根据最新版的《中华词库》(2019年7月)对“脑子进水”解释是一个汉语词汇,意思是形容某个人的头脑有问题。在北方地区人们都用“脑子进水”来形容某个人的头脑有问题,也可以表示当某个人提出很新奇古怪的问题时你很反对,不接受。
而“脑子进水”在医学上称为——脑积水。
脑积水是由于颅脑疾患使得脑脊液分泌过多或因循环、吸收障碍而致颅内脑脊液量增加,脑室系统扩大或蛛网膜下腔扩大及颅内压增高的一种疾病。其常见症状为头痛、呕吐、视力模糊,视神经乳头水肿,偶伴复视,眩晕及癫痫发作等临床症状。
脑积水可在任何年龄出现,但多数发生于婴儿出生后6个月内,而成人的脑积水多由脑外伤、脑出血,肿瘤及脑炎等相关疾病引起的。
脑积水严重危害患者健康,应及早治疗。目前,常见临床治疗方法仍以手术为主,主要是脑室腹腔分流术,同时结合储液囊置入术,可有效提高患者促醒、意识恢复的治疗效果。
脑积水常见病因有哪些?
上海蓝十字脑科医院神经外科6B病区主任潘仁龙介绍,绝大多数脑积水是由脑脊液循环障碍所致,如果障碍发生于第四脑室孔以上,称为阻塞性脑积水;若障碍发生于第四脑室以下就称为交通性脑积水,二者决定于脑室的脑脊液是否可以通行到脊髓部的蛛网膜下腔。那么脑积水的致病原因有哪些呢?

脑积水致病的常见五大原因:
1、先天畸形:较多见的是脊柱裂,大脑导水管畸形或脑血管畸形等。
2、颅内感染:如化脓性脑膜炎或结核性脑膜炎未能及早适当地治疗,增生的纤维组织阻塞了脑脊液循环孔道,特别是第四脑室孔及脑底部的蛛网膜下腔的粘连。
3、颅内出血:颅内出血后的纤维增生可引起脑积水。
4、颅内肿瘤:颅内肿瘤可阻塞脑脊液循环的任一部分,多见于第四脑室附近。
5、其他病因:如维生素A中毒,或维生素A严重缺乏也可使脑脊液容量增多,而出现颅内压增高的情况。
脑积水的病理改变为脑室系统逐渐扩大,第三脑室向下方隆起压迫垂体及视神经交叉部,透明隔可穿破,脑实质变薄,以额叶处明显,甚至穿破侧脑室与蛛网膜下腔相通。胼胝体、锥体束、基底节、四叠体、脉络丛及脑干等处均可因长期受压而萎缩;白质脱髓鞘变,神经轴受压变形,胶质增生及神经细胞退行性变等。
脑积水严重危害健康,应及早治疗!
脑积液主要由脑室的脉络丛及毛细血管产生,每日约产生400-500mL左右,具有维持脑组织渗透压和颅腔压恒定的作用,其次还在脑组织代谢方面起淋巴液的作用,并具有缓冲外力、减少震荡的保护功能。
患者一旦出现脑积水,会严重破坏大脑功能,且危害范围比较广,主要与发病经过有关。进展缓慢的脑积水表现为脑室膨胀、脑皮层、脑实质萎缩,最终导致平衡失调、大小便失禁;若脑积水进展速度迅速,则可能形成脑疝,甚至快速引起患者昏迷及死亡,若患者为此类脑积水,应尽早手术治疗。

脑积水严重危害健康,主要表现在几个方面:
首先导致智力问题:因为大脑是掌管智力的主要器官,如果大脑一旦出现病变会影响智力,还可引起智力障碍、智力降低、痴呆等问题。
其次导致运动问题:脑积水会引起一些肢体的运动障碍,比如脑瘫的症状、四肢活动不良、不能走路、不能拿东西、自理等都会受到影响。
再次导致癫痫和其他问题:脑积水还会引起癫痫的问题,患者长期癫痫需要吃药,甚至还要做手术治疗。此外还会导致意识障碍、视力障碍、听力障碍及头痛呕吐等许多临床症状。
分流术结合储液囊置入术,让昏迷患者苏醒!
潘主任表示,有些脑积水严重的患者虽然达到脑室腹腔分流手术指征,但脑脊液的常规与生化指标均达不到脑室腹腔分流标准,此时可先置入储液囊,进行穿刺储液囊引流脑脊液,暂时缓解颅内压。待患者脑脊液完全变清后,且脑脊液生化和常规检查符合分流条件时即可进行手术,否则容易堵管致分流失败。这种储液囊置入方法,可有效提高患者促醒、意识恢复的治疗效果。
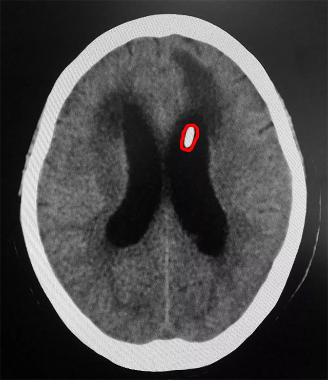
6月22日,上海蓝十字脑科医院神经外科6B病区收治了一位重度脑积水患者。一个月前,患者闫女士(化名)因后交通动脉瘤破裂昏迷,在当地医院进行了手术,术后,患者一直处于昏迷状态,并出现了脑积水等并发症。之后完善相关检查,患者经过CT确诊为交通性脑积水,脑室系统均扩张,患者脑积水情况严重,颅内压更是高达300mmH₂O,达到脑室腹腔分流手术的指征。

▲ 患者置入储液囊后情况较前好转
之后为了更好的治疗,潘仁龙主任、吴治群博士专家团队经过会诊讨论,一致认为可先对患者进行储液囊置入术,缓解患者颅内高压。并对储液囊置入后患者的情况进行评估,如果患者置入储液囊后,脑积水情况有所缓解;而关掉储液囊后,患者脑室又开始扩大,说明进行脑室腹腔分流术是非常有必要的。随后,吴治群博士为患者进行了储液囊置入术,患者脑积水情况较前有所好转,但关掉储液囊后病情又开始严重。

▲ 正为患者手术的吴治群博士
为了提高治疗效果,之后吴治群博士为患者进行了脑室腹腔分流术,在医护人员的同心协力下,手术顺利完成。目前,患者恢复良好,人已经清醒,并能够和他人进行简单的互动,患者和家属非常高兴。
上一篇:李士其教授经翼点入路切除巨大垂体瘤残余 下一篇:神内教研活动(第六期) | 李振并主任解读帕金森病药物治疗
4月10日,上海市医疗保障局基金监管处处长朱畅、行政执法处领导...【详细】


