中华文化博大精深,尤以饮食文化为代表,“酒”已成为各种社交活动、宴席聚会的主角,“无酒不欢,无酒不成席”、“感情深,一口闷”、“桌上有酒,越喝越有”,尤其是遇到春节,更是“酒逢知己千杯少”。年关将至,各种聚会约起来,不管是同事请客、朋友聚餐,还是亲友相聚,都是“干、干、干”,殊不知危险正在靠近……

频繁的喝酒应酬,会给五脏,特别是肝胆、肠胃及心脑血管带来沉重的负担,尤其是长期过量饮酒,会埋下很大的健康隐患,特别是部分疾病患者不适合喝酒,容易加重病情,严重时还会危及生命。
那么,日常生活中哪些人群不宜喝酒呢?
喝酒需谨慎,这些人群可要小心
上海蓝十字脑科医院脑血管病区主任张琪博士介绍,不是人人都可以喝酒的,喝酒一定要谨慎,有些人喝酒后会引起身体不适,甚至引发新的疾病,而对于那些不适合喝酒的疾病患者更是如此。生活中,这六类人群不宜喝酒:

1、高血压患者:酒精进入人体,容易刺激人的神经中枢,扩张血管,使高血压患者的血压进一步升高,而酒精对神经有麻痹作用,患者不能及时发现血压变化的危险信号,直至诱发脑中风等疾病,严重危害健康,因此高血压患者不宜喝酒。
2、肝病患者:肝脏是酒精代谢的最主要的场所,而急、慢性肝病的患者,其肝脏功能不健全,不能及时发挥其解毒功能,容易发生酒精中毒,而且酒精还会直接损伤肝细胞,加重病情,因此肝病患者不宜喝酒。
3、糖尿病患者:糖尿病患者需要严格禁酒,因为酒精进入人体后,会加重胰腺负担,使得本来就不够的胰腺素更加紧张,会加剧血糖、血脂的紊乱,严重时甚至会诱发糖尿病酮症酸中毒、低血糖等相关疾病。
4、肠胃病患者:酒精中含有大量的乙醇,会破坏胃及十二指肠粘膜,从而导致胃和十二指肠粘膜变薄,甚至出现破损,严重者甚至会出现胃溃疡和胃出血等情况,而本身患有肠胃病的患者,如果经常喝酒,会加重病情。
5、已孕妇女:孕妇和备孕女性建议禁酒,因为喝酒有可能会导致腹中胎儿发育不好,导致身体缺陷,影响智力等,严重的还会导致胎儿酒精中毒,易引起畸形和流产等现象。
6、服用药物的人:通常吃药后,建议不要喝酒,尤其是服用了头孢类和甲硝唑等药物的人,因为这些药物很可能会和酒精发生“双硫仑样反应”,和喝醉之后的反应极其相似,都会心跳加速、头晕恶心、呕吐等,严重的还会导致休克,甚至死亡。
对于喝酒“小酌怡情,大酌伤身”,而对于上述的几类人群,喝酒百害而无一利,一定要禁酒。而在上述的几类人群中,今天要着重介绍一下高血压患者,因为高血压、喝酒是引发脑中风的两大危险因素,如果这两大因素一起作用,患脑中风的几率会更高。
高血压、喝酒与脑中风,究竟有怎样的关系?
张琪博士介绍,脑中风因其具有“高发病率、高致残率、高复发率和死亡率”的四高特点,已成为中国人第一大死亡原因,而大多数脑中风的患者都有一定程度的高血压病史。高血压是局部缺血性脑中风和出血性脑中风的最主要的危险因素,但对于脑中风而言,防大于治,要以预防为主,就要保持血压平衡,只有把血压控制好,才能更好的降低脑中风的发生几率。

