“经过周君主任等医生的精心治疗,让我一个坐救护车、躺着进医院的病人,到能扶着栏杆行走的健康人……” 4月15日,神经内科3A病区团队收获一封手写的感谢信。患者韩老伯及家属用平凡又不平凡的细节,诠释着对医院和周君主任团队的信任和感激。
感谢信


尊敬的上海蓝十字脑科医院领导:
我是贵院3A病区住院病人韩老伯,去年11月6日由周君主任安排住院治疗。
说来我的病是从去年9月开始的,先是右手右脚有些麻木,到上海某三级知名医院看急诊,后又住了两次院,通过多次检查、造影、球囊扩张、用进口药水……但什么方法用了都不管用,而病情却越来越重。为此,自己曾对生活都失去了信心。
就在我躺在病床上,不能坐更不能站起来时,通过其他专家介绍,找到了贵院周君主任。
周主任先是请了医术高超的席刚明主任为我做手术。席主任在看了片子后,立即制定手术方案。手术那天,造影、球囊扩张、装支架三台手术一气呵成。虽然手术难度很大,但手术很成功,使我获得了新生。
接着,周主任又安排了专业的康复、针灸、杵针推拿医生为我治疗。
刘爱文是我的康复治疗师。她耐心、细心,为我精心设计了一整套的康复治疗方案。我是病人中的老大难,因为两年半前我曾脑梗导致左边手、脚偏瘫,留下了后遗症。刘爱文一步一步帮我康复,为了纠正我不正确的走路姿势,她先是晓之以理,告诉我不正确的走路姿势会导致的不良后果,接着又告诉我肌肉记忆需28天,因此一定要有耐心,不要急于求成,宁可少走路,也要先把姿势练好。然后,她经常蹲下身子,帮我纠正姿势,常常累得满脸是汗。有时,她还要拍下一些我康复时的小视频,让我看自己不足的地方,再讲解正确的走路姿势。在她一次又一次地耐心指导下,我终于有了突破,走路姿势比较正确了。这时,她又经常鼓励我,使我这个80岁的老人重拾信心。我今天能有这样的较正确的走路姿势,与刘医生的耐心指导是分不开的。
其次,是杵针推拿的覃佳雨医生。她对待病人像对待自己的亲人一样,和蔼可亲,满脸笑容。每次康复后,觉得累的时候,她帮我推拿放松。最令人感动的是我康复没多久,因右手拄扶杆时,胳膊受伤了,疼痛难忍,手臂不能动,不能抬,一碰就疼。小覃医生知道后,比我还着急,总是着重推拿疼痛的胳膊,在她的精心治疗下,胳膊很快得到好转。
再次,是针灸姜华医生,每次都能运用娴熟的手势为我扎针。最令我感动的,是有一次因我针灸时动了一下,姜医生拔针时发现脸上的一枚小针掉了,就对我们说一定要把针找到。见我们找不到很着急,又安慰我们说,只要身上、衣服上没有就没事。我们翻遍床上、身上都没有,地上也没有。不料,到下午姜医生又特地来到病房找针,终于在床架边上找到了,她这才安心离去。小小一枚针,反映出姜医生对待病人认真细心的工作态度,生怕小针扎到病人身上。
最后,要说的是吴晓玲主任助理,她是第一个接我进医院的工作人员。每次来到3A病区,就要来看望我。她的一句亲切的问候和一个甜美的微笑,给病人带来了愉悦的心情。
在我住院的五个多月里,经过周主任、李江涛主任、庄乾震医生,还有刘医生、覃医生和姜医生的精心治疗,让我一个坐救护车、躺着进医院的病人,到能扶着栏杆行走的健康人。
但我也不能忘记为我们病人付出辛勤劳动的医护(护理)人员。她们在武玉燕护士长的带领下,每天为病人测量血压和血糖、送药、挂水……默默无闻地为病人服务。每天累得腰酸背痛,满脸是汗。尤其令人难忘的是武玉燕、徐子萱、李慧、赵玉婷、乔印凤等护士照顾病人总是和蔼可亲,给病人带来不少安慰。
为此,我在这里衷心感谢医院,感谢3A病房的周主任和其他医生,感谢为病人尽心尽职的3A病房护士站的护理人员!
3A病区XX床病人 韩老伯
2024.4.15
探究真相 揪出背后“元凶”
年逾七旬的韩老伯(化名)2021年患脑梗死遗留左侧偏瘫,靠助行器行走。去年10月,他在家中突发双侧肢体乏力,家人将其送至就近医院检查诊断为急性脑梗死,并予以相应治疗。
因四肢失去活动能力,患者卧床不起,心情十分低落。为进一步治疗,患者来到上海蓝十字脑科医院【同济大学附属上海蓝十字脑科医院(筹)】。
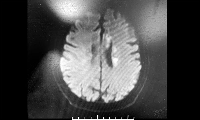
神经内科3A病区周君主任详细了解病史,查体,并为韩老伯完善相关的检查。头颅MRI示:脑干及双侧大脑半球多发陈旧梗死灶,左侧胼胝体、半卵圆中心、侧脑室旁及额叶多发梗死灶,偏亚急性期。脑动脉硬化,颅底动脉多发不同程度狭窄(左侧颈内虹吸段为著)。

