“娉娉袅袅十三余,豆蔻梢头二月初。春风十里扬州路,卷上珠帘总不如。”
这是唐代诗人杜牧在离开扬州时,写给一位约十三岁女子的七言绝句《赠别》。诗中形容这位柔弱美丽的少女,像是二月初刚发芽的豆蔻嫩芽,含苞待放。后来人们习惯称十三四岁是女子的豆蔻年华。

放学途中突然发病
13岁的婷婷(化名),正值豆蔻年华,活泼可爱,清秀可人,是父母的掌上明珠,但是她已饱受癫痫折磨4年了。
第一次发作时正赶上放学时候,天正下着雨,就在她刚出门没几步,突然出现意识丧失,左侧摔倒,头后仰,口吐白沫,四肢抽搐,持续约2-3分钟,自行缓解,缓解后感觉劳累、困倦,发作过程无记忆。发作后她一身衣服都已经湿透了,所幸被门口保安及时发现。保安第一时间联系家长打120将她送往当地医院,但是在医院检查各项指标都正常,没查出什么结果。家人不放心,又带她到上海检查,最终确诊为癫痫。随后进行药物治疗,靠吃药维持。
虽然发作有所控制,但是婷婷的身体经常不舒服,隔三差五请假休息,为此学业也耽误不少。去年9月份开始,婷婷病情加重,癫痫又开始大发作,开始是每月一次,后来是半个月一次,再后来是一个星期一次。
一次在家卫生间蹲马桶时,婷婷癫痫突然发作。当时,她在玩手机过程中突然跳起来,“啊”地大叫一声后摔倒,磕破下巴,一脸都是血。
“想想就心疼我女儿,从小就要受这样的罪。”说着说着,婷婷母亲刘女士(化名)眼睛就红了,她说无论如何,哪怕再穷也要想办法把孩子病看好。11月初,婷婷父母携婷婷一起慕名来到上海蓝十字脑科医院。

▲ 四年前,癫痫突然发作打破一切美好
“我们就是奔着杨教授来的”
不巧,当时功能神经外科主任杨忠旭教授正在国外进行学术访问。
“我们就是奔着杨教授来的,我们回去等消息,杨教授回来请一定及时通知我们!”之后,婷婷一家回家等待。
12月中旬,当得知杨教授回国的消息后,婷婷父母立即带着婷婷来到上海蓝十字脑科医院。
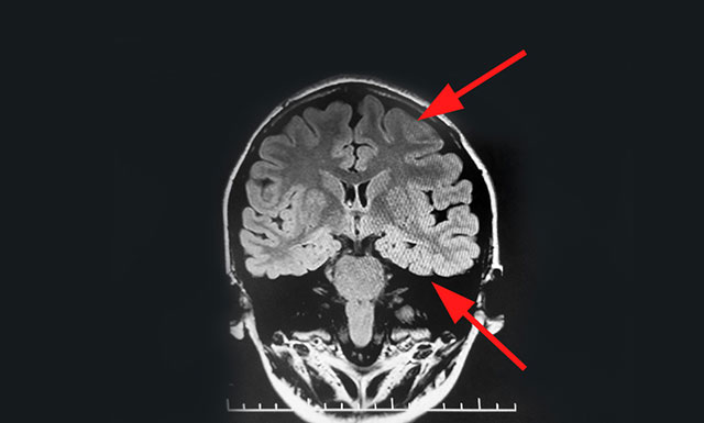
经检查,脑电监测崔丽华主任根据脑电图监测分析指出,患者双侧有癫痫波,左侧较为严重。磁共振检查,患者颞叶、额叶、海马结构异常。既往史显示,患者4个月时有肺炎高热病史,并伴有抽搐等症状。

▲ 通过系列检查最终明确患者致癫灶
杨忠旭教授认真查看了婷婷各项检查报告并听取相关病情汇报后指出,一般幼时突发高热惊厥,尤其伴有抽筋的症状,会导致大脑缺血、缺氧,而海马对这种情况的耐受性较差,极易造成其内的神经细胞受损,时间长了就会发展成海马硬化,这一隐患有时会潜伏到成年后爆发,有近一半以上的病人会因此患上顽固性癫痫。
患者经系统内科药物治疗不佳,确诊为药物难治性癫痫,经过系列检查最终明确患者致癫灶位于左侧海马、左侧颞叶、左侧额叶。手术指征明确,未见明显手术禁忌症。
在征得家属同意后,杨忠旭教授在助手杜立功医生协助下、在崔丽华主任脑电监测辅助下为患者进行了癫痫病灶切除手术。

▲ 杨忠旭教授正在为患者手术
根据术中脑电监测,深部电极显示海马、杏仁核大量棘波,间断出现;皮层电极监测提示前颞叶、额上回、额中回大量散在棘波,皮层与深部电极监测提示两者存在部分相互传导联系,皮层可有自发棘波产生。先后切除左侧额极部分组织、左侧颞前叶结构,海马头及海马体,术中见其海马体积缩小,颜色灰暗。切除后,再次脑电监测显示暴露脑区无异常放电,手术成功。目前,婷婷正在康复中。

▲ 部分高热惊厥有转为癫痫可能
杨忠旭教授提醒,因为高热惊厥的症状反应和癫痫发作表现症状类似,但并非癫痫,而且一般预后良好。值得注意的是高热惊厥虽然不等于癫痫但与癫痫关系密切,临床上高热惊厥有转为癫痫的可能。对于有高热惊厥症状史的小孩,家长一定要注意,以防小症成大病。
针对“难治性癫痫患者”,单纯药物治疗很难取得实质性的效果。反复的癫痫发作和无望的药物治疗均能抑制、甚至阻碍大脑皮质的发育,损伤儿童的神经系统,尽早的外科手术干预可以减少甚至终止发作,为未成熟的儿童大脑争取到宝贵的发育时间。并且小儿癫痫外科手术的效果往往优于成人,利用大脑尚存的可塑性,可使神经组织有较多机会形成代偿,以求大脑功能较大限度的恢复。
上一篇:“激情燃烧的青春岁月”——“青年文明号”互访互学齐聚蓝十字 下一篇:优质服务(系列七) | 技术精湛是满意的基础 人文关怀是感动的源泉:记上海蓝十字脑科医院康复医学科
为更好地满足患者的就诊需求,2026年1月1日-3日元旦假期期间,我...【详细】


