功定位病变部位,并采用经脑沟入路技术,减少患者脑部皮质损伤直达病变部位。显微镜下可见,病变部位呈褐色桑葚状,周围脑组织黄染。“这是由于海绵状血管瘤自发性反复小量出血,造成的铁血黄素沉着。”沈教授解释道。借助先进的神经导航技术,在蔡司显微镜(双荧光)下,沈教授顺利切除血管瘤,并剔除黄染组织,术中无明显副损伤。
沈建康教授指出,颅内海绵状血管瘤为良性病变,预后良好,手术治疗能有效地防止出血和控制癫痫的发作,多数患者手术后能够恢复正常的生活和工作。
参考文献:
1.脑内海绵状血管瘤的影像学诊断特点及治疗选择;作者:何占彪,王宏伟;《中华神经外科疾病研究杂志》;2016,15(4),p378-380
2.颅内脑外型海绵状血管瘤27例MRI诊断分析;作者:关鉴,张毅,张泽卫;《武警医学》;2015,3,p307-309
3.科普中国
上一篇:没想到!摔了一跤,竟埋下癫痫隐患 下一篇:上海外服发布《2019上海白领健康指数报告》 男性白领心脑血管疾病风险“亮红灯”
为更好地满足患者的就诊需求,2026年1月1日-3日元旦假期期间,我...【详细】