▲ 头颅MRI示:左侧多发梗死灶,左侧颈内动脉狭窄
周君主任表示,从影像学上,患者左侧脑室旁散在多个新鲜梗死灶,呈比较典型的“分水岭样梗塞”表现。分水岭样梗塞(Watershed infarction,WI),是指发生在脑部两条主要动脉分布区的交界处的脑梗死,多发生于脑部较大动脉供血交界区。
韩老伯的新发病灶处在左侧颈动脉供血支配范围内,符合因左侧颈内动脉狭窄而造成脑组织缺血表现,需要针对这一引起脑梗的病因,及时采取干预治疗措施。
精心介入系统治疗 助患者重拾信心
周君主任立即与医院学术副院长兼神经内科4A病区主任席刚明教授,针对患者病情开展了讨论评估,由席教授为患者行DSA全脑血管造影检查,可见左颈内动脉眼动脉重度狭窄(狭窄程度约高于80%)。随后,4A病区席刚明教授、王贵平博士为患者开展了左颈内动脉球囊扩张+支架置入手术,手术过程顺利。

▲ 席刚明教授、王贵平博士为患者手术
术后,患者安返3A病区,周君主任着重针对韩老伯肢体运动功能障碍、抑郁焦虑等情况,联合康复医学科、中医科、高压氧科等科室,为患者制定了涵盖药物对症治疗、运动康复治疗、杵针推拿、高压氧治疗等一整套系统科学的治疗方案,力求帮助患者尽快恢复健康。

▲ 周君主任主持病情讨论
而正如韩老伯在感谢信中所描述的,从科室主任周君到管床医生、从护士长武玉燕到值班护士、从康复治疗师到杵针(医生)……韩老伯在住院期间,不仅切身体会到了医护各环节的专业和敬业,还额外体会到了如同亲人般的关爱和温暖。
康复治疗师刘爱文坦言,韩老伯在这次发病前就曾脑梗过,本来走路就不利索。刚来医院时,他不仅无法行走,情绪上也非常消极悲观,觉得自己今后的人生可能都要在轮椅上度过了,时不时闹点小情绪。

▲ 工作中的康复治疗师刘爱文
手术后,韩老伯的病情日渐好转,但他觉得恢复得有点慢,有时心情比较急躁。于是,周君主任和武玉燕护士长带领的医护团队,以及康复治疗师刘爱文等不仅根据患者恢复情况,持续完善治疗和康复方案,还重点给予老人心理上的关爱照护,让患者远离负面情绪,为最终康复出院打下了良好的基础。
饱含真情的感谢信,是患者对医护人员工作的充分肯定,代表着患者对医院的信任和感激,也象征着医患之间的深情厚谊。周君主任表示,对于医务工作者来说,最开心的事情莫过于看到患者在自己的辛勤工作下,能够顺利康复出院。感谢信不仅是一份荣誉,更是一份期望、一份鞭策和一份信任。
正如周君主任所言,上海蓝十字脑科医院【同济大学附属上海蓝十字脑科医院(筹)】全体医务人员秉承“满意是基础,感动是目标”的服务理念,将永葆初心,持续为患者提供更优质的医疗服务,为健康中国战略目标的早日实现作出应有的贡献。
上一篇:选拔优秀,激励前行 | 上海蓝十字脑科医院举办“5.12国际护士节”优秀护士等评选擂台赛 下一篇:礼赞天使 筑梦未来|上海蓝十字脑科医院召开“5·12”国际护士节庆祝暨表彰大会
为更好地满足患者的就诊需求,2026年1月1日-3日元旦假期期间,我...【详细】