而喝酒,尤其是长期酗酒,是脑中风发生的一个重要危险因素。酒的主要成分是酒精,即乙醇,对人体各种组织细胞都有损害,饮酒过多会使胆固醇增加,引起动脉粥样硬化;同时,酒精本身对心血管系统具有兴奋作用,能增加心肌收缩力,加快心率,促使血流加快和升高血压,由于血压突然升高,更易发生脑中风,而本来就有高血压的患者,更应该禁酒。
喝酒除了会引发脑中风之外,同时因酒精对人的中枢神经有麻痹作用,使人意识不清,还会引发各种意外,造成很大伤害。
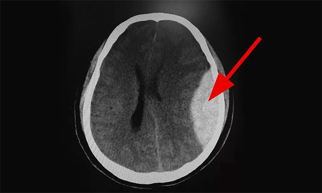
近日,上海蓝十字脑科医院急诊科就收治一名酒后的男性患者,其意识不清,并不慎摔倒,而自己却不知道,造成左侧额顶叶急性硬脑膜外血肿伴脑疝形成,情况危急,幸好抢救及时,已脱离了生命危险,之后也未留下任何后遗症。

▲ 患者出血严重,情况危急
当天早晨9:50,救护车送来一名53岁的男性患者,一打开车门,医生就闻到了一股酒气,检查发现他呈醉酒状态,呼之勉强睁眼,言语含糊,查体发现右侧肢体强直,肢体肌力仅为2级。卒中小组和急诊科医生迅速判断,考虑患者为脑中风可能性很大,并立即启动“脑卒中绿色通道”,进入脑卒中流程。
10:01,CT检查结果显示:患者为左侧额顶叶急性硬脑膜外血肿伴脑疝形成,病情非常危急,卒中小组立即联系脑血管病区主任张琪博士,随后完善各项检查,待手术准备就绪,行左侧额顶叶急性硬脑膜外血肿清除术。

▲ 为患者手术的张琪博士(中间)
患者因为喝醉意识不清,自己摔倒了也不知道,朋友和家属也不曾知道。手术时,张琪博士发现患者左侧顶部明显一横行骨折线贯穿至左侧额骨颧突;术中去下骨瓣后,见硬膜外大量暗红色血块,并进行了彻底清除,随后见硬脑膜表面多发渗血,予以彻底止血,经过医护人员两个多小时的齐心协力,手术顺利完成。手术后患者清醒,右侧肢体情况也有所好转,目前患者恢复良好,已出院。
喝酒后,这五件事不能做!
张琪博士提醒大家,喝酒有害健康,一定要量力而行,尤其是患有某些疾病不宜喝酒的患者,更是要禁酒。但对于那些能喝酒的人来讲,长期喝酒也是有害身体健康的,尤其是喝酒后这五件事,一定不能做:

1、不要立刻洗澡
许多人习惯酒后洗澡,觉得洗澡后自己会清醒一些,同时也可以冲淡酒味,但酒后立刻洗澡,不管是冷水澡还是热水澡,会导致酒精不能及时散发出来,更容易引起醉酒,严重者会导致酒精中毒,产生昏迷的现象。
2、不要立刻睡觉
酒精主要是靠肝来代谢,如果立刻睡觉,人体新陈代谢会变得缓慢,对肝不利,易得酒精肝,建议用冷水洗脸,坐着休息。若是重度酒精中毒,很可能一睡不醒,这种情况下家人要陪在身边,隔两小时叫醒醉酒者,喂点白开水或蜂蜜水,直到醒酒为止。
3、不要抠喉咙
喝酒喝多后,有些人会选择抠喉咙把酒吐出来,认为这样可以缓解醉酒情况,但很危险。张琪博士表示,催吐会导致胃内容物反流进入食管,日久会导致食管下括约肌松弛,出现反流性食管炎,同时,醉酒者意识不清,易吸入呕吐物引起窒息。
4、不要喝浓茶
茶碱有利尿作用,加速酒精中尚未分解的乙醛进入肾脏,而乙醛对泌尿系统有很大的损伤,加上酒精对心脑血管有很大的刺激性,而浓茶同样有兴奋心脏的作用,二者相合,更增加了对心脑血管的刺激。
5、不要剧烈运动
啤酒具有利尿作用,酒后会排除体内的大量水分,如果酒后立刻运动,不但无法及时补充水分,还有可能因为大量出汗导致严重的脱水,酒精在体内的积累可能造成严重的酒精中毒,还会出现心跳加速、腿部抽筋,甚至产生缺氧昏厥的现象。
上一篇:【公告】上海蓝十字脑科医院2020年春节假期门(急)诊安排 下一篇:要闻 | 市、区两级卫健委领导莅临医院 全面督查新型冠状病毒感染的肺炎防控工作
为更好地满足患者的就诊需求,2026年1月1日-3日元旦假期期间,我...【详细】


