入睡后莫名抽搐还拳打脚踢,醒来后浑然不知之前发生的事,家人以为她被“鬼上身”了,十分恐惧。这是近日发生在56岁胡阿姨身上的怪事。
晚上睡觉时拳打脚踢,原来是癫痫作怪
据武汉晚报报道,胡阿姨家住汉口蔡家田,上周六一大早,她就起来和老伴一起去扁担山扫墓,回到家时已是中午。当天晚上,疲倦的胡阿姨很早就睡了。老伴看完电视剧后刚躺下就感觉胡阿姨在抽搐,且拳打脚踢,喉头还发出咕噜声。以后接连近一周内,胡阿姨入睡后都会发生同样的事情。虽然老伴不信鬼神,但每晚看到胡阿姨“鬼上身”发作的样子,心里还是非常恐惧。
之后,老伴将胡阿姨送到了市医院神经内科。医生了解到,胡阿姨有近10年的高血压史,3年前还得了脑梗死,右边肢体有很轻微的无力,但这几年来没有影响正常生活。医生对胡阿姨做了24小时视频脑电监测及头颅影像学检查。最后诊断为睡眠癫痫,“鬼上身”的谜底终于被揭开了。
1/4到1/3的癫痫发作主要出现于睡眠期
对此,上海蓝十字脑科医院功能神经外科主任杨忠旭教授表示,癫痫是常见神经系统疾病之一,睡眠是癫痫临床发作以及异常放电的一个重要激活因素,临床上任何癫痫发作类型均可发生于睡眠中,大约有1/4到1/3的癫痫发作主要出现于睡眠期。
癫痫睡眠期发作一般症状表现为发作性,同时伴发精神不振或行为异常等。其常见的症候包括睡眠中突然睁眼,或有惊恐表现,多伴肌张力不全或其他运动障碍,少数病例会出现睡眠相关性攻击性的行为。
国际抗癫痫联盟发表的癫痫和癫痫综合征的分类中,有些癫痫综合征部分或者全部发作于睡眠期。例如,儿童良性癫痫伴中央颞区棘波(BECT)、觉醒期全身性强直阵挛癫痫、癫痫伴慢波睡眠期持续棘波(CSWS)等。
近年研究证明,额叶癫痫也更多地在睡眠期发作,典型的例子如 ——(autosomal dominant nocturnal frontal epilepsy,ADNFLE)常染色体显性遗传夜间额叶癫痫,其发作几乎都是发生于夜间睡眠中。某些特殊的痫样放电式样也多见于睡眠期,例如睡眠期癫痫电发放持续状态(ESES)。ESES可见于多个癫痫综合征,例如癫痫伴慢波睡眠期持续棘波、BECT、Landau-Kleffner综合征等。
注意癫痫睡眠期发作与其他睡眠障碍区别
杨忠旭教授提醒,癫痫睡眠期发作和发作性睡病、夜惊、梦魇、OSAS等睡眠障碍具有诸多共同点:它们均发生于睡眠期,表现也多为发作性,可伴发精神不振或行为异常等。但治疗原则迥异,预后也有很大差异。睡眠相关性癫痫如果一旦确诊,需要进行正规的抗癫痫治疗,否则反复发作会影响神经精神功能。
对癫痫睡眠期发作的认识主要在于与其他常见睡眠障碍的鉴别诊断,以避免错误的治疗。而其他的睡眠障碍,如夜惊、梦魇等,则一般无需特殊治疗,大多具有自限性特征。有些睡眠障碍如发作性睡病、OSAS,虽需要给予药物或器械干预,预后也是大多良好。

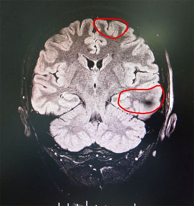
▲ 综合MR、24小时视频脑电等多种检查,最终确定患者癫痫病灶
近期,上海蓝十字脑科医院功能神经外科就遇到这样一位睡眠期癫痫发作的患者,并已发展成为难治性癫痫。
患者王女士3岁时于睡眠期间突然出现双上肢上抬强直,双下肢强直,持续数秒,自行缓解,醒来后自己不知,自觉劳累,再次入睡30分钟后上述症状再次发作,后就诊于多家医院,未明确诊断。4岁时就诊于当地县医院,诊断为癫痫,开始了长达24年的药物治疗。但往往病情有所控制就自行停药,断断续续,未能规范治疗。
近年来症状逐渐加重,于睡眠期间发作,发作持续约1分钟,自行缓解,每天数次,声音易诱发。
经过检查,患者经系统内科药物治疗不佳,确诊为难治性癫痫。MRS示双侧海马结构异常,PET-CT显示左侧大脑代谢下降,VEEG检查可见异常波:左侧大脑明显异常,大量癫痫波,结合患者病史并综合相关检查最终确定癫痫病灶位于左侧大脑(额颞海马)。
手术指征明显,无明显手术禁忌。在征得家属同意后,杨忠旭教授在助手杜立功医生协助下以及崔丽华主任脑电监测辅助下成功为患者进行了癫痫病灶切除手术。

▲ 杨忠旭教授在为患者手术
杨忠旭教授提醒,癫痫不能忽视,要积极治疗,在日常生活中更应该注意做好预防和急救措施。
1、家属应该晚上陪护在患者身边,一旦病情发作立即扶病人侧卧防止摔倒、碰伤,然后解开其领带、衣扣、腰带等,保持呼吸道通畅。让病人保持头侧立,使唾液和呕吐物尽量流出口外。防止口水误入气道,引起吸入性肺炎。同时,还要把病人下颌托起,防止因窝脖使舌头堵塞气管。
2、若发作时间超过十分钟,就应该立刻拨打120及时送到医院就诊,避免给患者带来更大的伤害。
3、癫痫患者日常生活中还要养成良好的生活习惯,特别要注意保证睡眠的充足,因为睡眠不足是一个常见的诱发癫痫发作的因素。
上一篇:正确认识抑郁症 它是可以治疗的 下一篇:少女考上名牌大学 却遇上烦心事
4月10日,上海市医疗保障局基金监管处处长朱畅、行政执法处领导...【详细】


